ESPECIALIDADES
HUIXTLA
ESCUINTLA
AKISHINO2
AKISHINO
Home
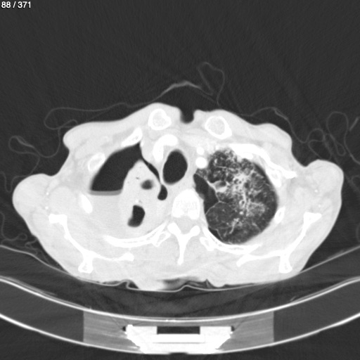
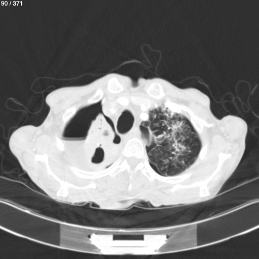
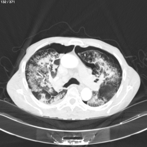
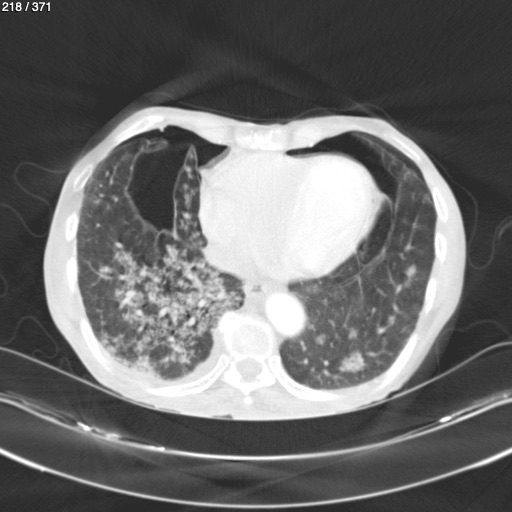
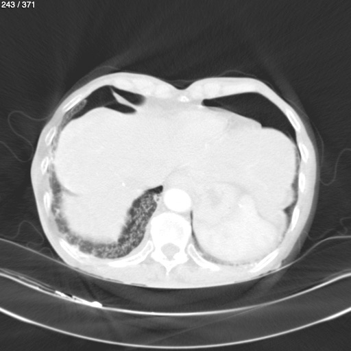
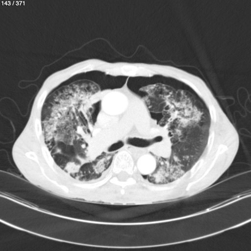
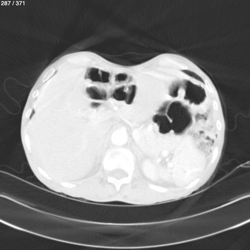
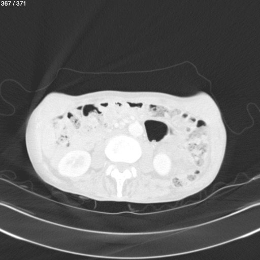
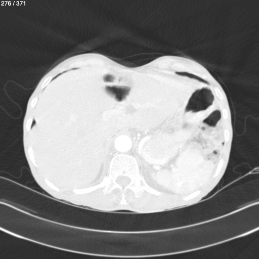
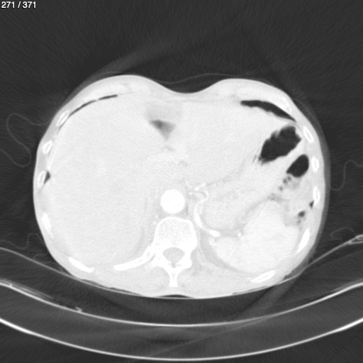
Victor Manuel Valdillon Arriaga - Tórax Torax_Syclui (Adulto)
Previous Series
Next Series
Show as Sequence