ESPECIALIDADES
HUIXTLA
ESCUINTLA
AKISHINO2
AKISHINO
Home
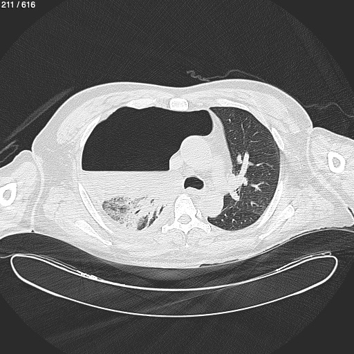
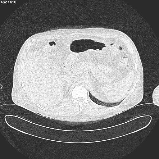
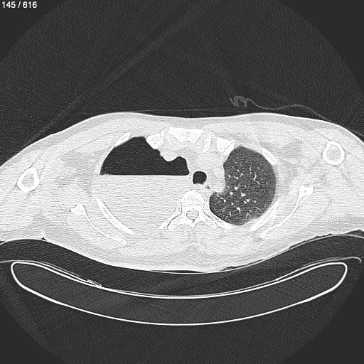
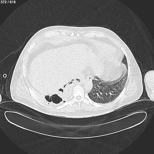
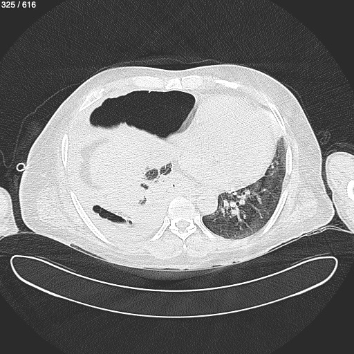
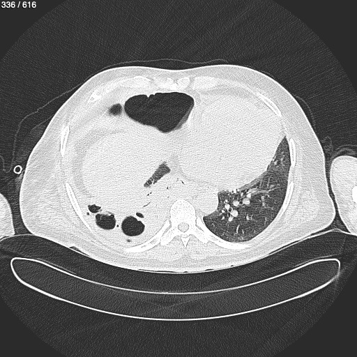
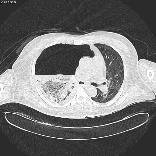
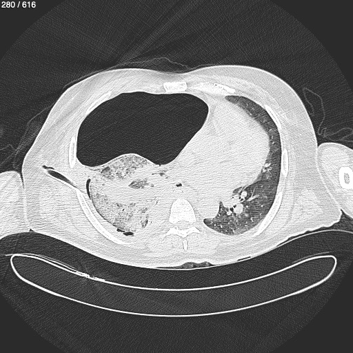
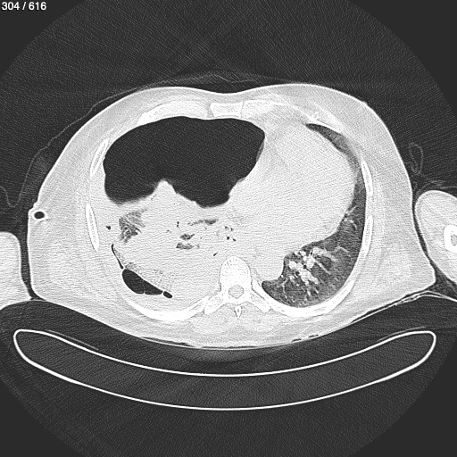
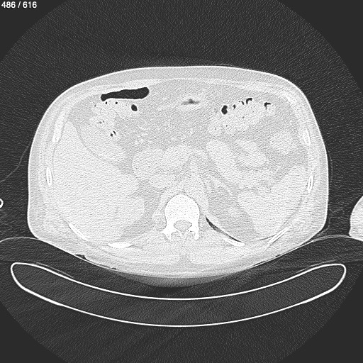
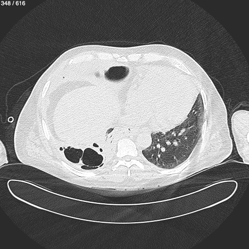
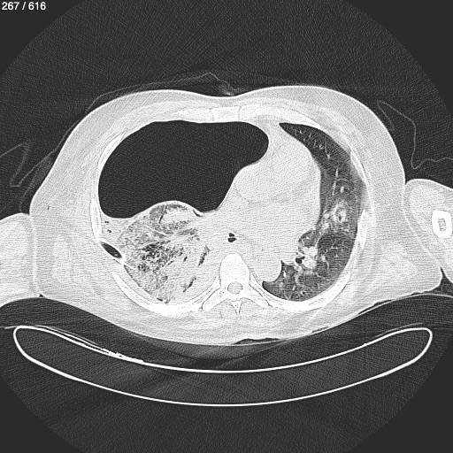
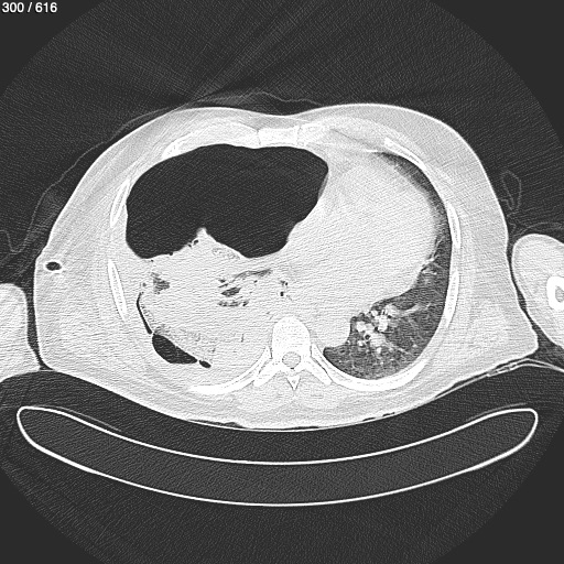
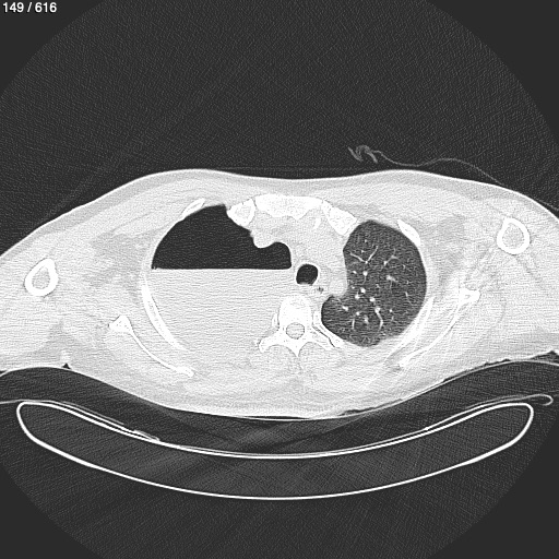
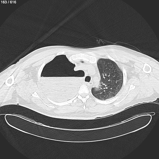
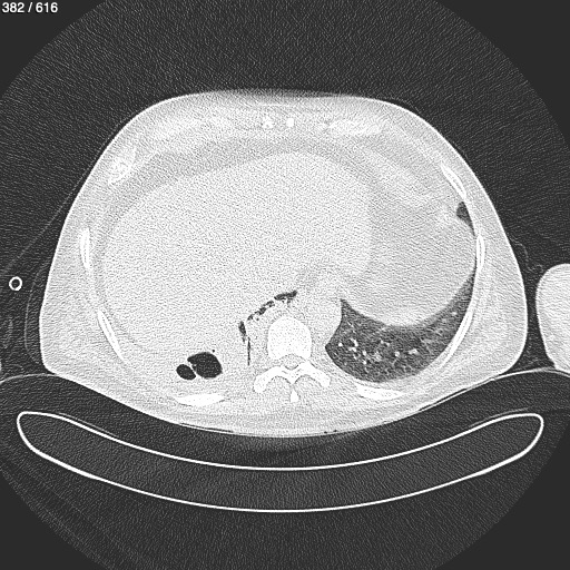
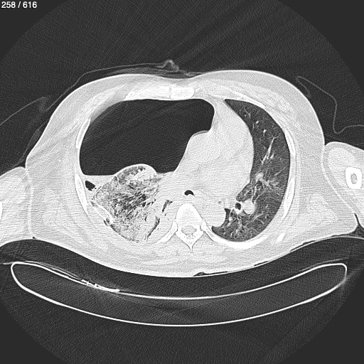
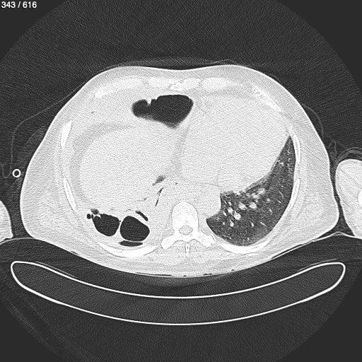
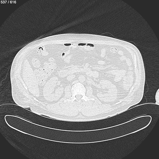
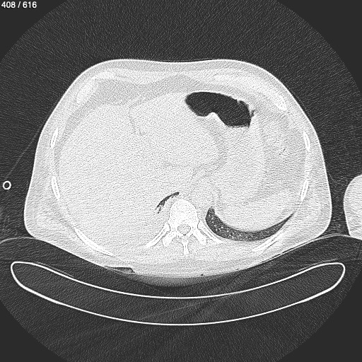
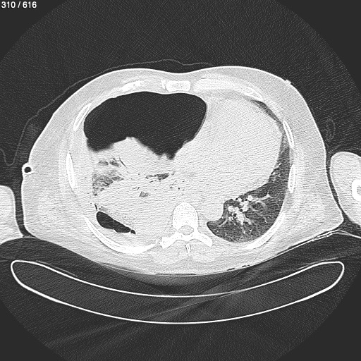
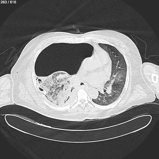
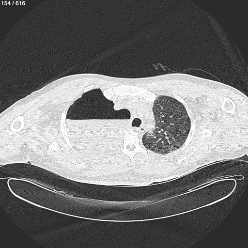
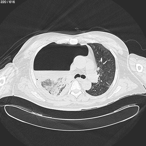
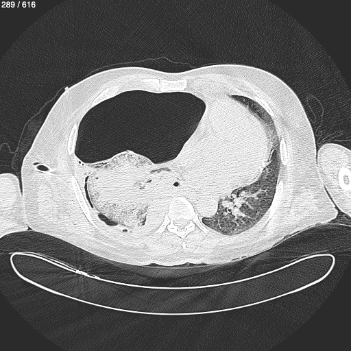
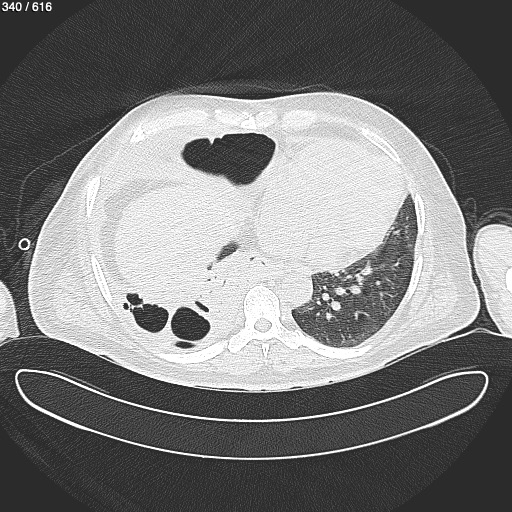
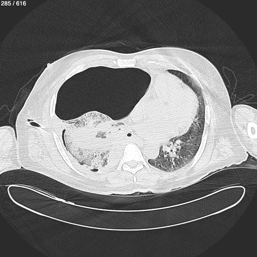
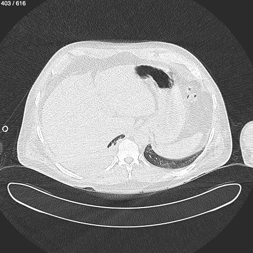
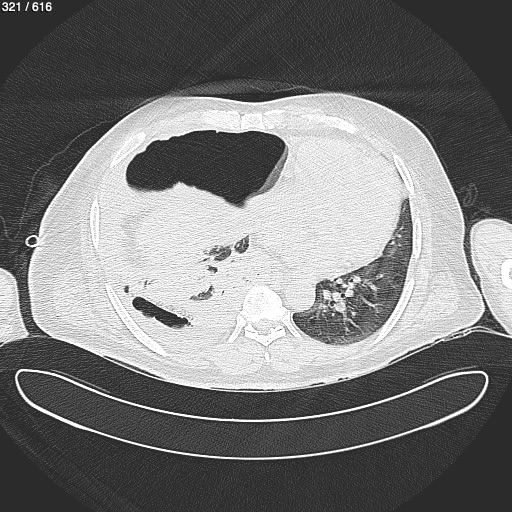
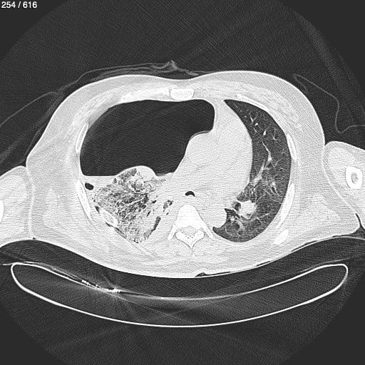
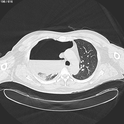
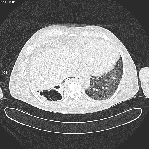
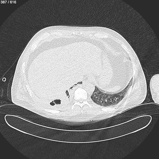
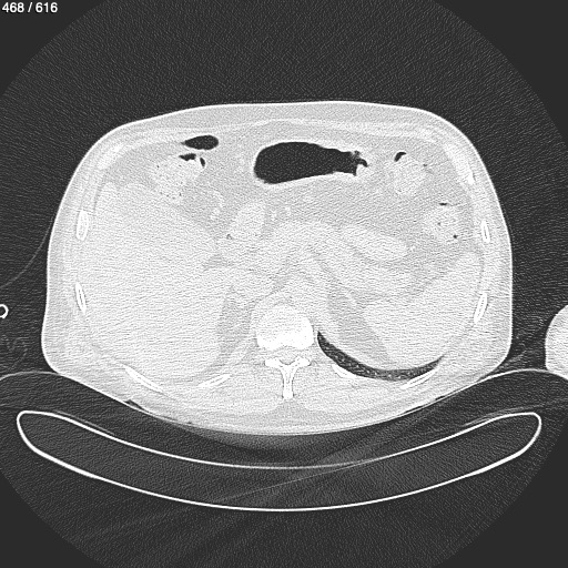
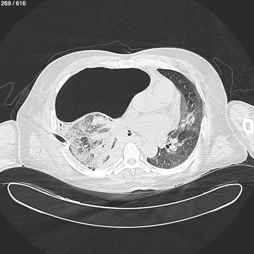
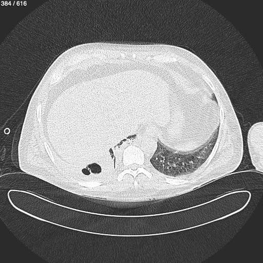
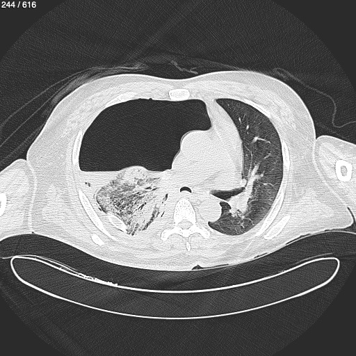
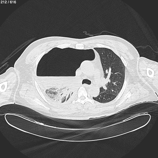
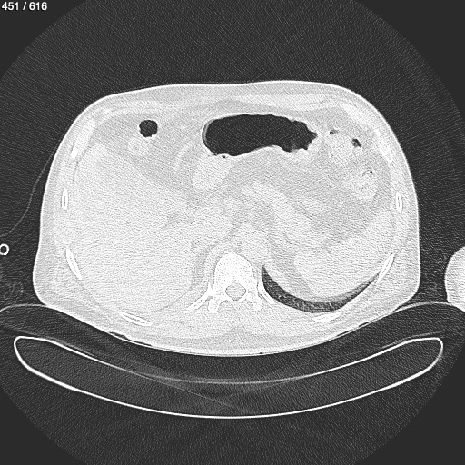
Ruben Flores Gonzalez - Tórax Torax_Syc (Adulto)
Next Series
Show as Sequence