ESPECIALIDADES
HUIXTLA
ESCUINTLA
AKISHINO2
AKISHINO
Home
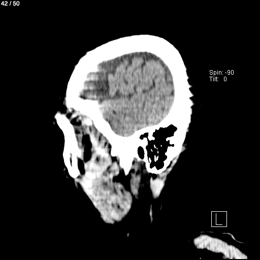
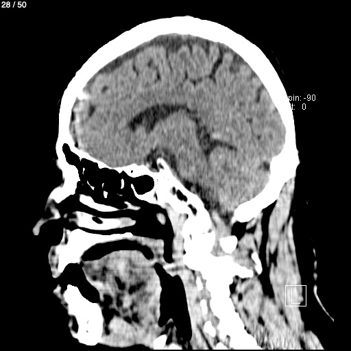
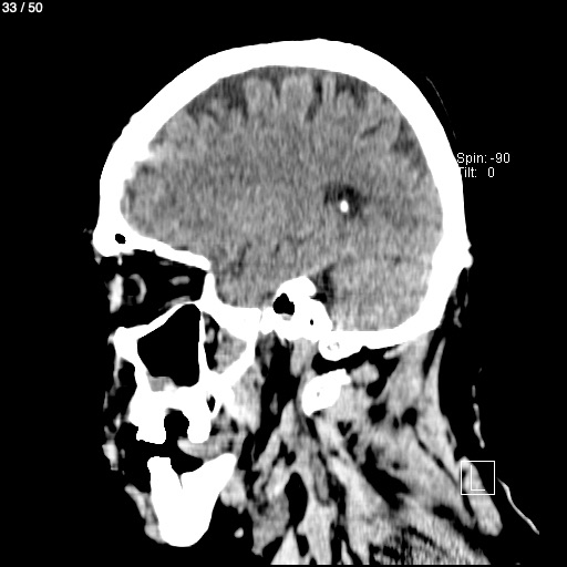
Fernando Perez Hernandez - Cabeza Simple_Craneo (Adulto)
Previous Series
Show as Sequence