ESPECIALIDADES
HUIXTLA
ESCUINTLA
AKISHINO2
AKISHINO
Home
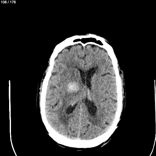
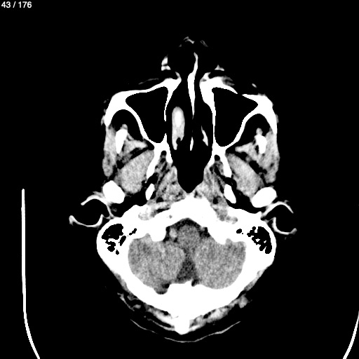
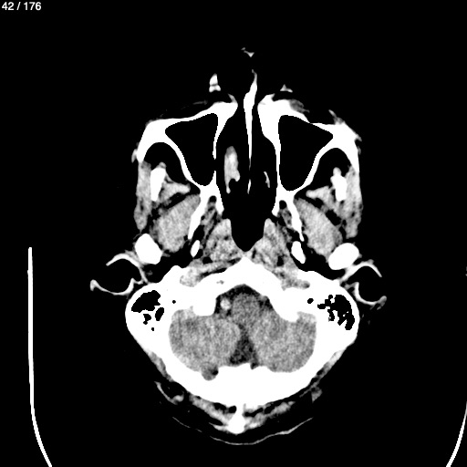
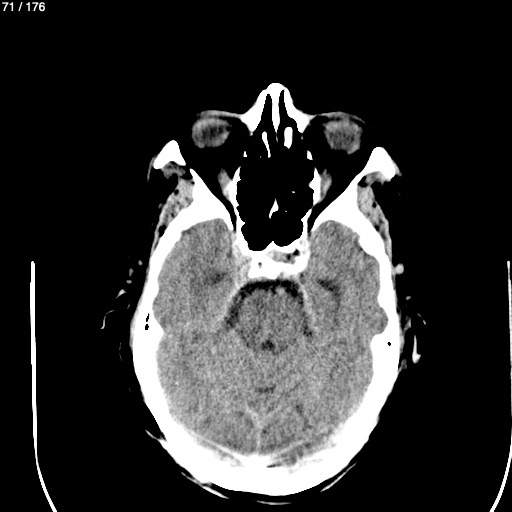
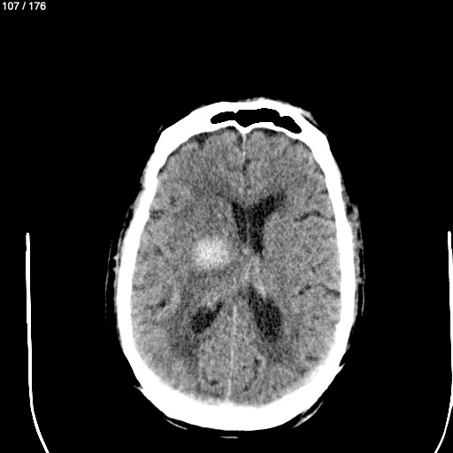
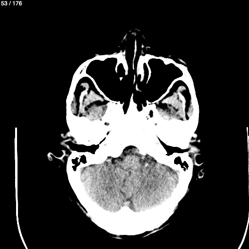
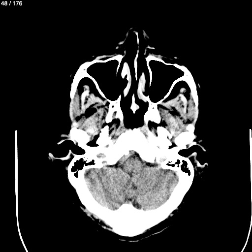
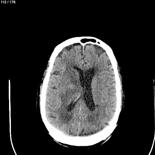
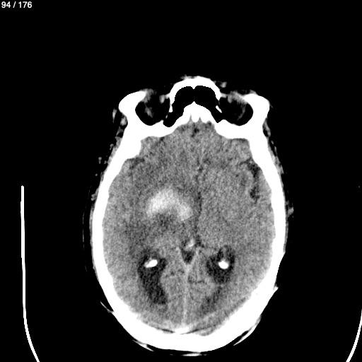
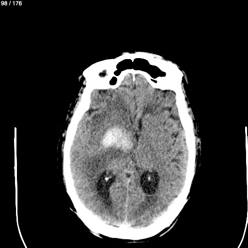
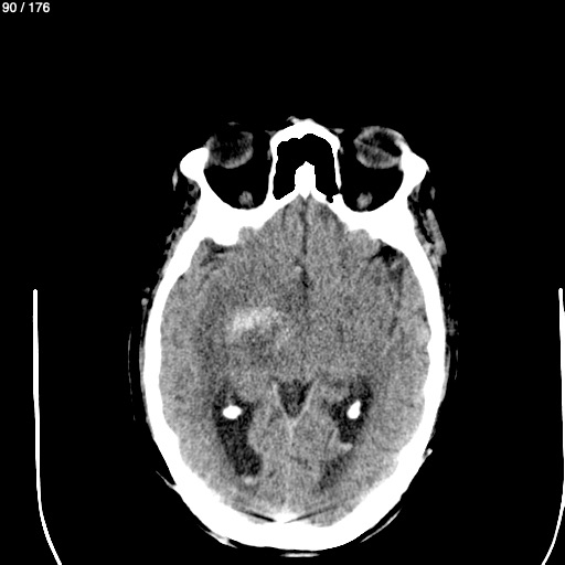
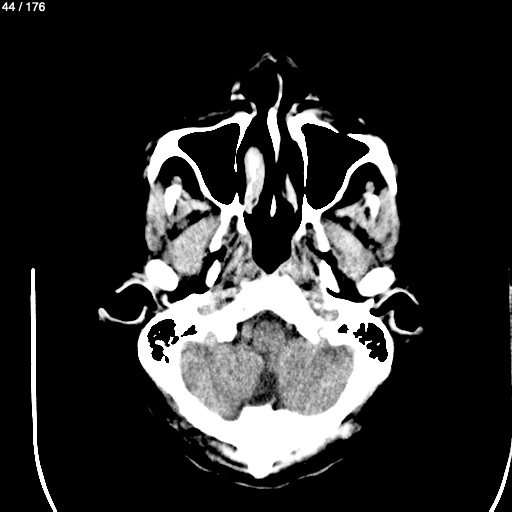
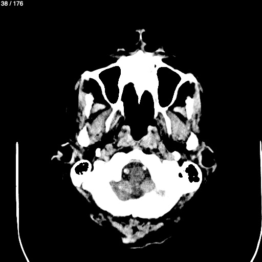
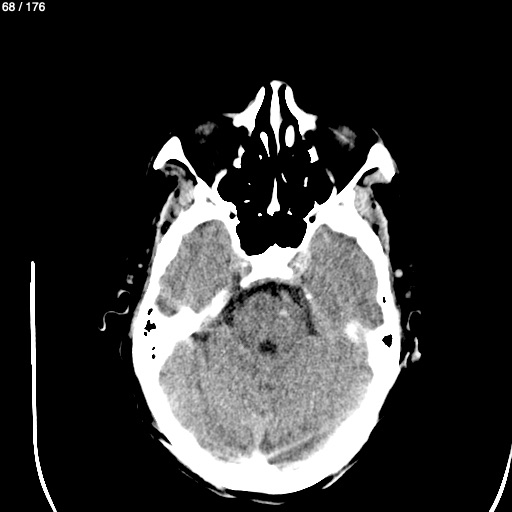
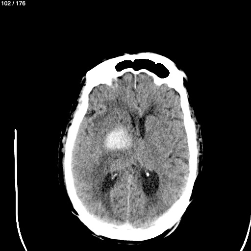
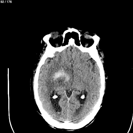
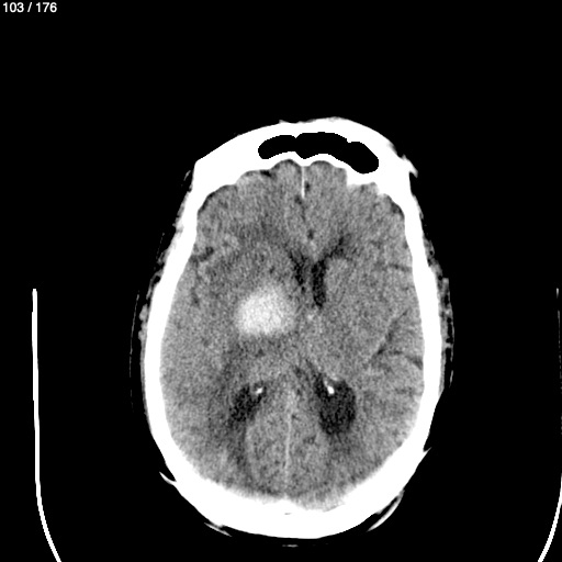
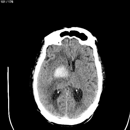
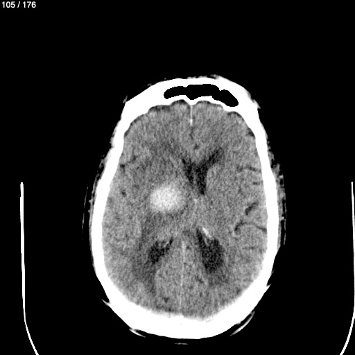
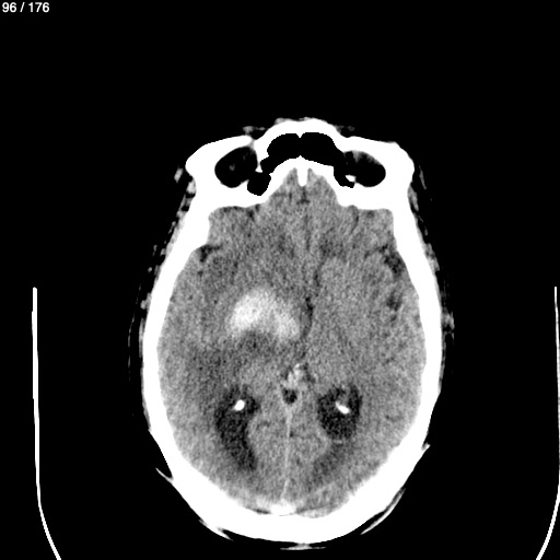
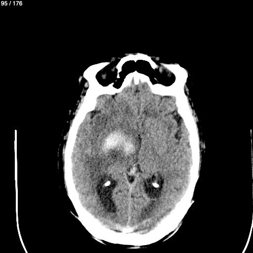
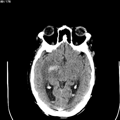
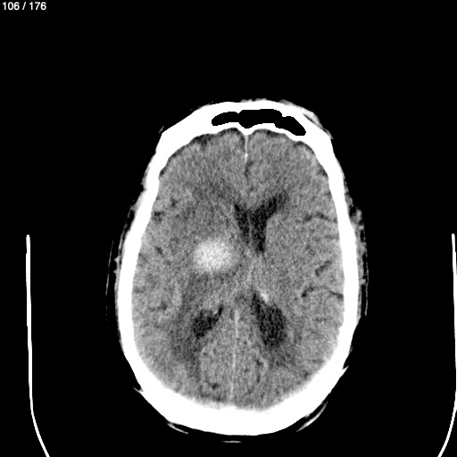
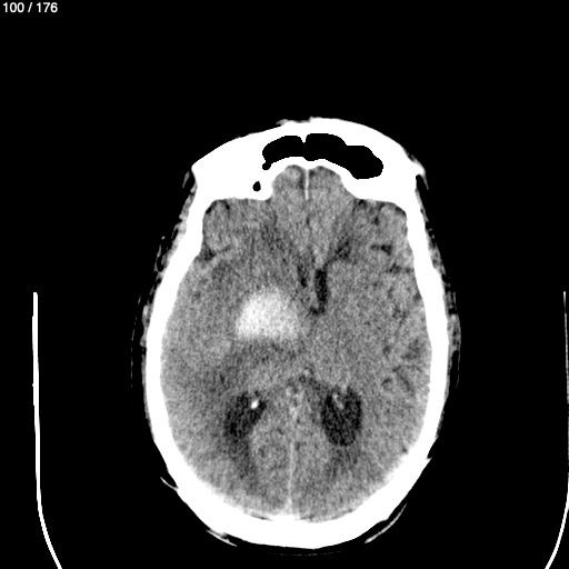
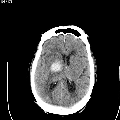
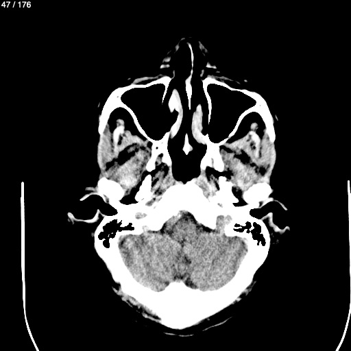
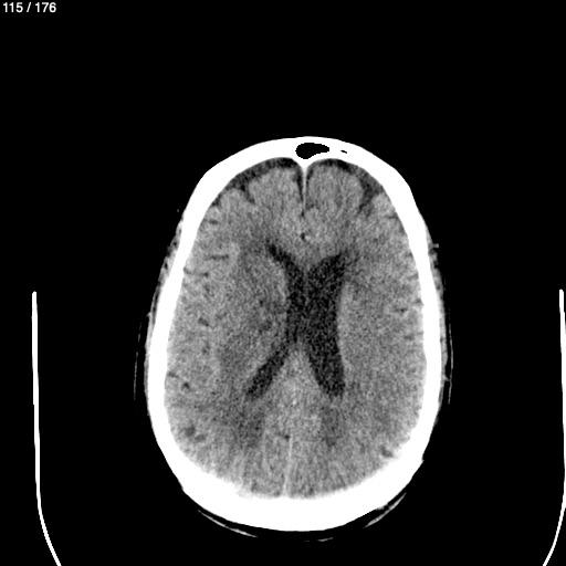
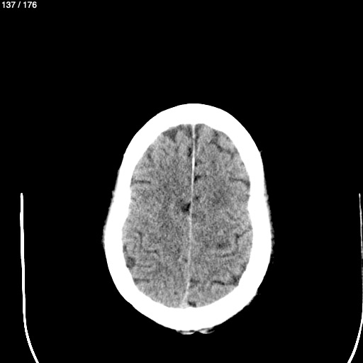
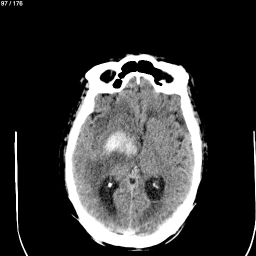
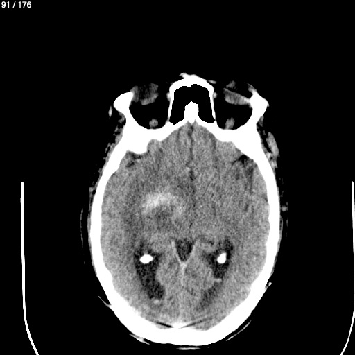
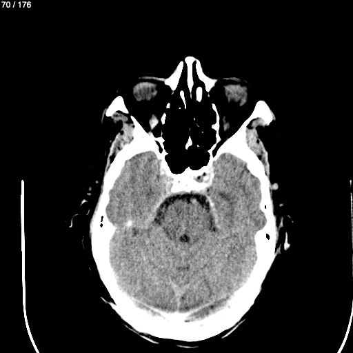
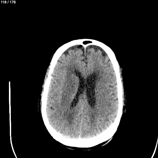
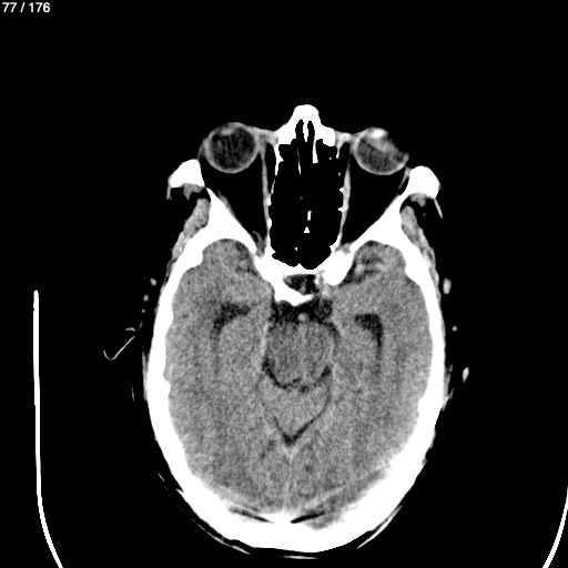
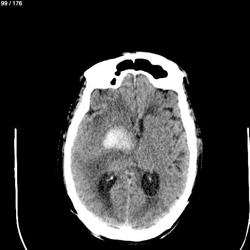
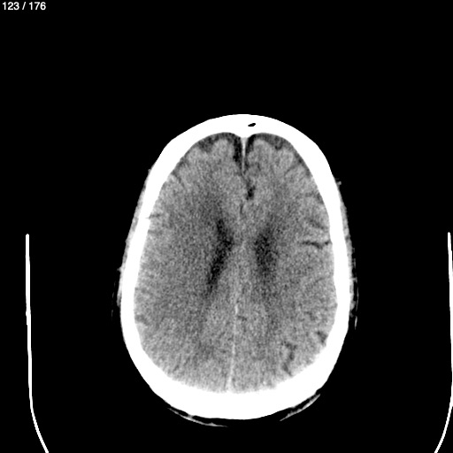
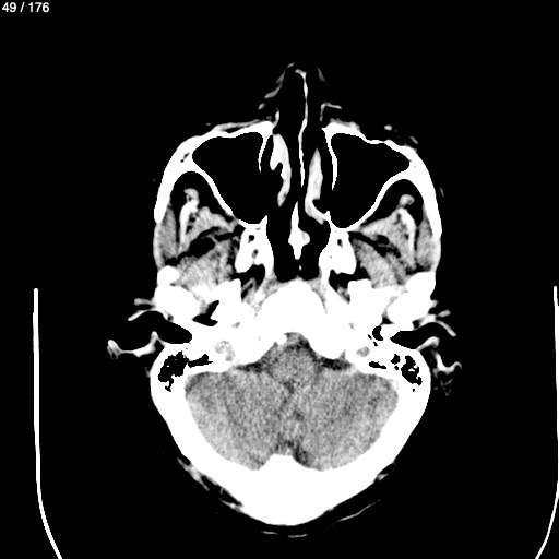
Donaciano Bartolon Perez - Cabeza Simple_Craneo (Adulto)
Previous Series
Show as Sequence