ESPECIALIDADES
HUIXTLA
ESCUINTLA
AKISHINO2
AKISHINO
Home
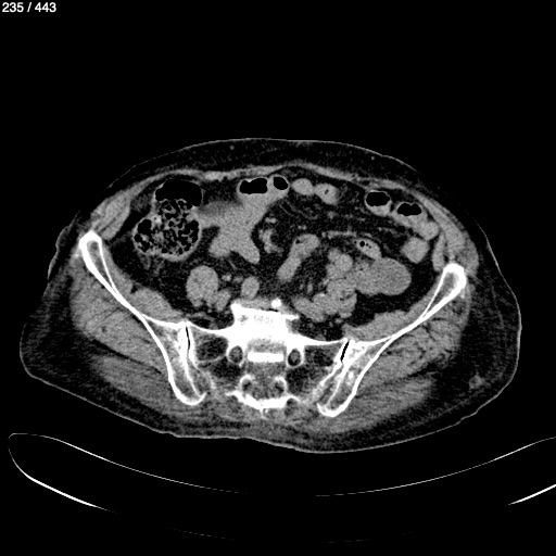
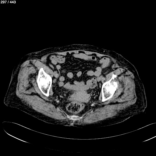
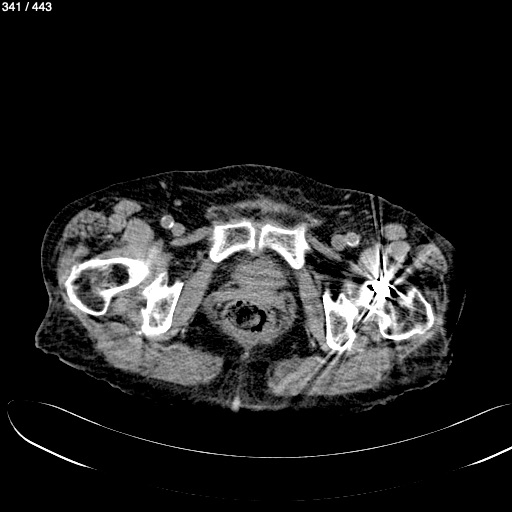
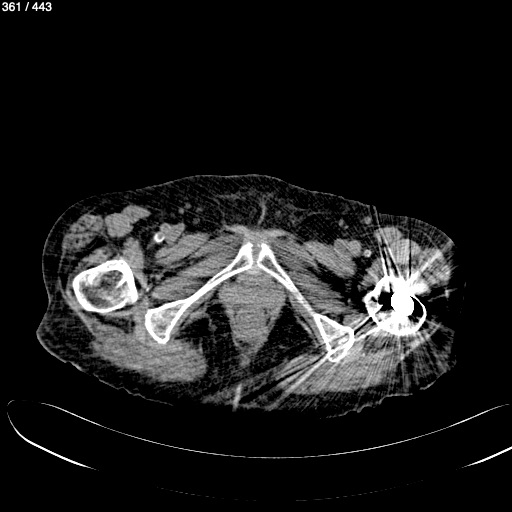
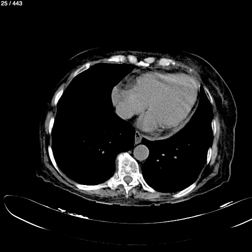
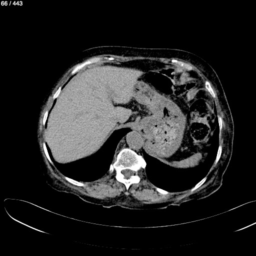
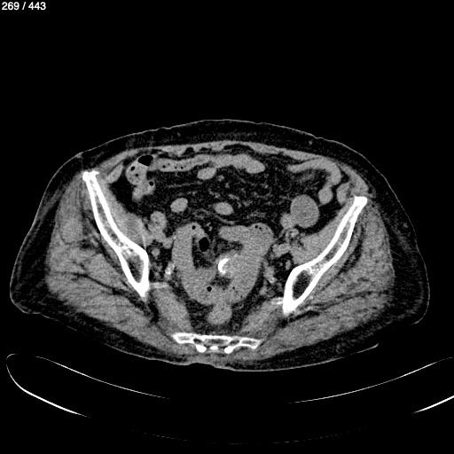
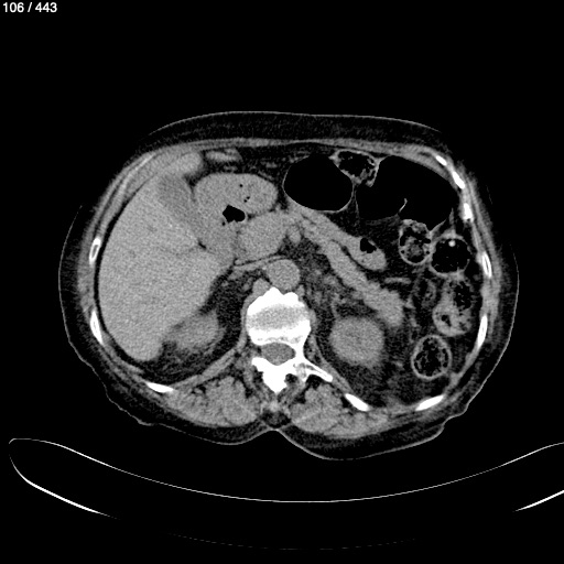
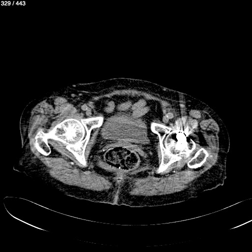
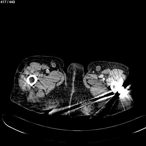
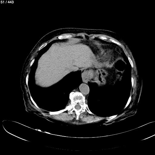
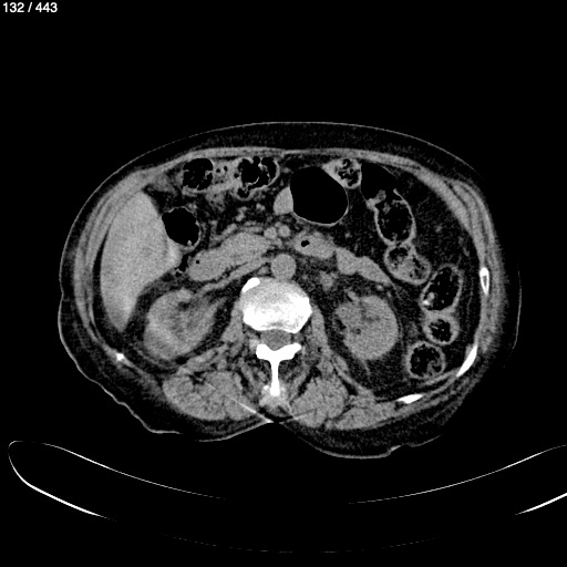
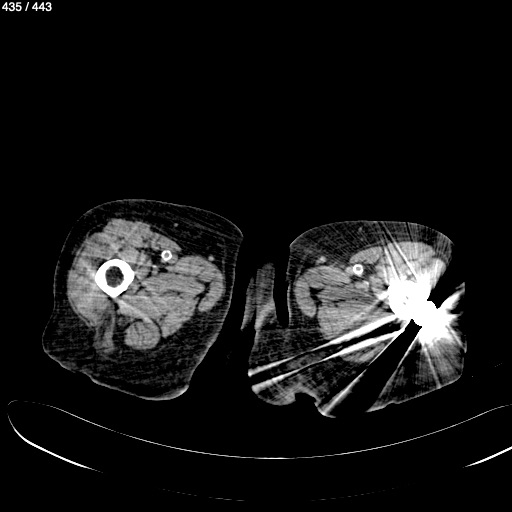
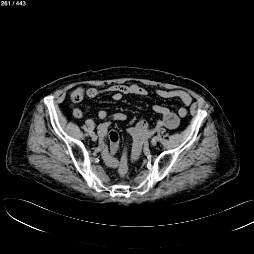
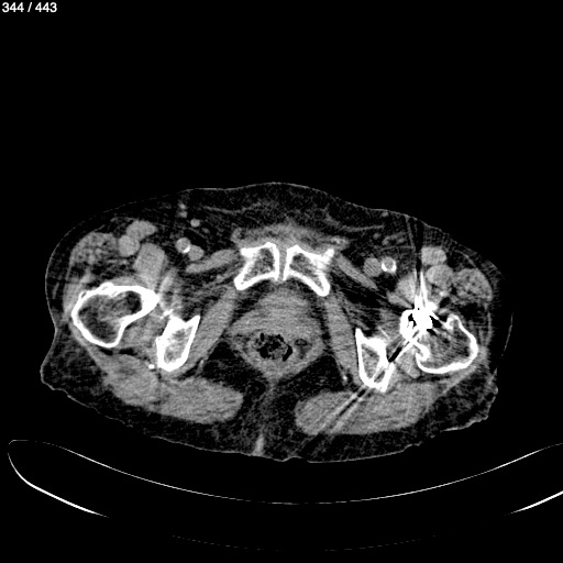
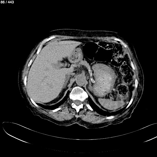
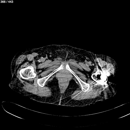
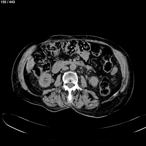
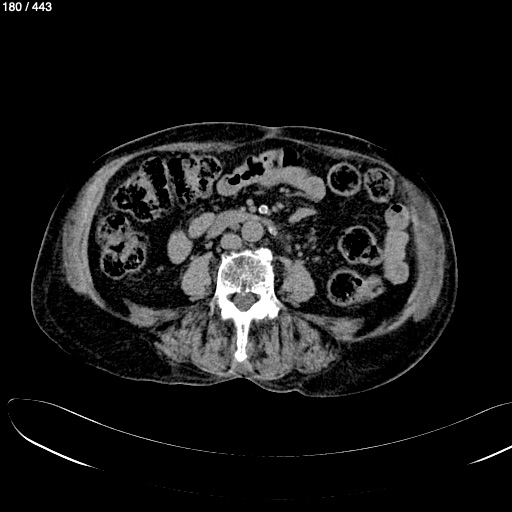
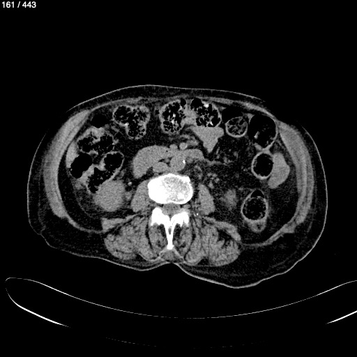
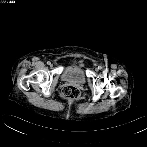
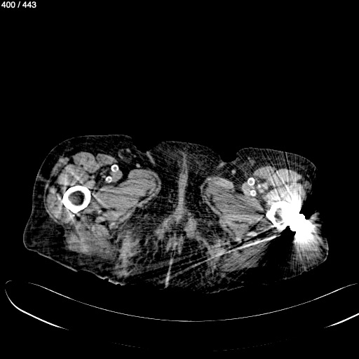
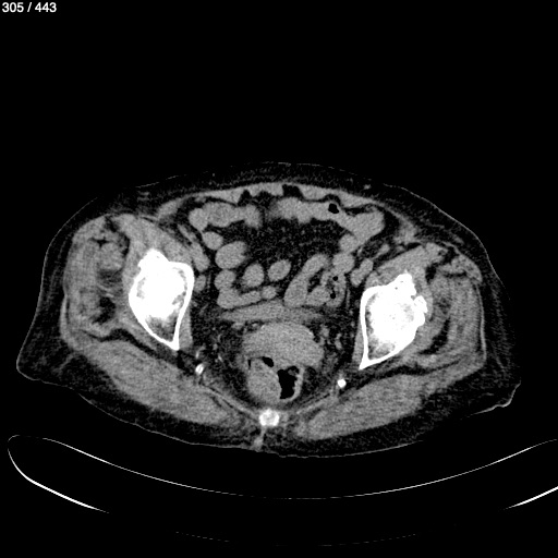
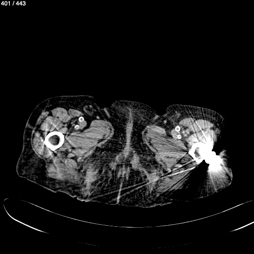
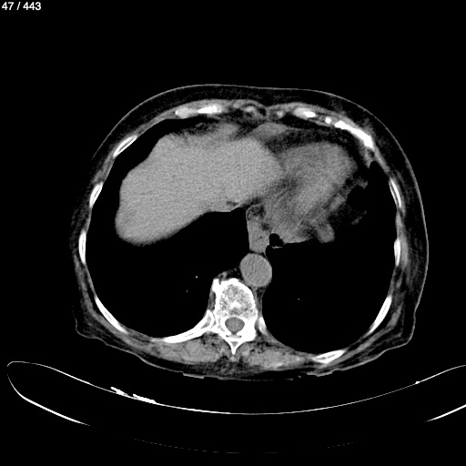
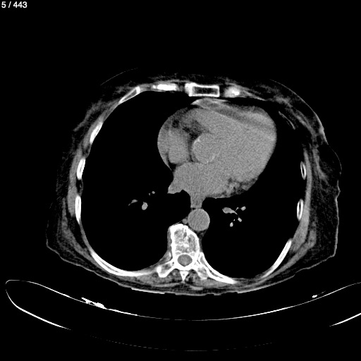
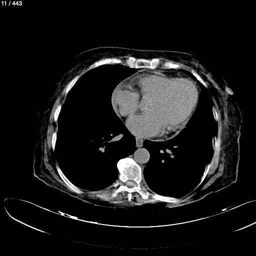
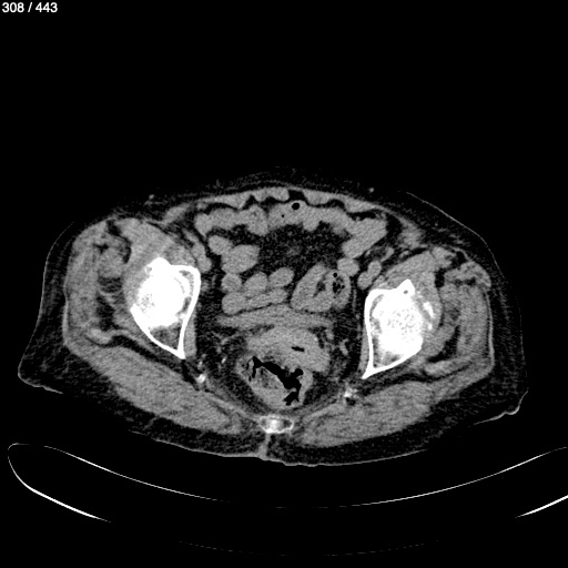
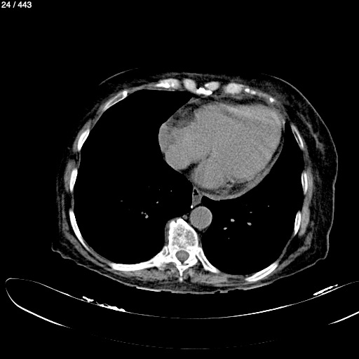
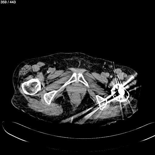
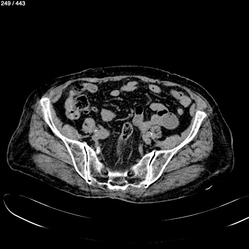
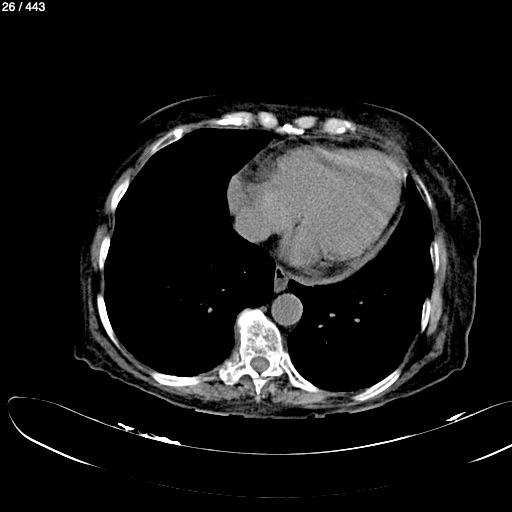
Santos Lopez Osorio - Abdomen Abdomen_Simple (Adulto)
Show as Sequence