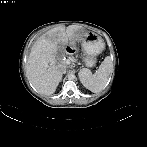
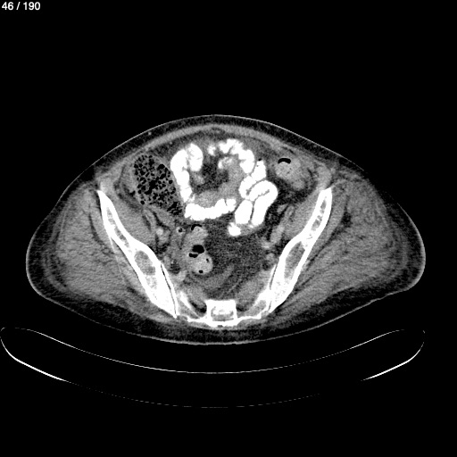
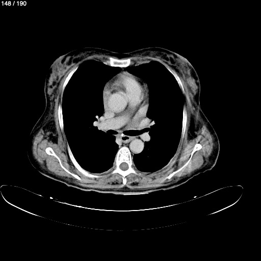
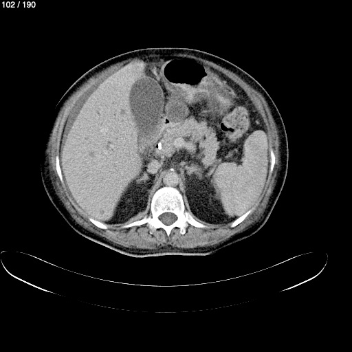
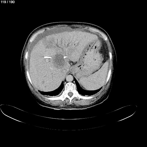
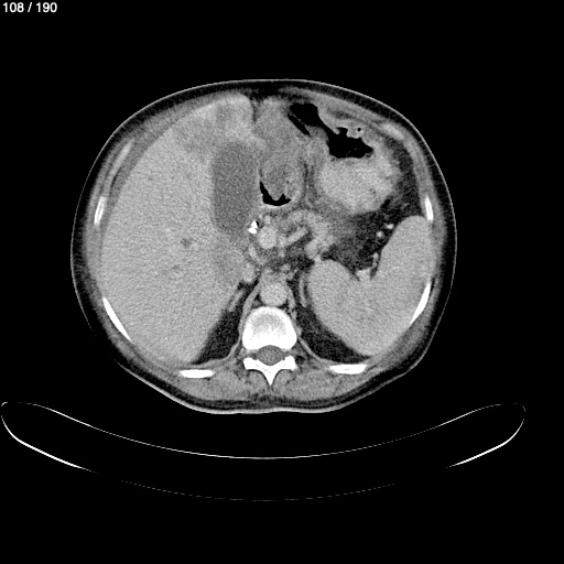
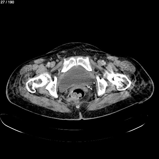
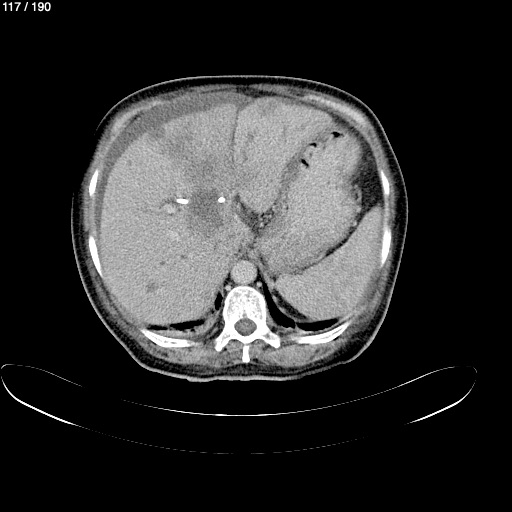
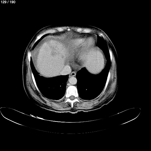
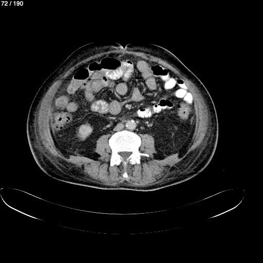
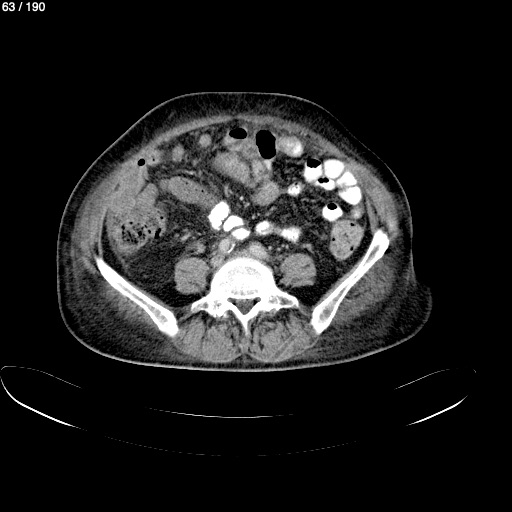
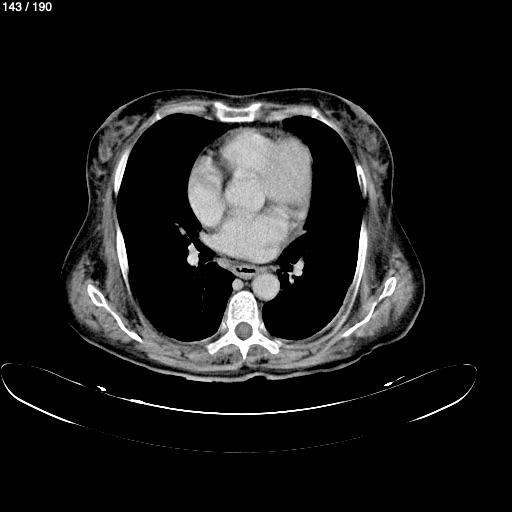
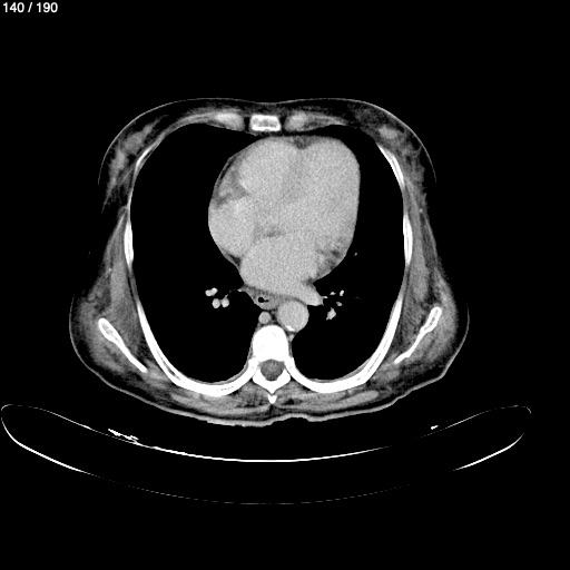
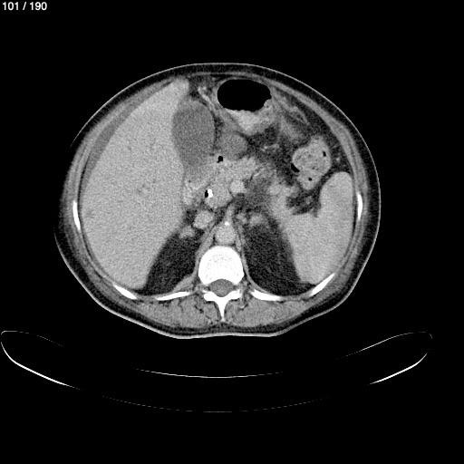
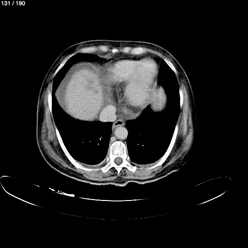
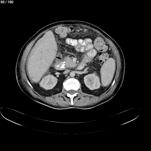
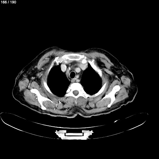
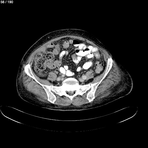
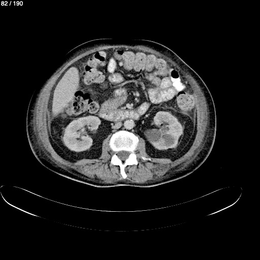
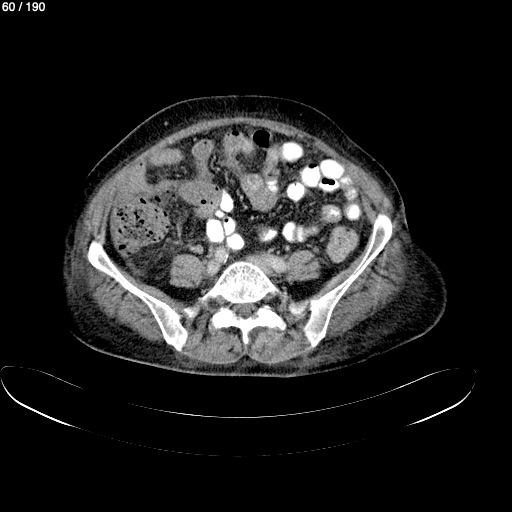
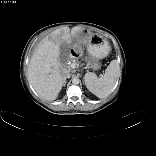
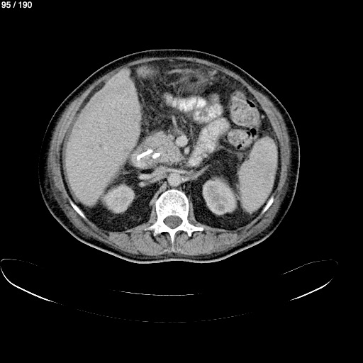
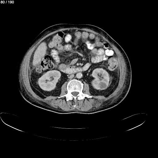
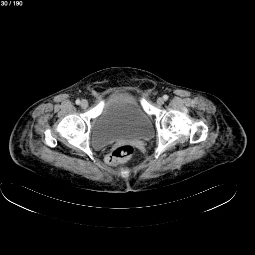
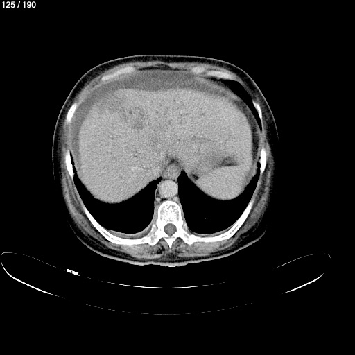
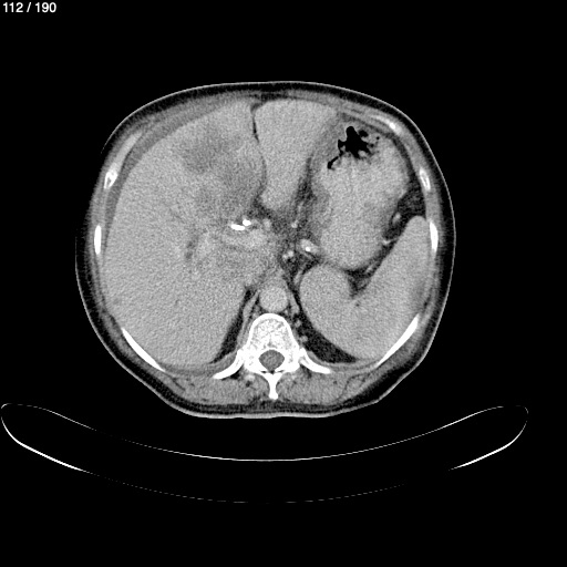
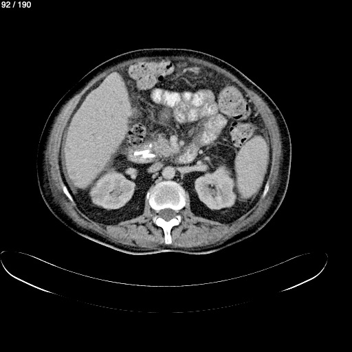
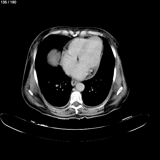
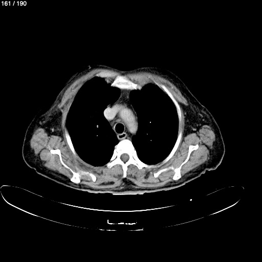
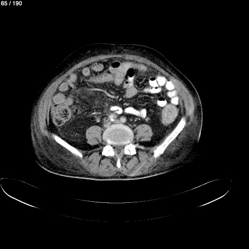
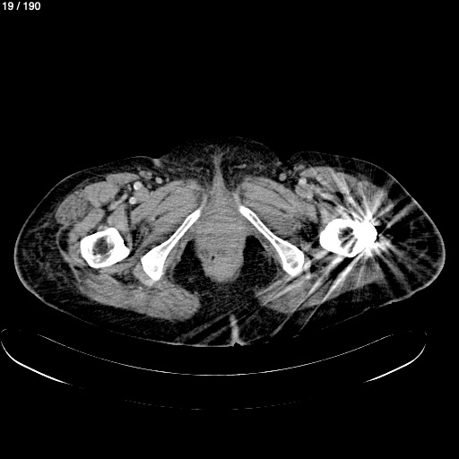
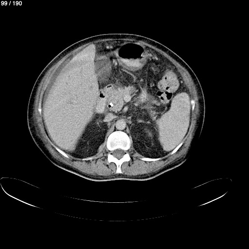
Home M​a​r​t​i​n​a​ ​R​o​b​l​e​d​o​ ​M​o​r​a​l​e​s​ ​-​ ​A​b​d​o​m​e​n​ ​T​o​r​a​c​o​a​b​d​o​m​i​n​a​s​y​c​l​u​ ​(​A​d​u​l​t​o​)