ESPECIALIDADES
HUIXTLA
ESCUINTLA
AKISHINO2
AKISHINO
Home
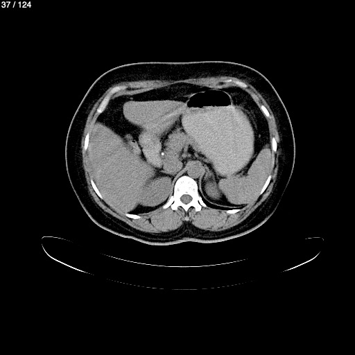
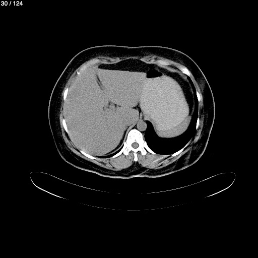
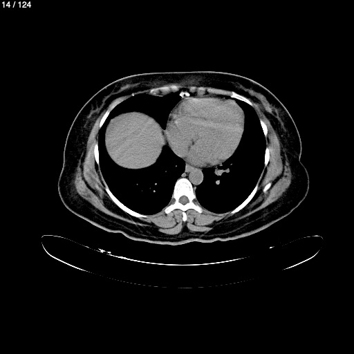
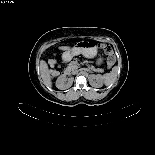
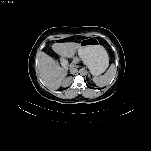
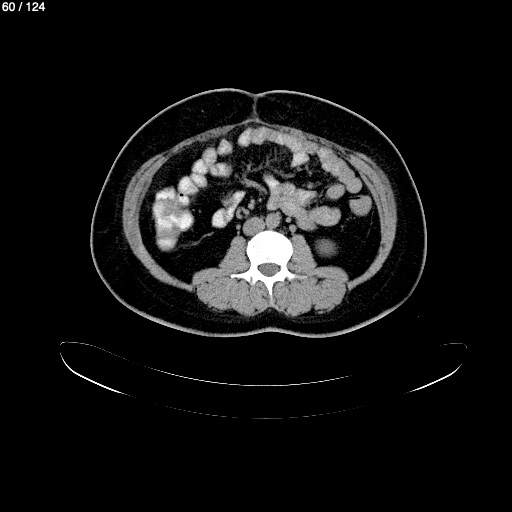
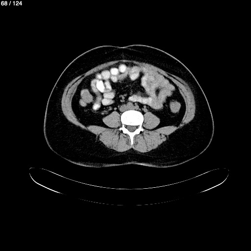
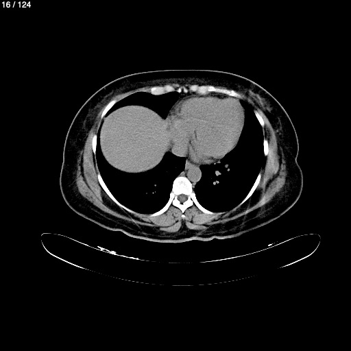
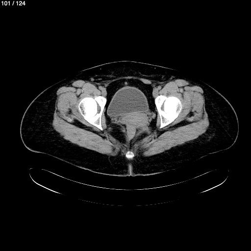
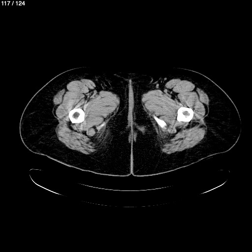
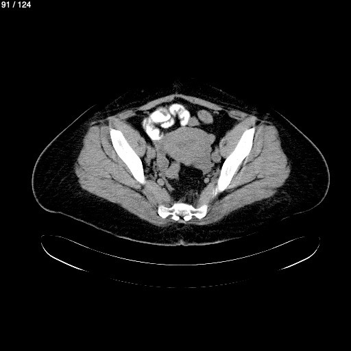
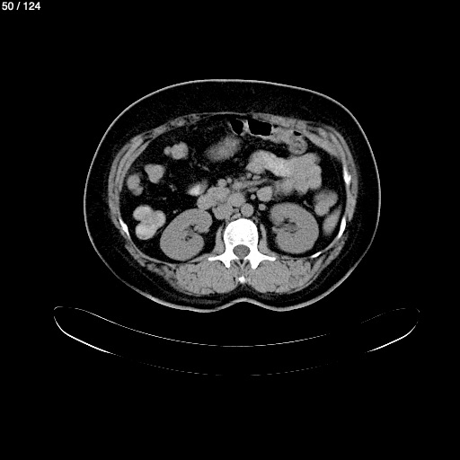
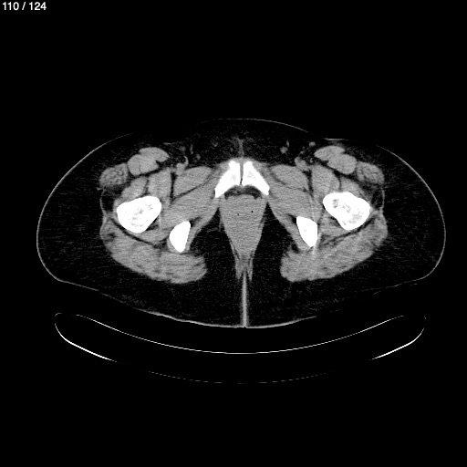
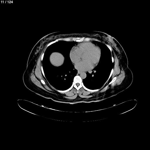
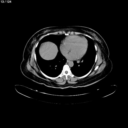
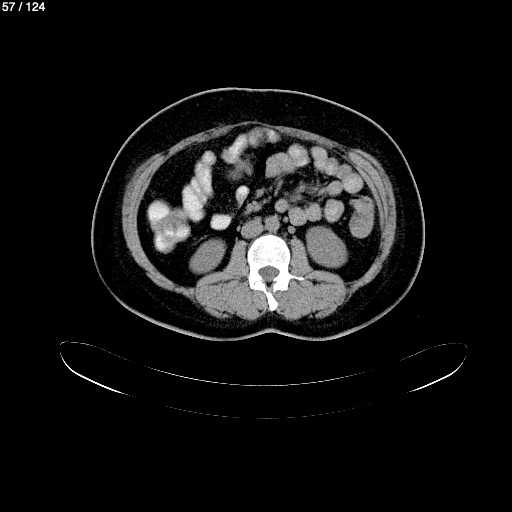
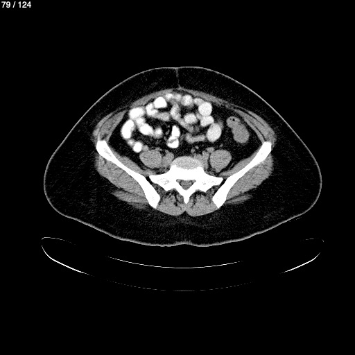
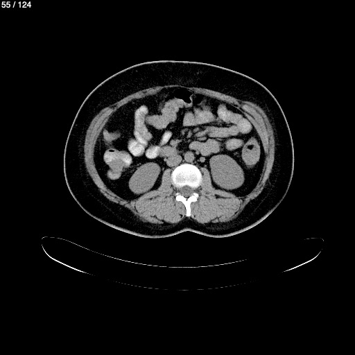
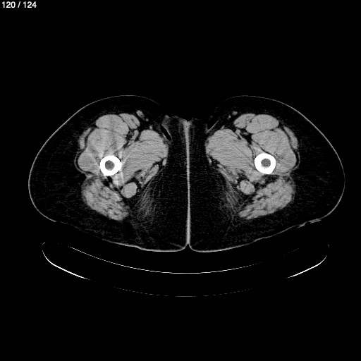
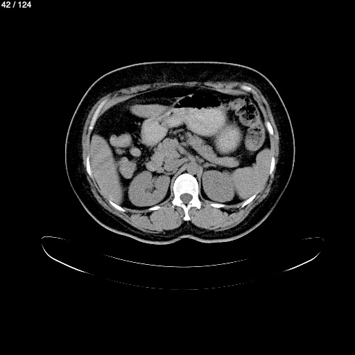
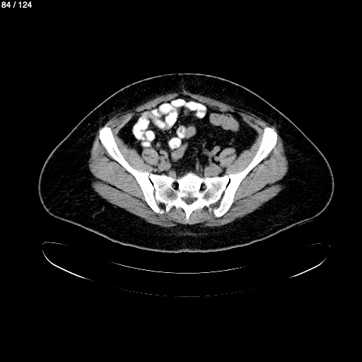
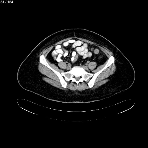
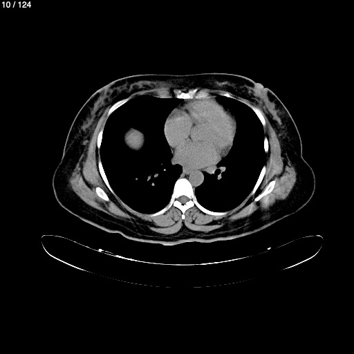
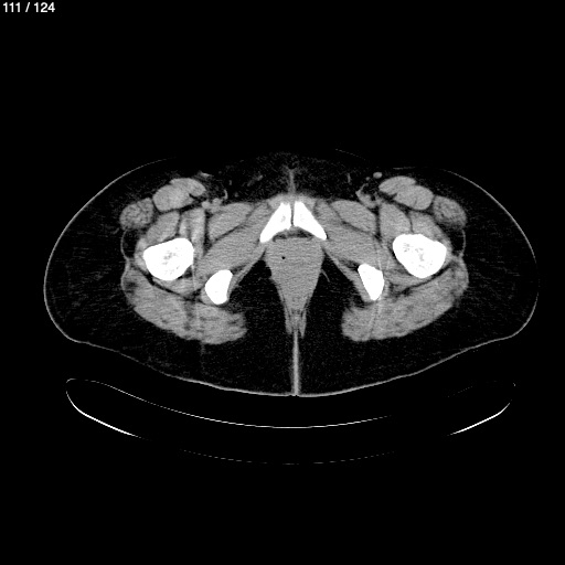
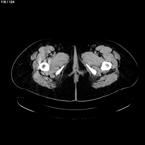
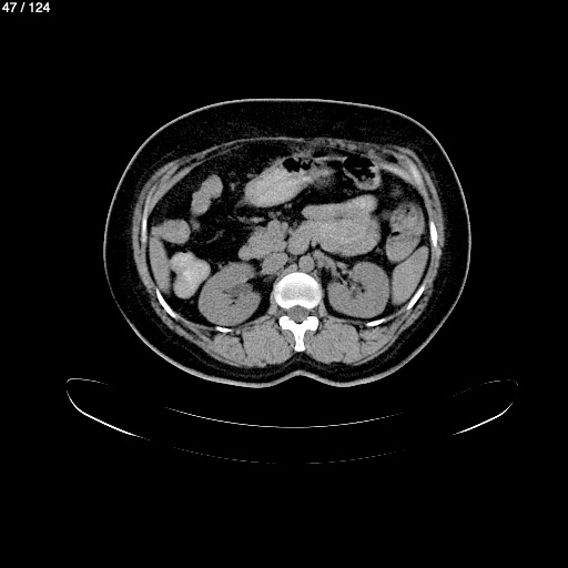
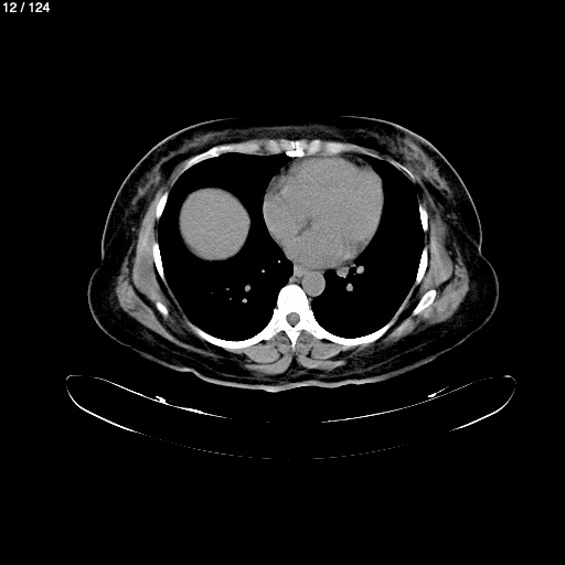
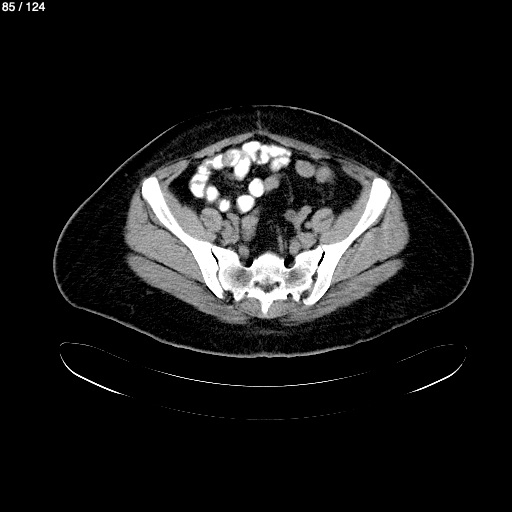
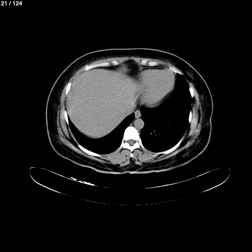
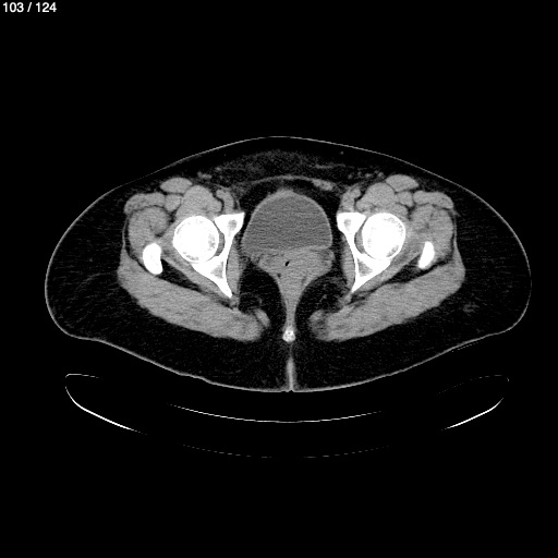
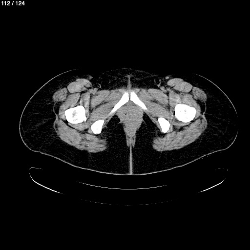
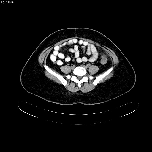
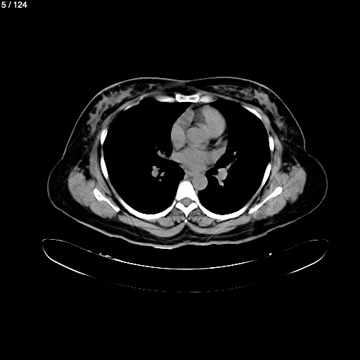
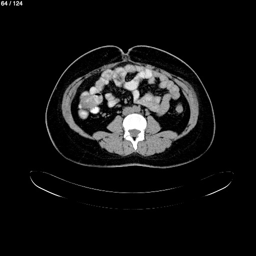
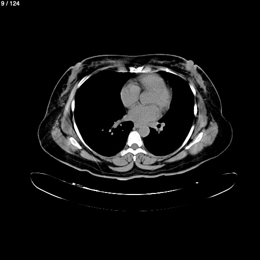
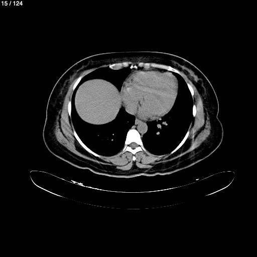
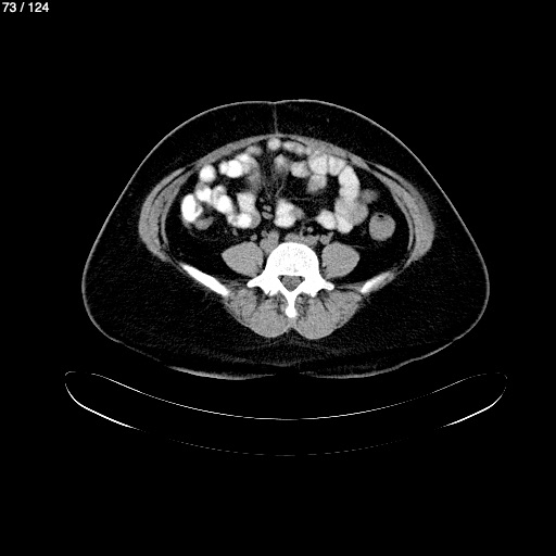
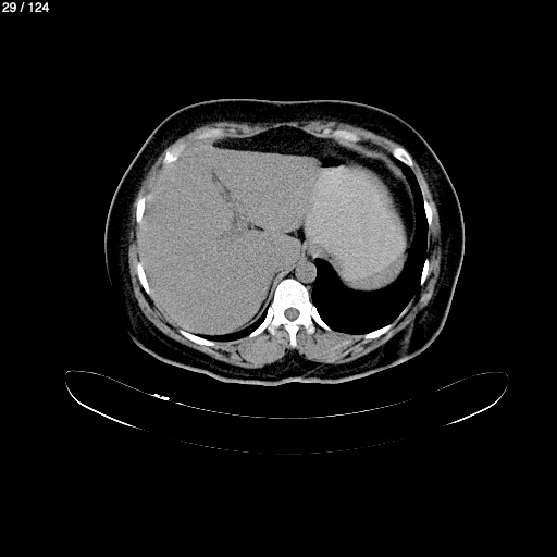
Angela Solis Damian - Abdomen Abdomen_Syc (Adulto)
Next Series
Show as Sequence