ESPECIALIDADES
HUIXTLA
ESCUINTLA
AKISHINO2
AKISHINO
Home
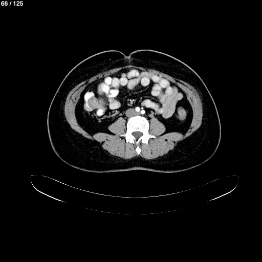
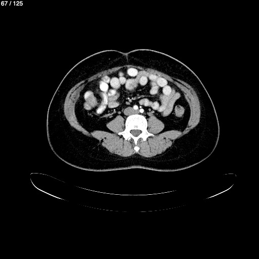
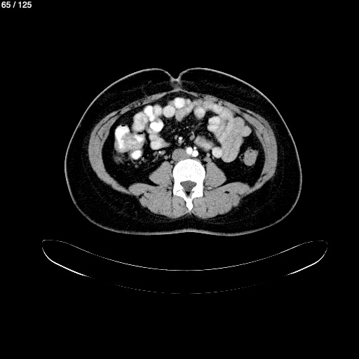
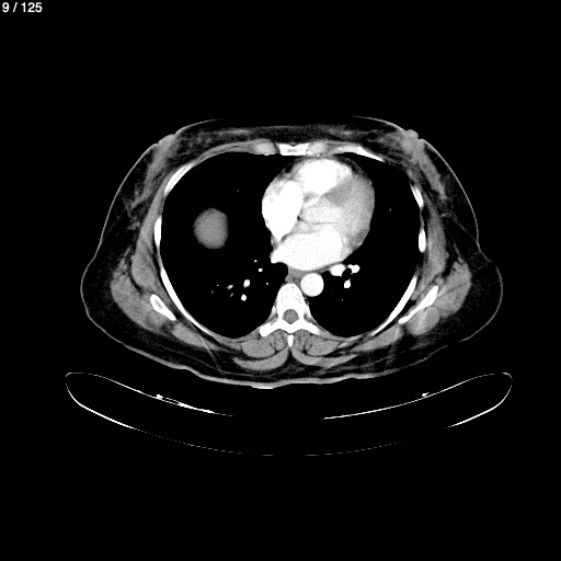
Angela Solis Damian - Abdomen Abdomen_Syc (Adulto)
Previous Series
Next Series
Show as Sequence