ESPECIALIDADES
HUIXTLA
ESCUINTLA
AKISHINO2
AKISHINO
Home
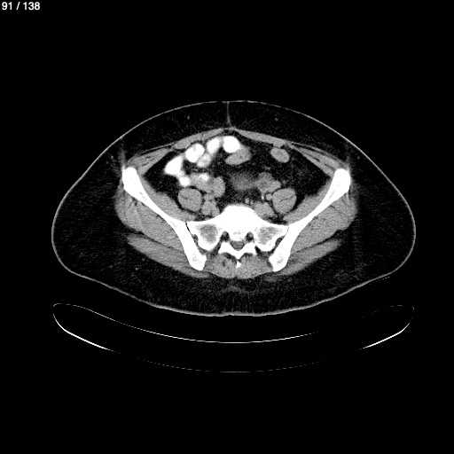
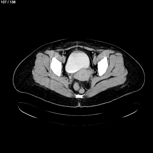
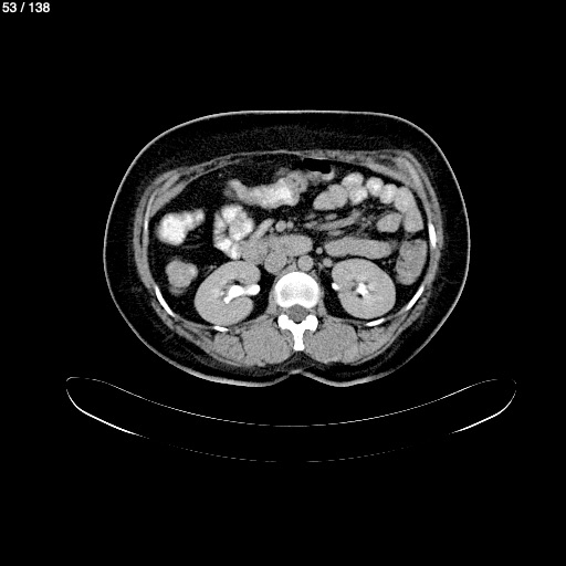
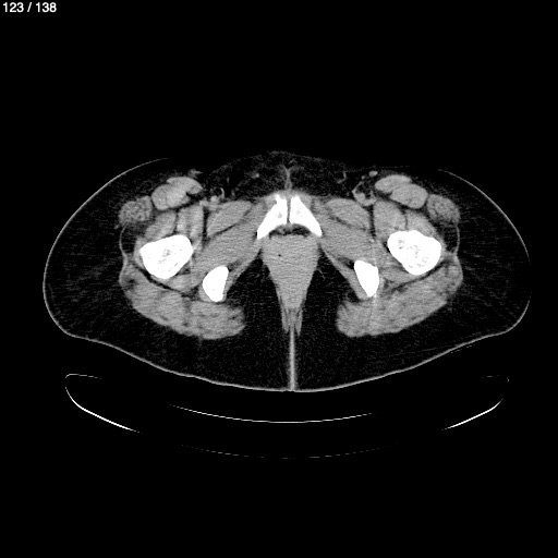
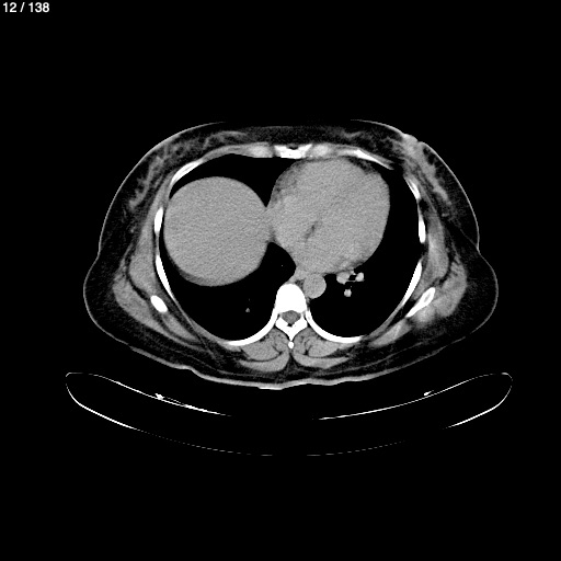
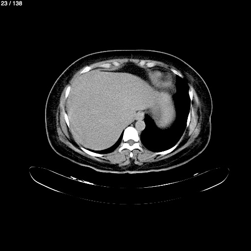
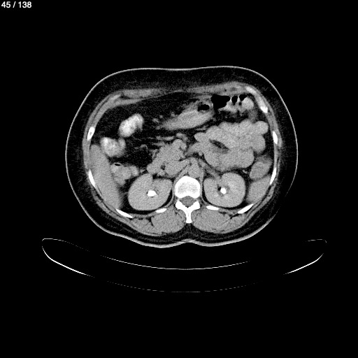
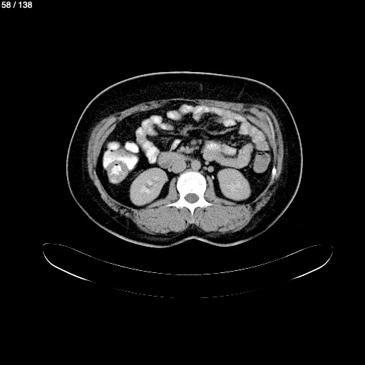
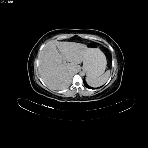
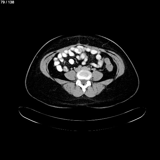
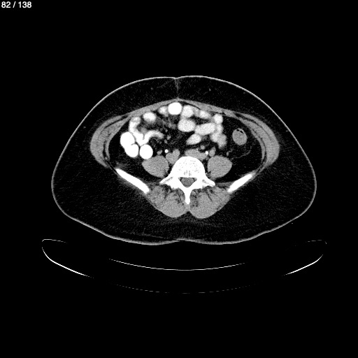
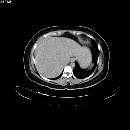
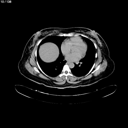
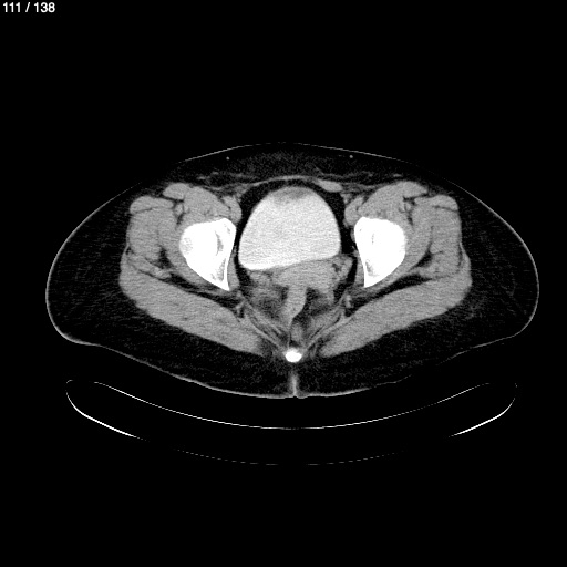
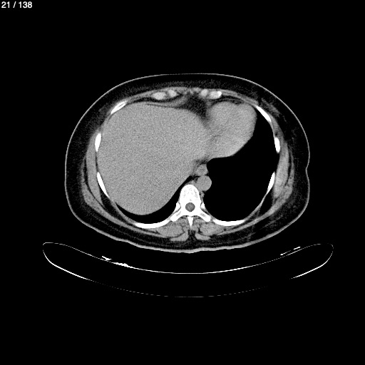
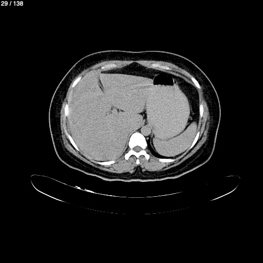
Angela Solis Damian - Abdomen Abdomen_Syc (Adulto)
Previous Series
Show as Sequence