ESPECIALIDADES
HUIXTLA
ESCUINTLA
AKISHINO2
AKISHINO
Home
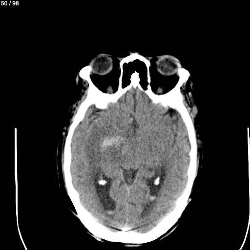
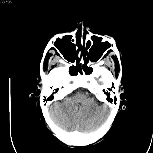
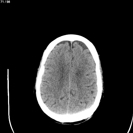
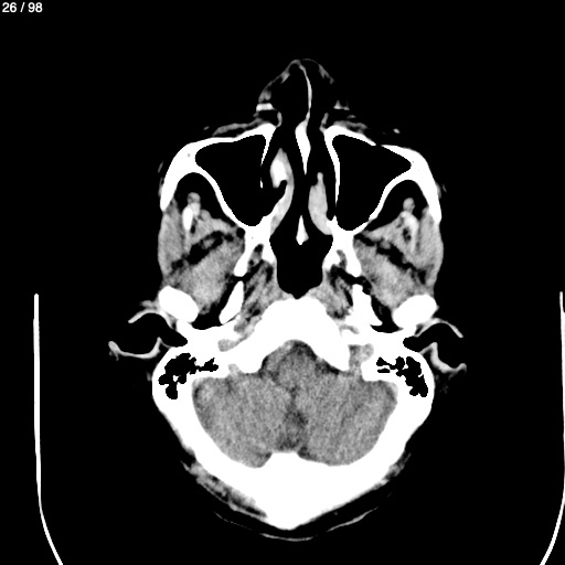
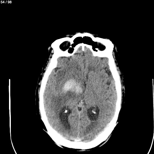
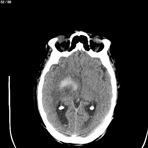
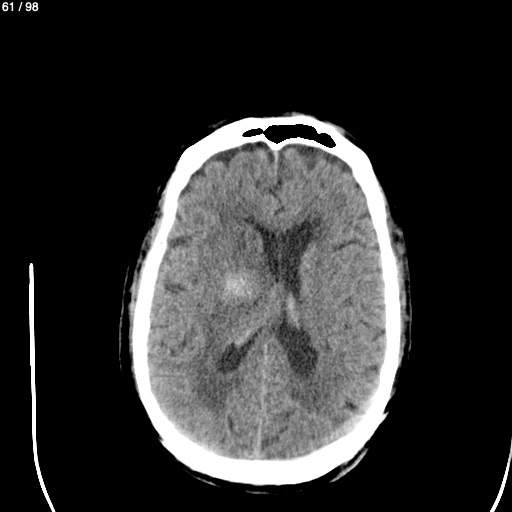
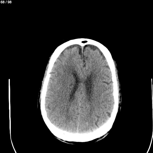
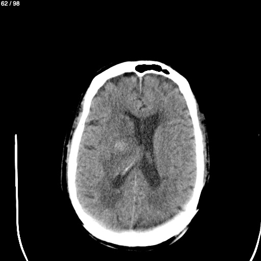
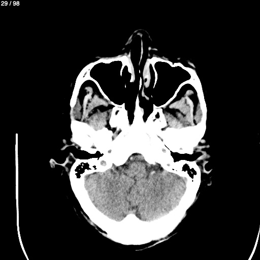
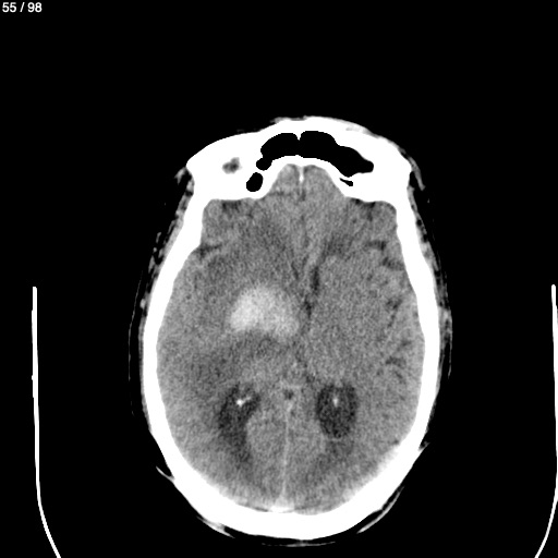
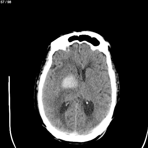
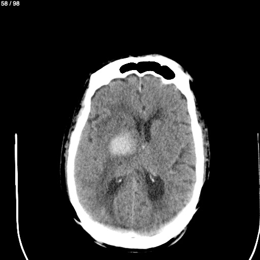
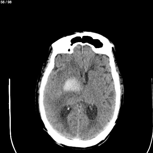
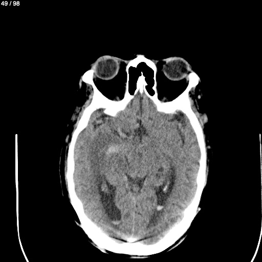
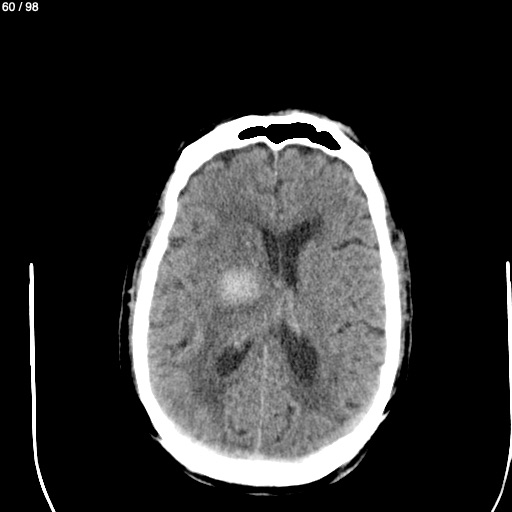
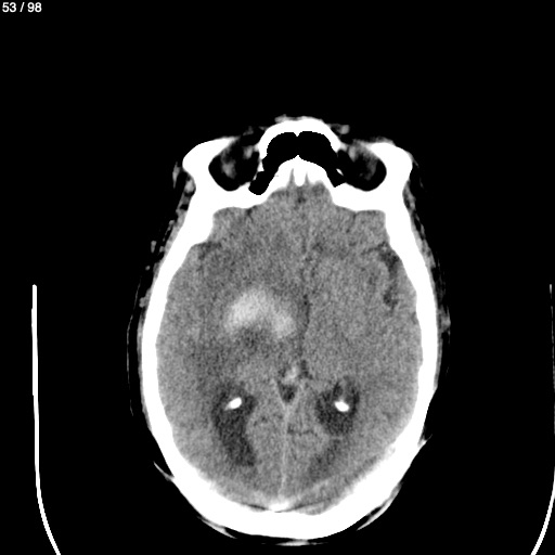
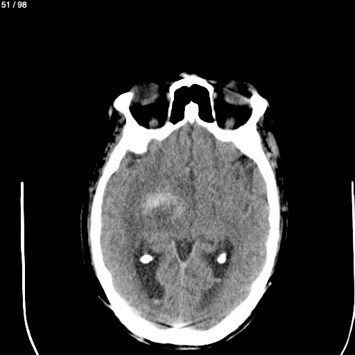
Donaciano Bartolon Perez - Cabeza Simple_Craneo (Adulto)
Next Series
Show as Sequence