ESPECIALIDADES
HUIXTLA
ESCUINTLA
AKISHINO2
AKISHINO
Home
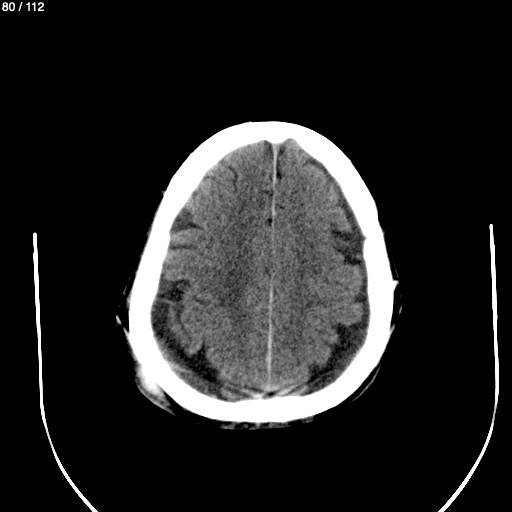
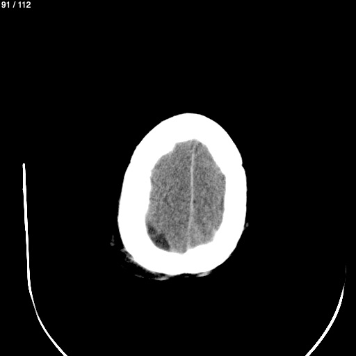
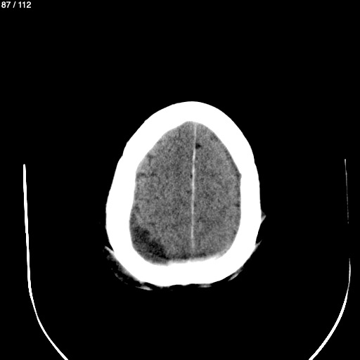
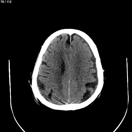
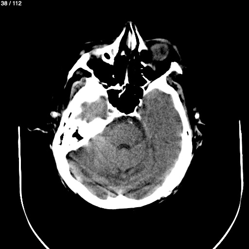
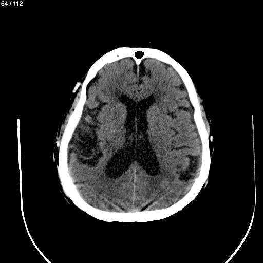
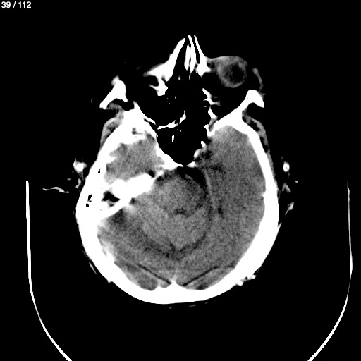
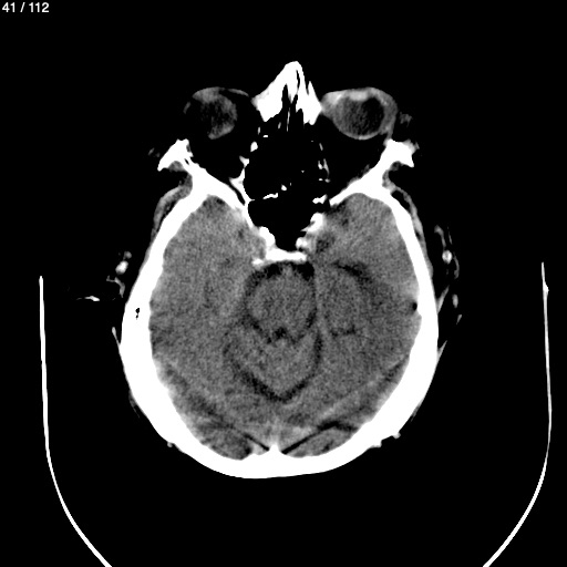
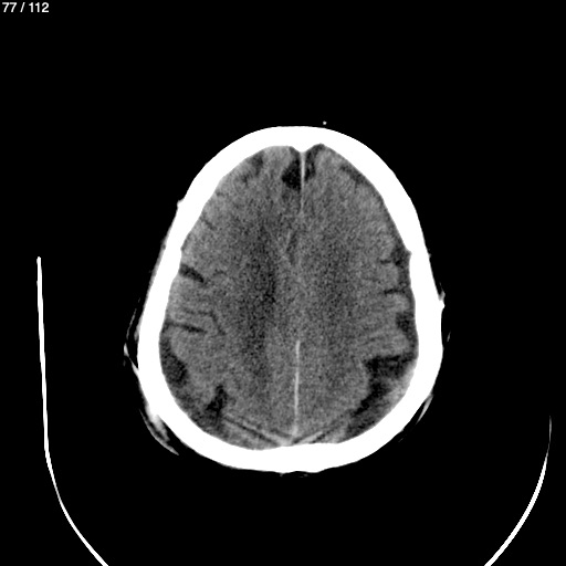
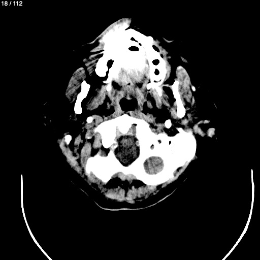
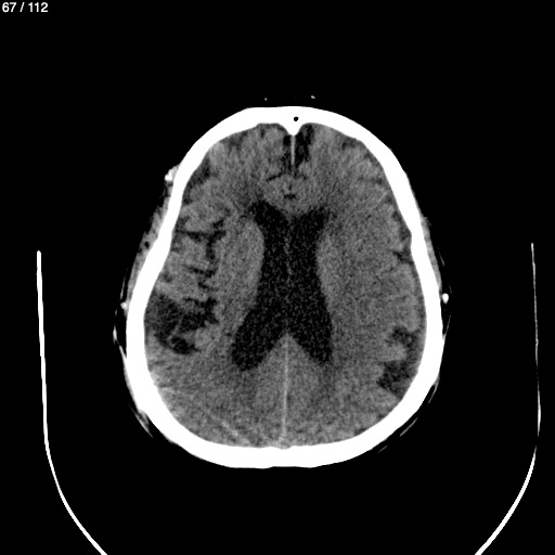
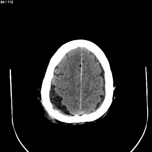
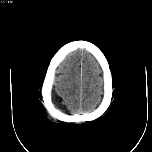
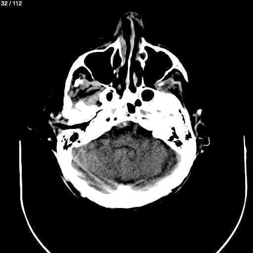
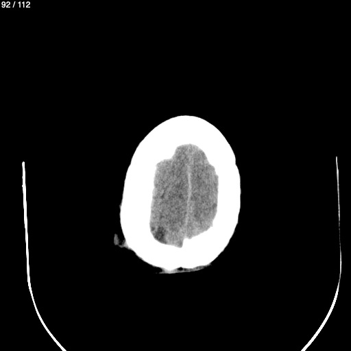
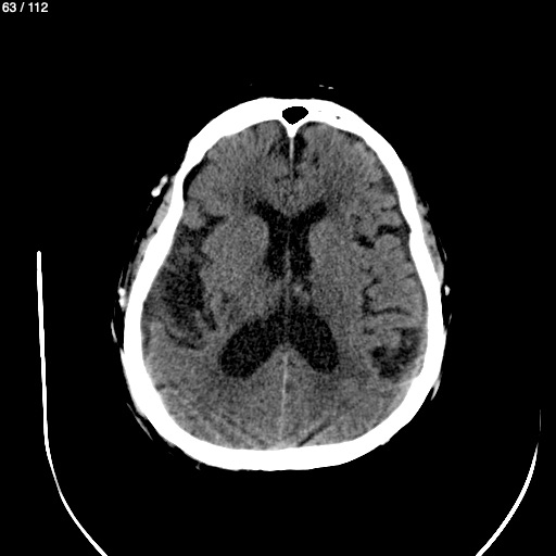
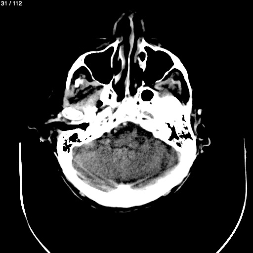
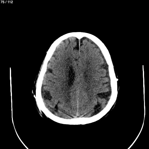
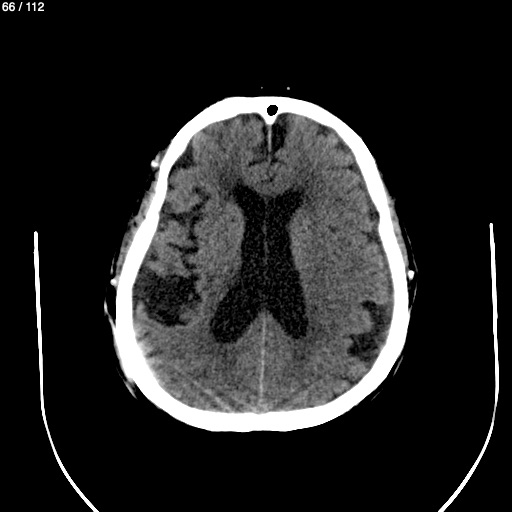
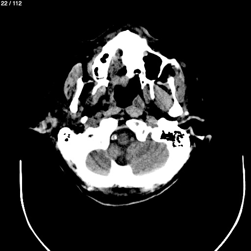
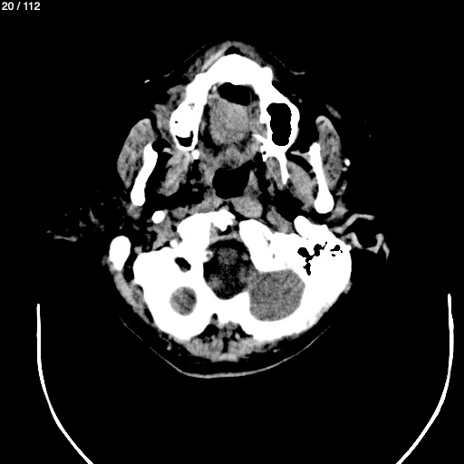
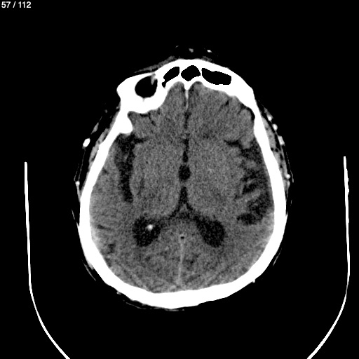
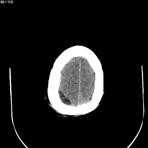
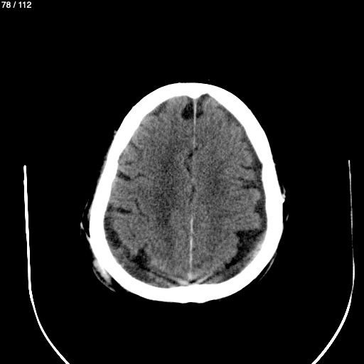
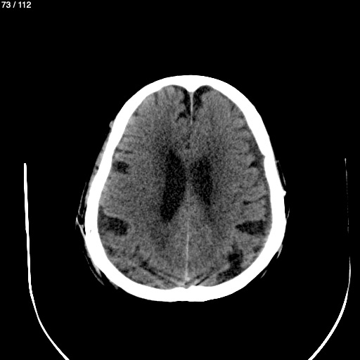
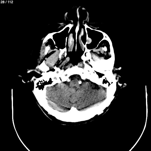
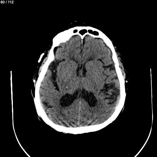
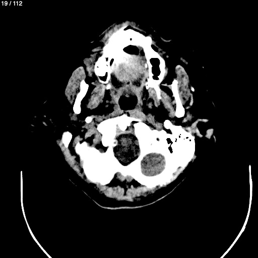
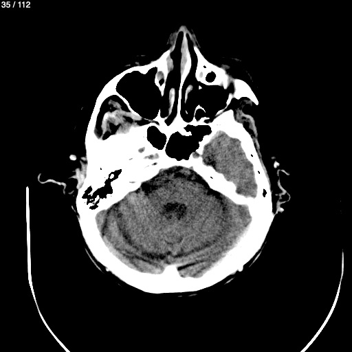
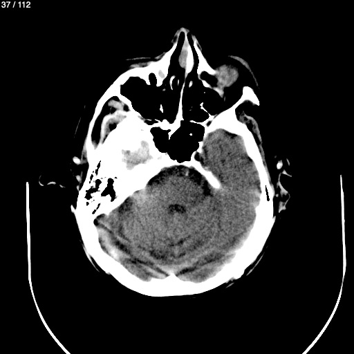
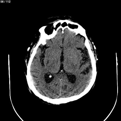
Joselith Villalobos Solis - Cabeza Simple_Craneo (Adulto)
Show as Sequence