ESPECIALIDADES
HUIXTLA
ESCUINTLA
AKISHINO2
AKISHINO
Home
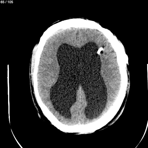
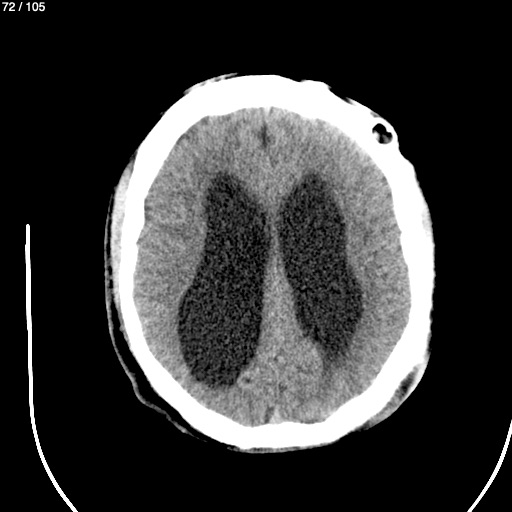
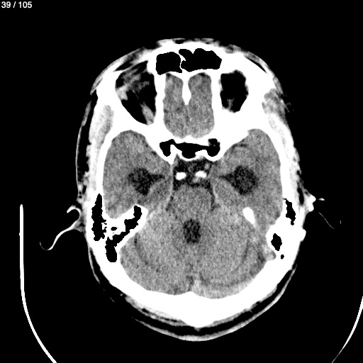
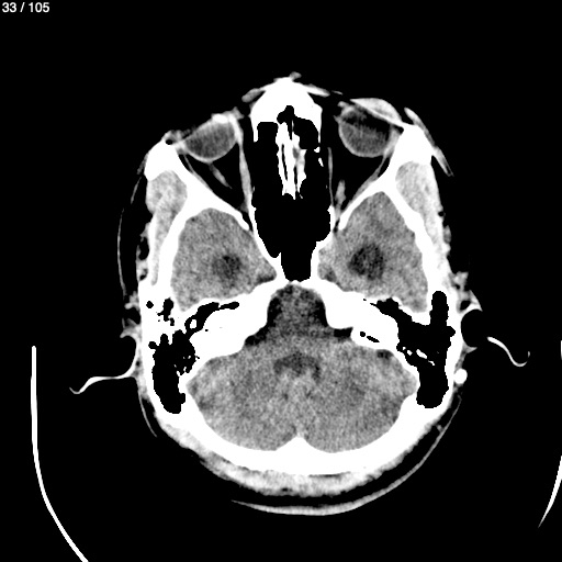
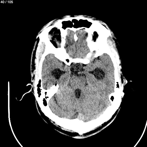
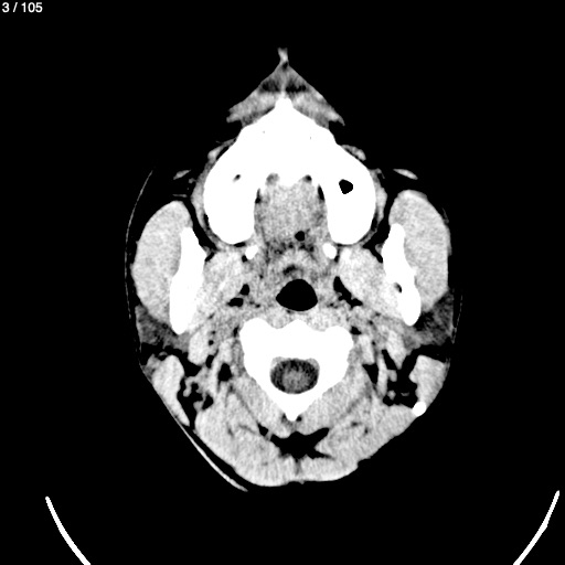
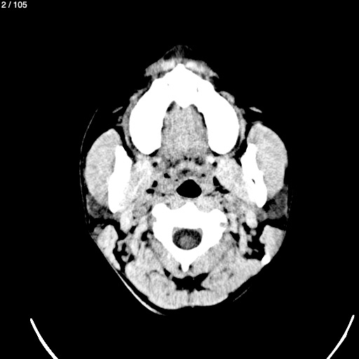
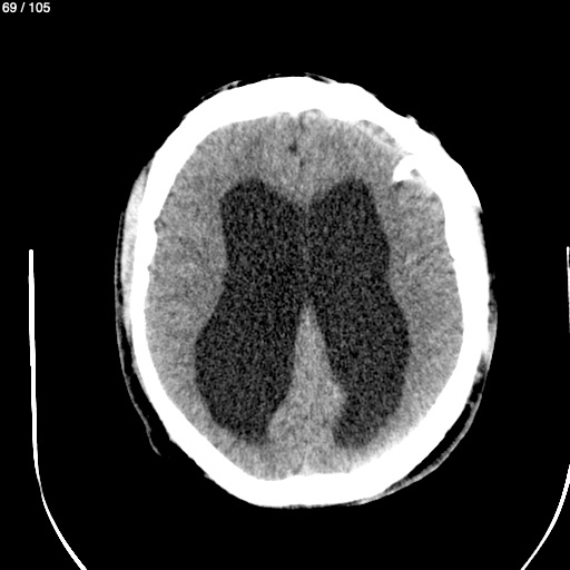
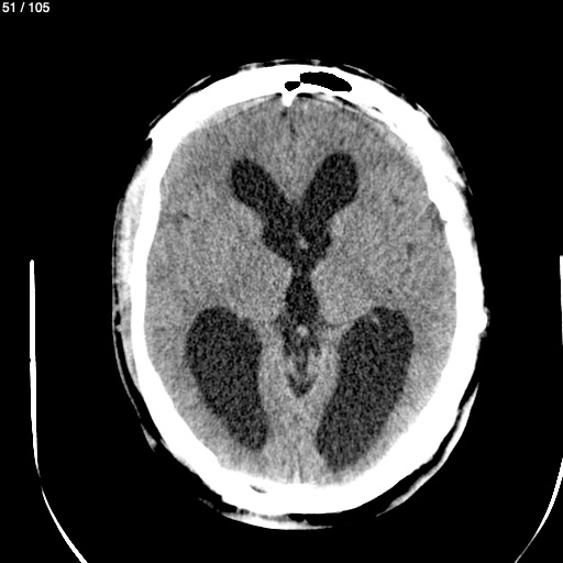
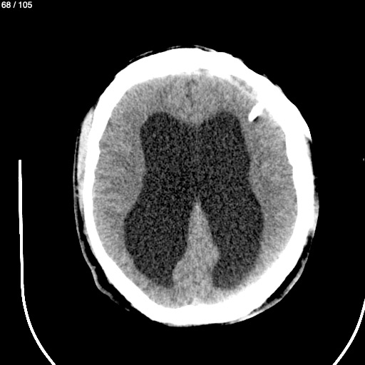
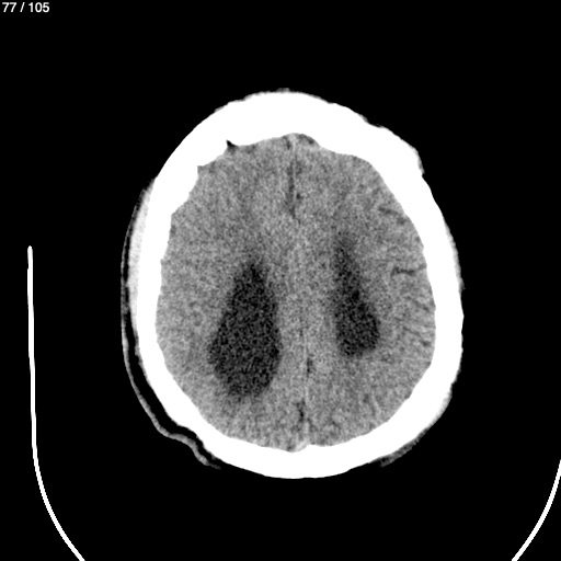
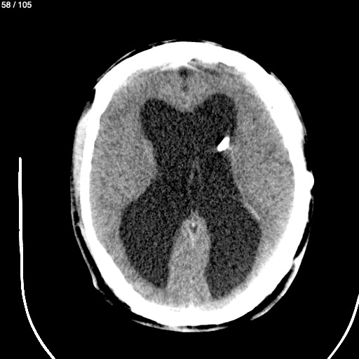
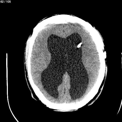
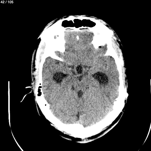
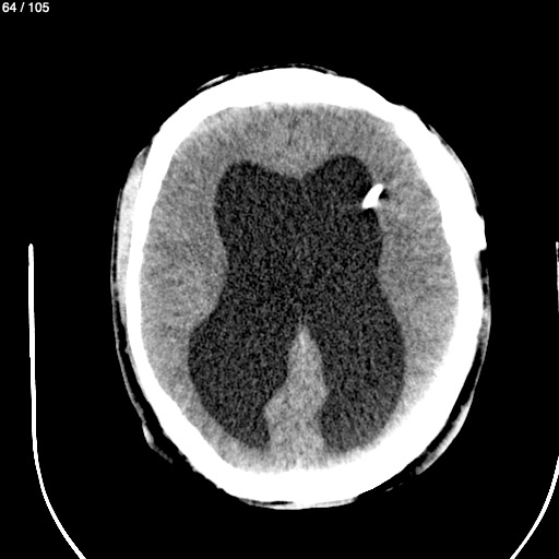
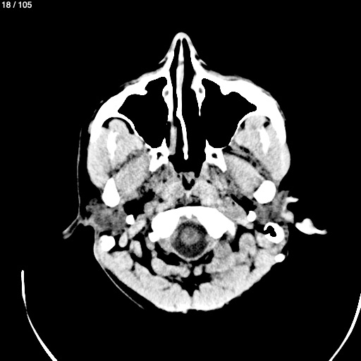
Andre Gael Muñoz Del Valle - Cabeza Simple_Craneo (Adulto)
Show as Sequence