ESPECIALIDADES
HUIXTLA
ESCUINTLA
AKISHINO2
AKISHINO
Home
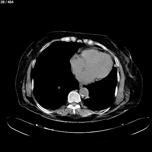
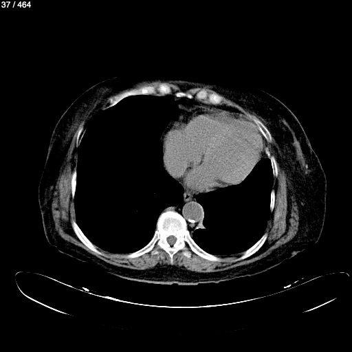
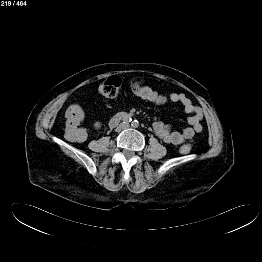
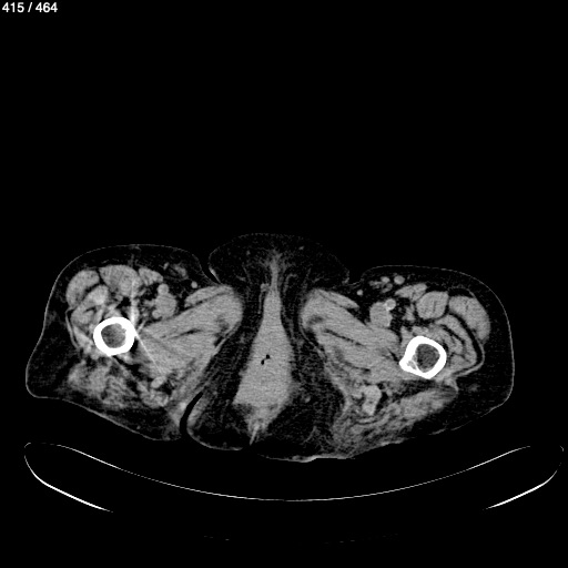
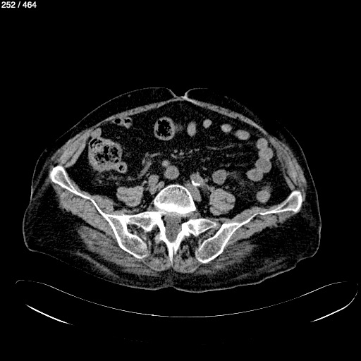
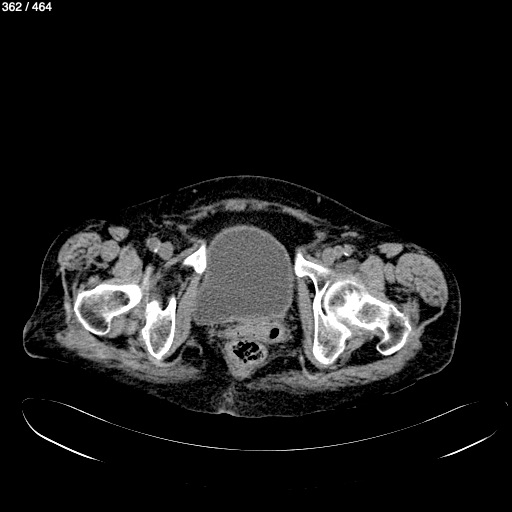
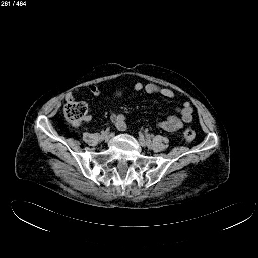
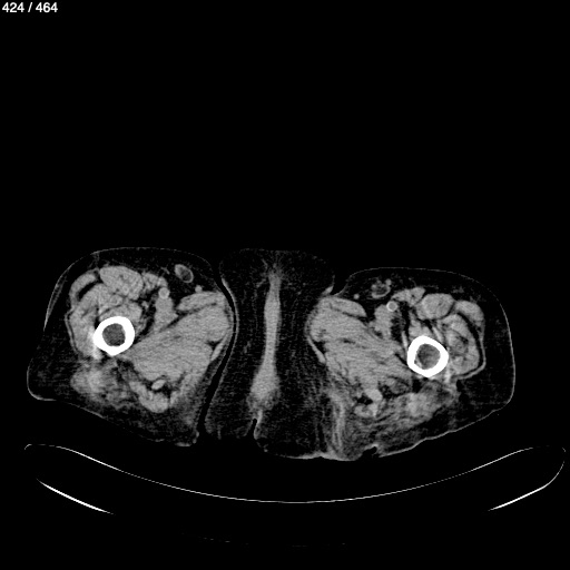
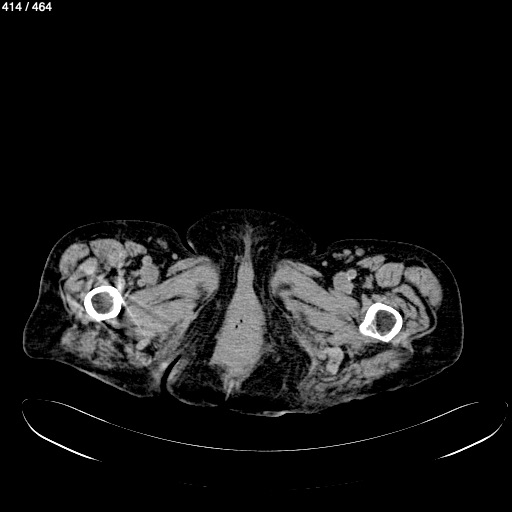
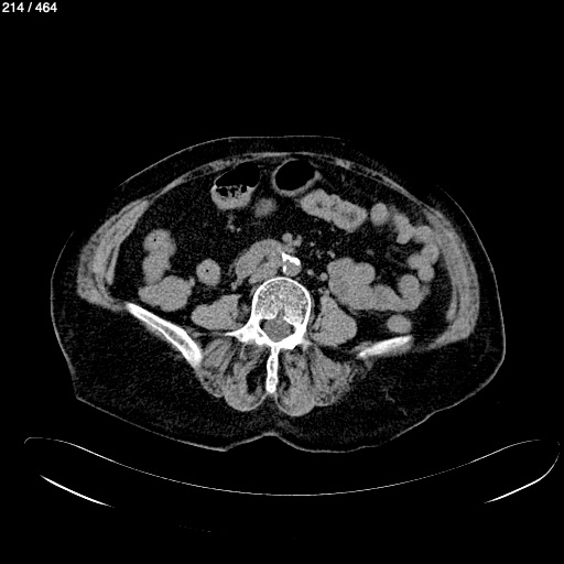
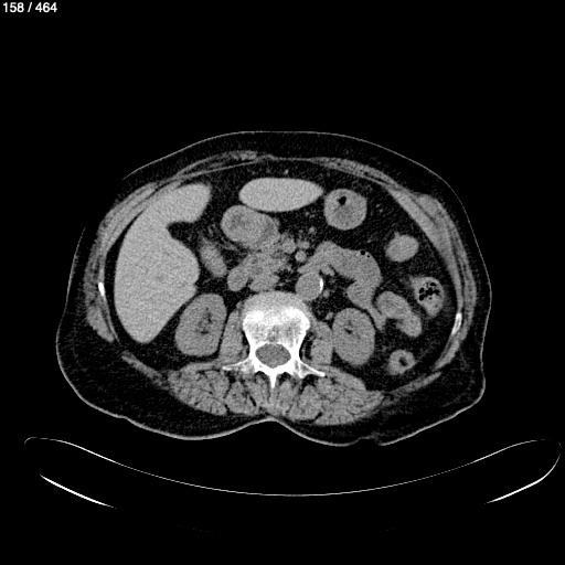
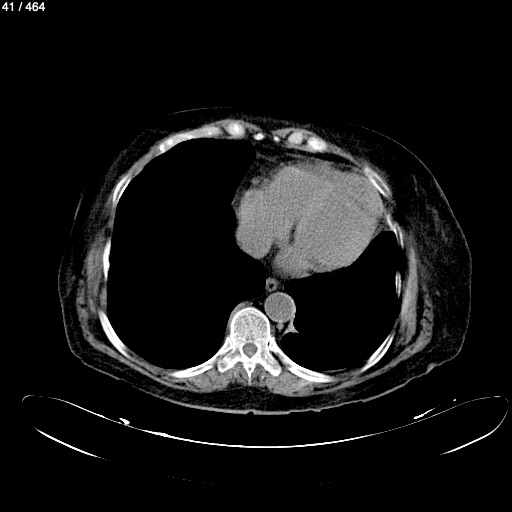
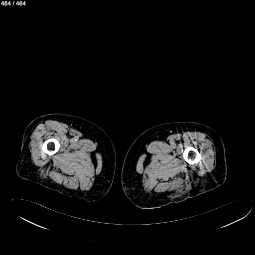
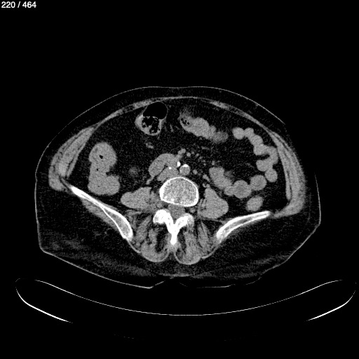
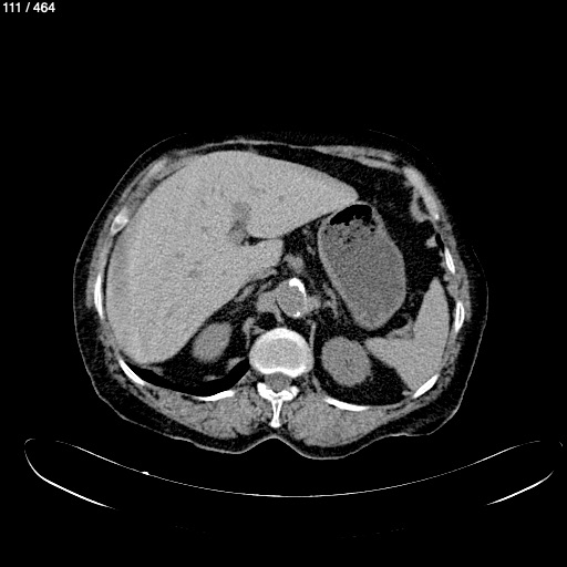
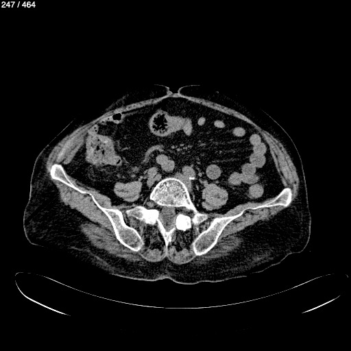
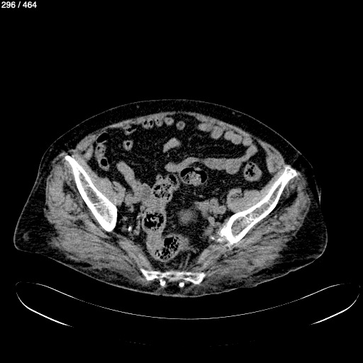
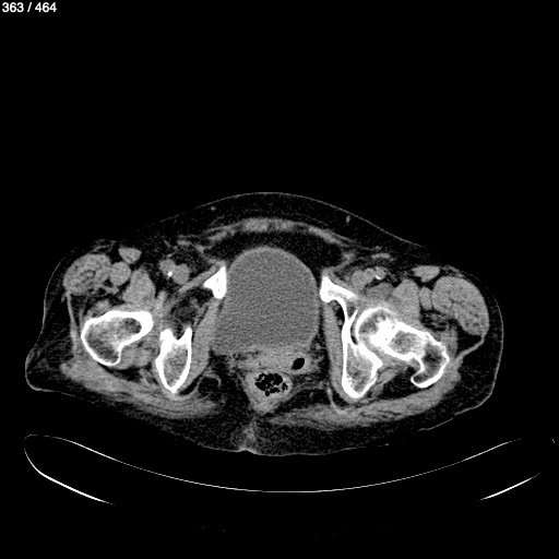
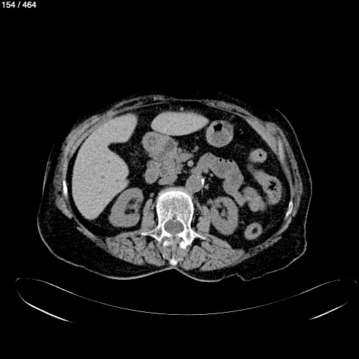
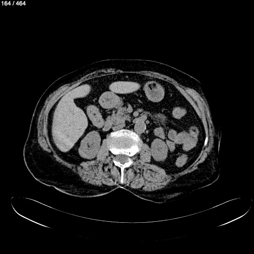
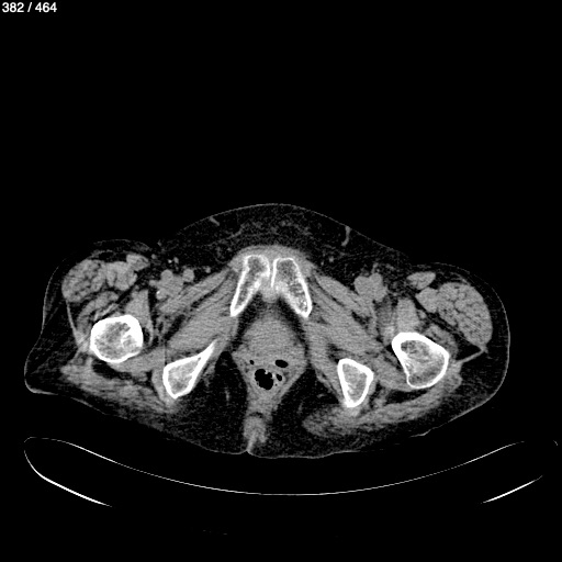
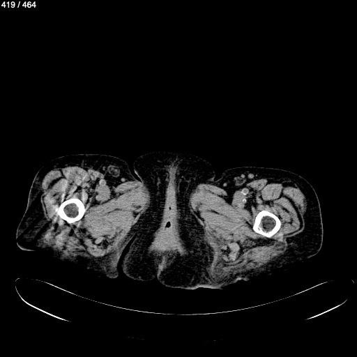
Amelia Marroquin Cruz - Abdomen Abdomen_Simple (Adulto)
Previous Series
Show as Sequence