ESPECIALIDADES
HUIXTLA
ESCUINTLA
AKISHINO2
AKISHINO
Home
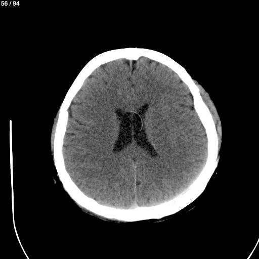
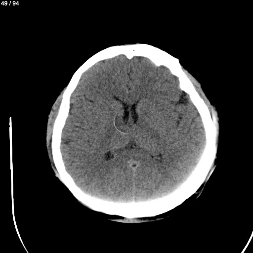
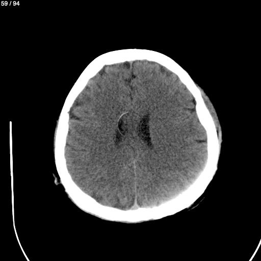
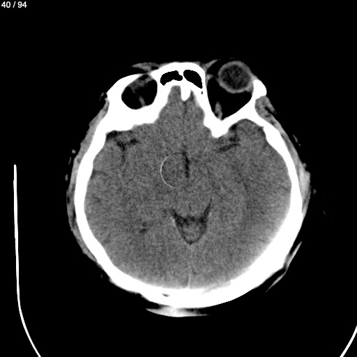
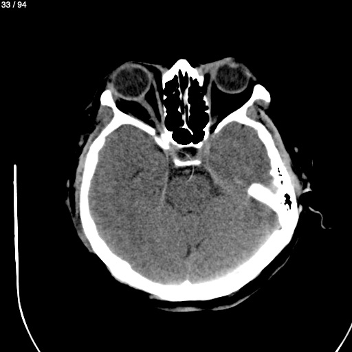
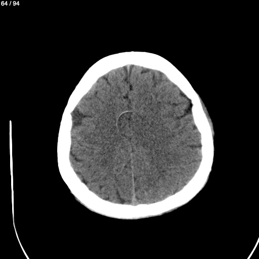
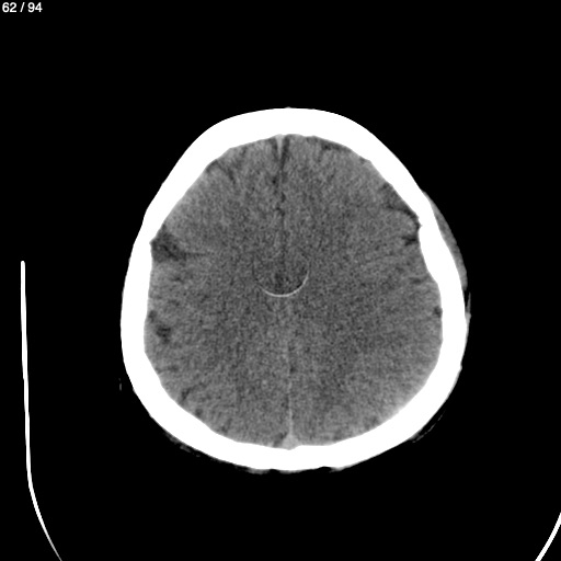
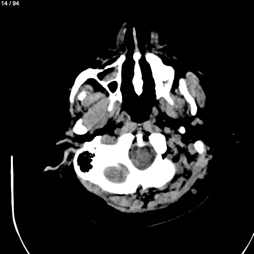
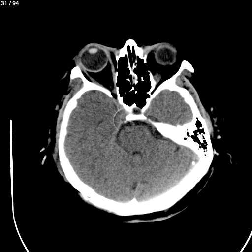
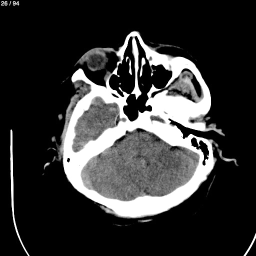
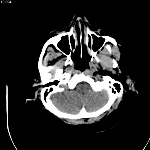
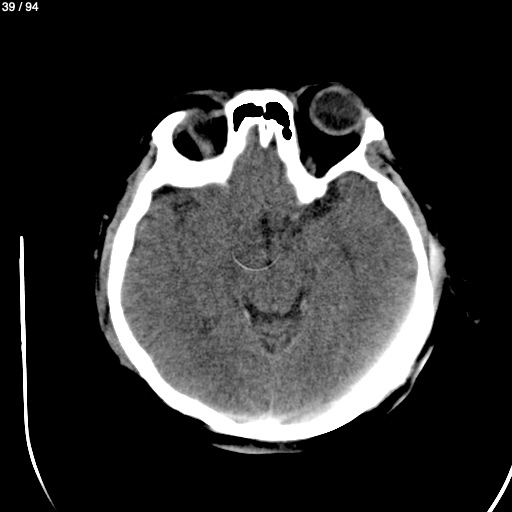
Diana Olaldes Lopez - Cabeza Simple_Craneo (Adulto)
Show as Sequence