ESPECIALIDADES
HUIXTLA
ESCUINTLA
AKISHINO2
AKISHINO
Home
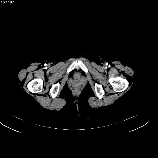
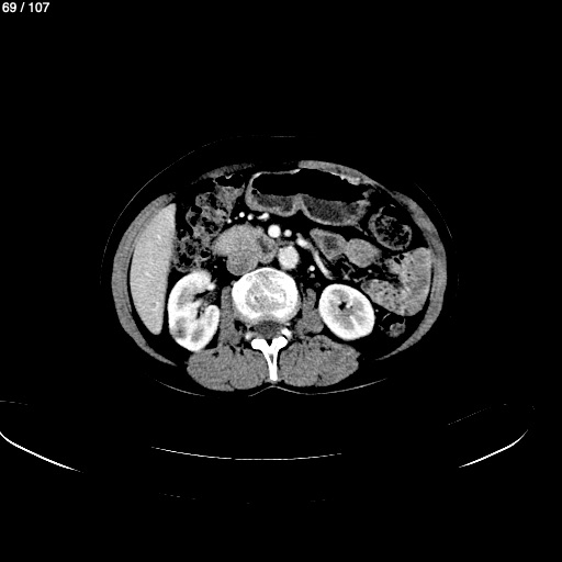
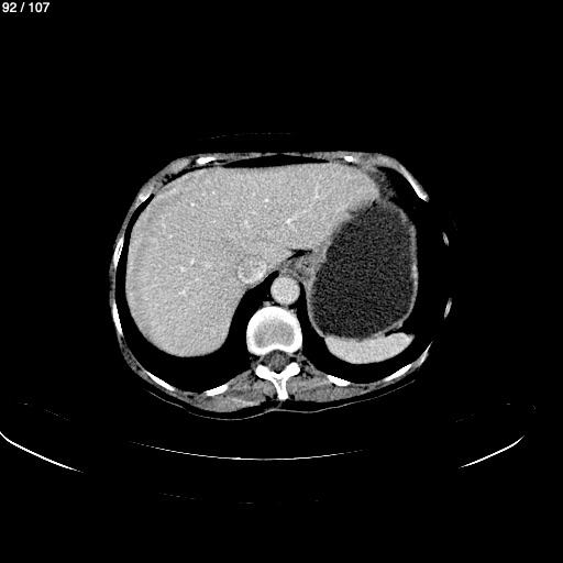
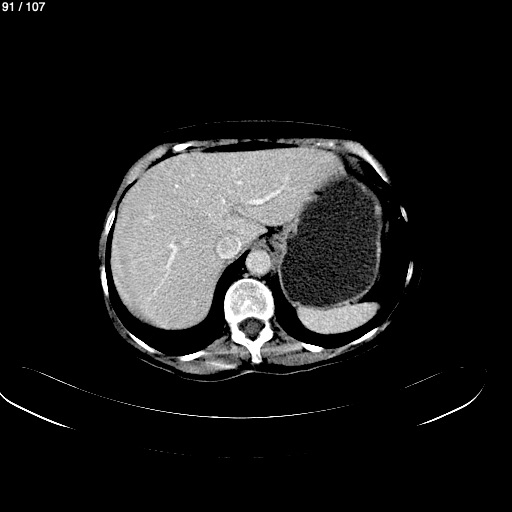
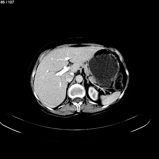
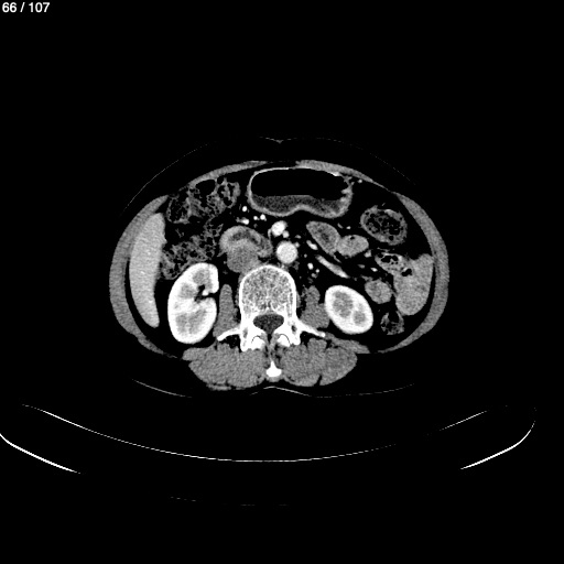
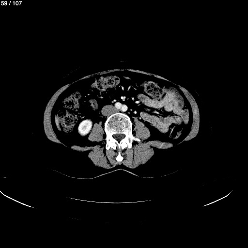
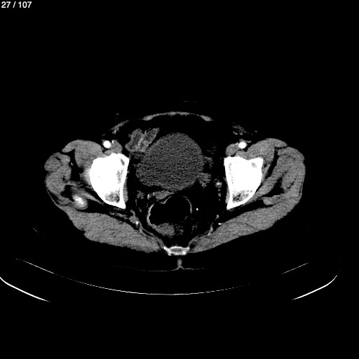
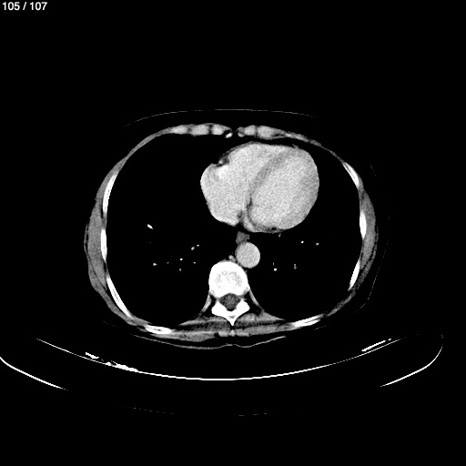
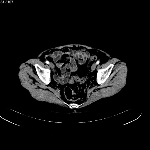
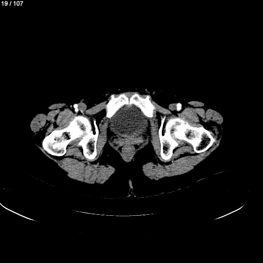
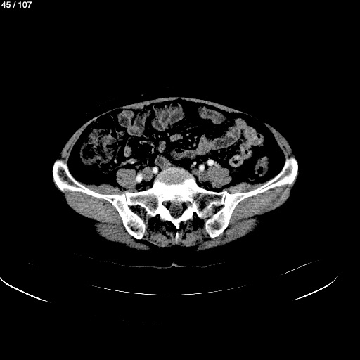
Roselina Mendez Angel - Abdomen Urotac (Adulto)
Previous Series
Next Series
Show as Sequence