ESPECIALIDADES
HUIXTLA
ESCUINTLA
AKISHINO2
AKISHINO
Home
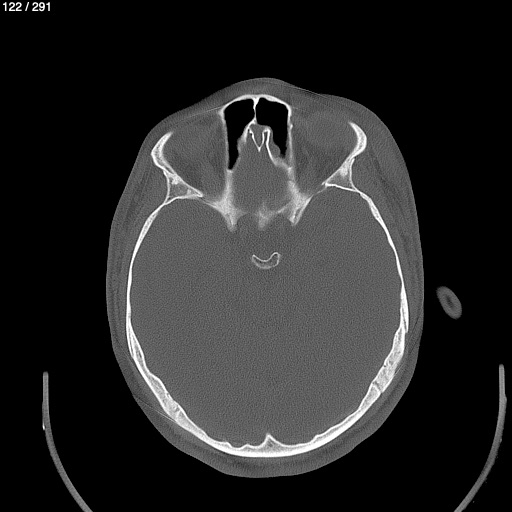
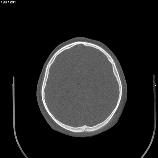
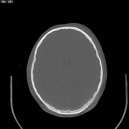
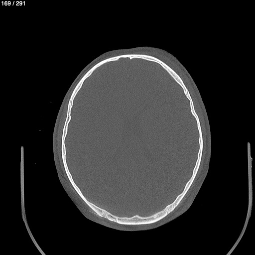
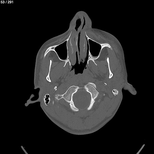
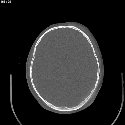
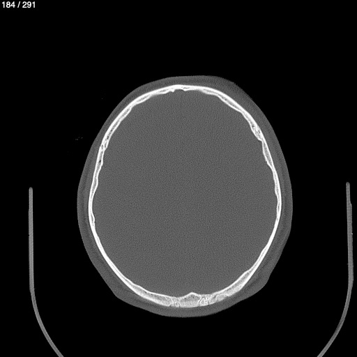
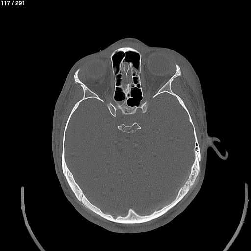
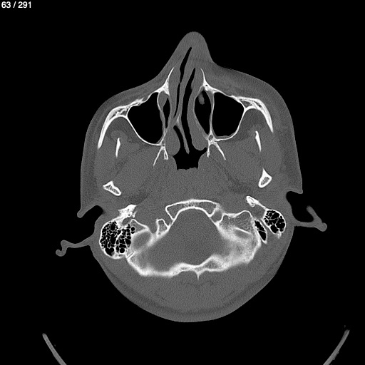
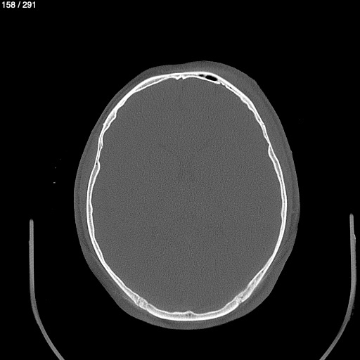
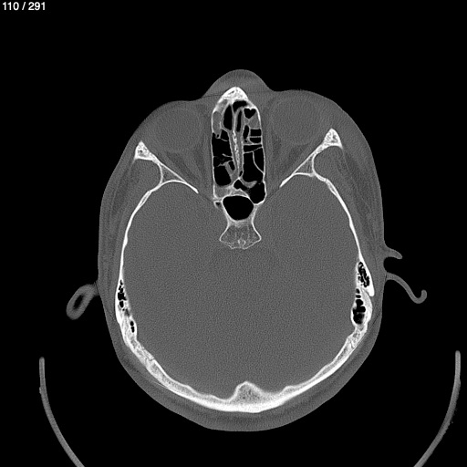
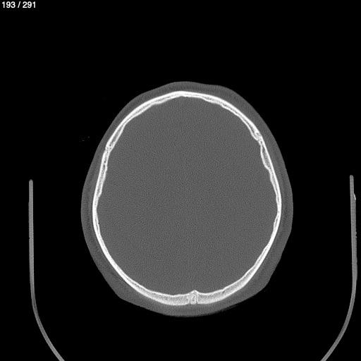
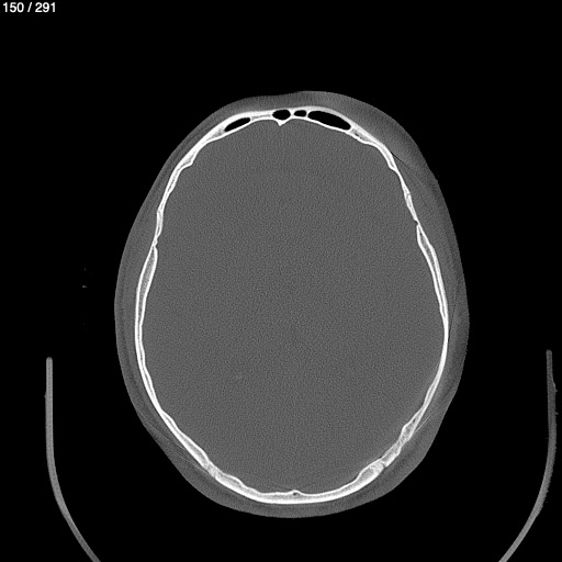
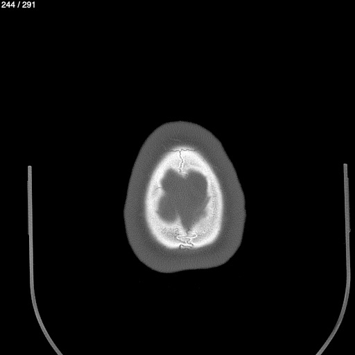
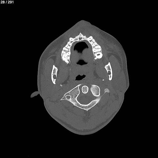
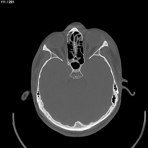
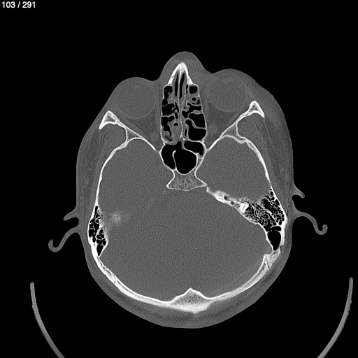
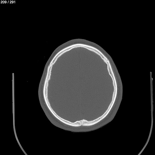
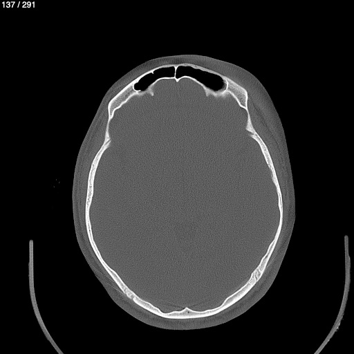
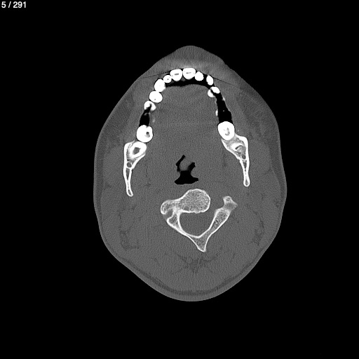
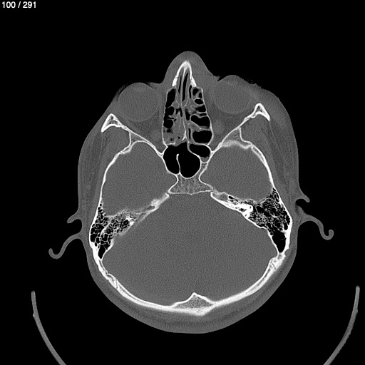
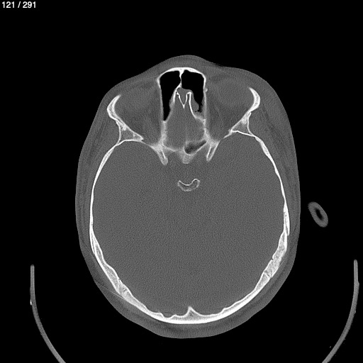
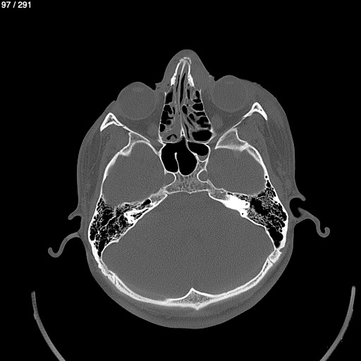
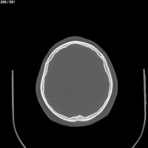
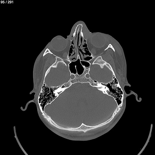
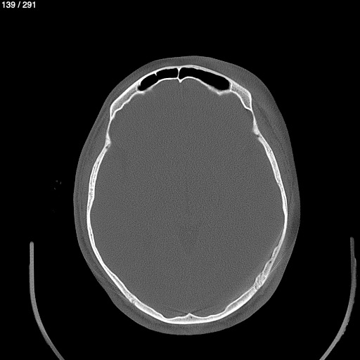
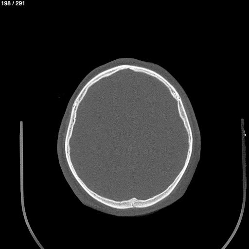
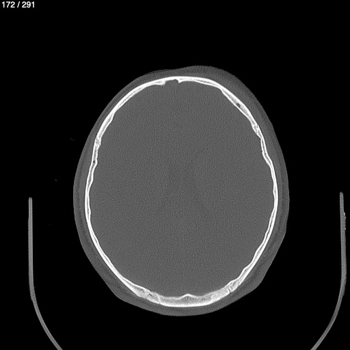
Alexander Daniel Ortiz - Cabeza Craneo_Trauma (Adulto)
Previous Series
Show as Sequence