ESPECIALIDADES
HUIXTLA
ESCUINTLA
AKISHINO2
AKISHINO
Home
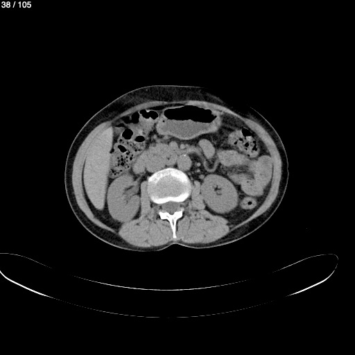
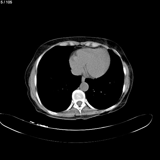
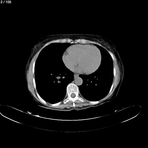
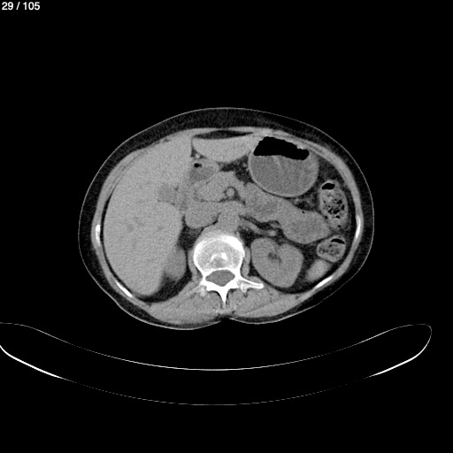
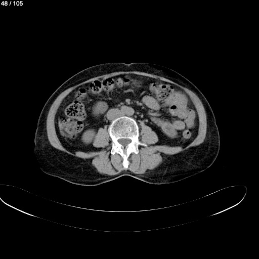
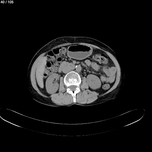
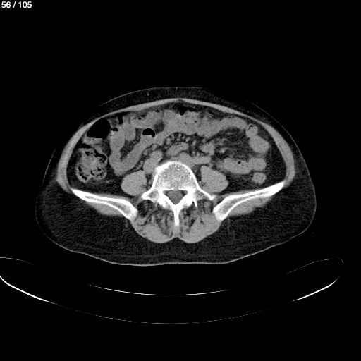
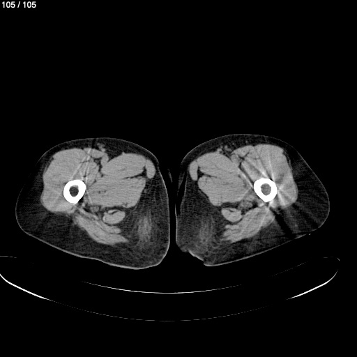
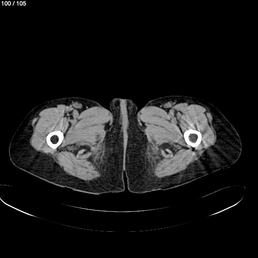
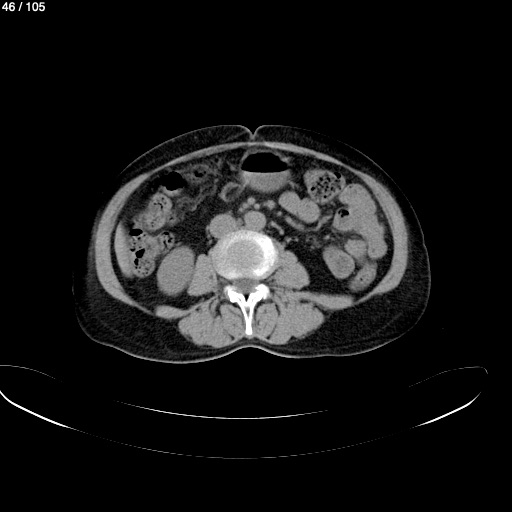
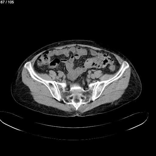
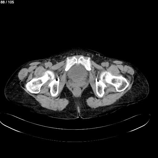
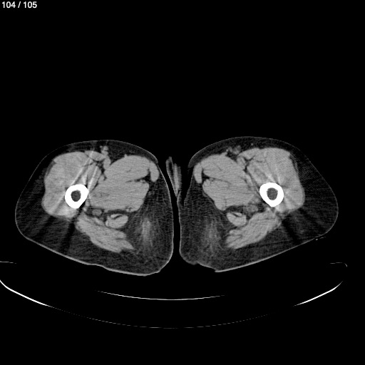
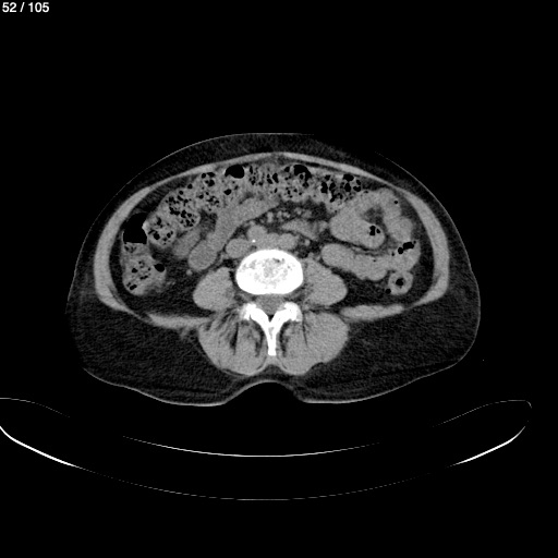
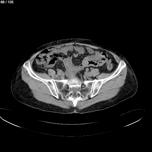
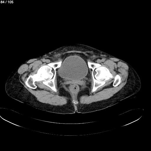
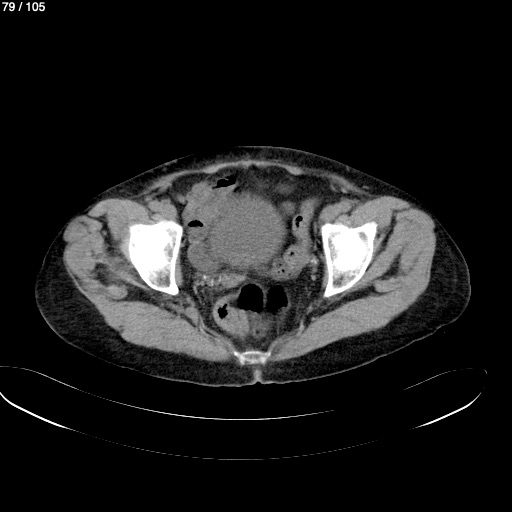
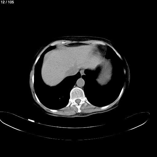
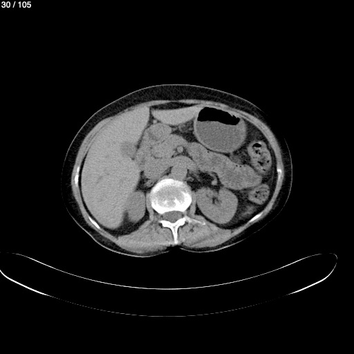
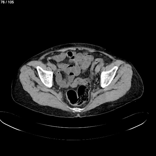
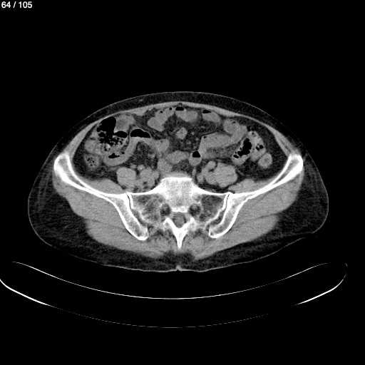
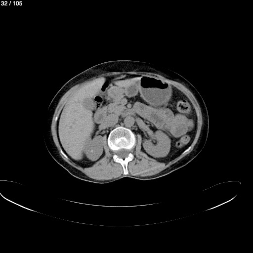
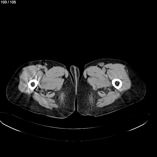
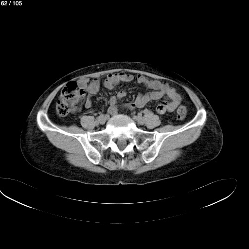
Roselina Mendez Angel - Abdomen Urotac (Adulto)
Next Series
Show as Sequence