ESPECIALIDADES
HUIXTLA
ESCUINTLA
AKISHINO2
AKISHINO
Home
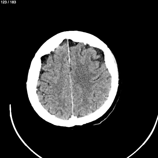
Martina Robledo Morales - Abdomen Toracoabdominasyclu (Adulto)
Previous Series
Show as Sequence