ESPECIALIDADES
HUIXTLA
ESCUINTLA
AKISHINO2
AKISHINO
Home
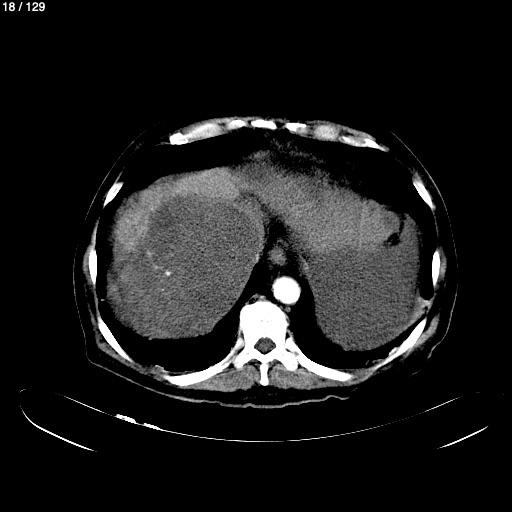
Enrique Perez Flores - Abdomen Abdomen_Syc (Adulto)
Next Series
Show as Sequence