ESPECIALIDADES
HUIXTLA
ESCUINTLA
AKISHINO2
AKISHINO
Home
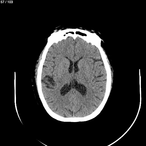
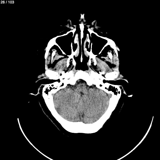
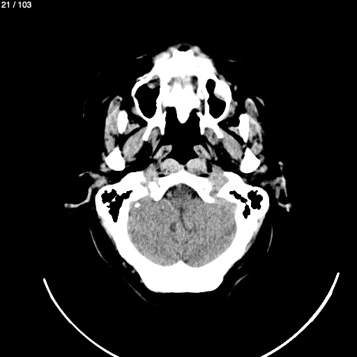
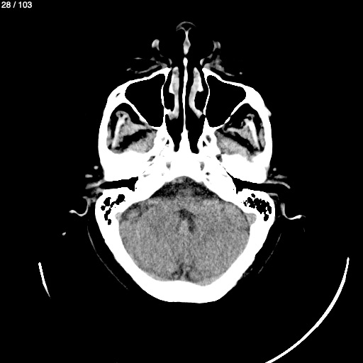
Marcelina Gutierrez Tellez - Cabeza Simple_Craneo (Adulto)
Show as Sequence