ESPECIALIDADES
HUIXTLA
ESCUINTLA
AKISHINO2
AKISHINO
Home
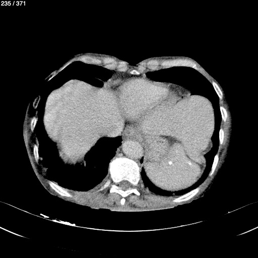
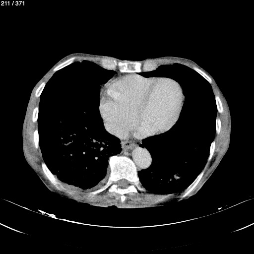
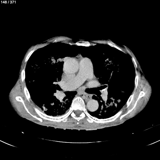
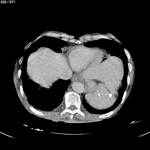
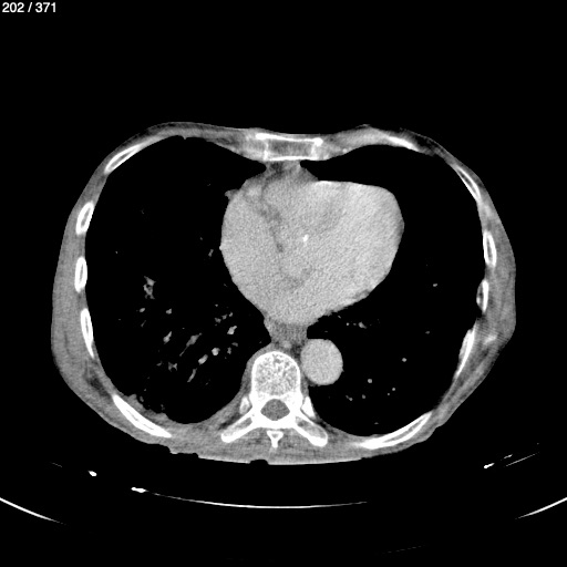
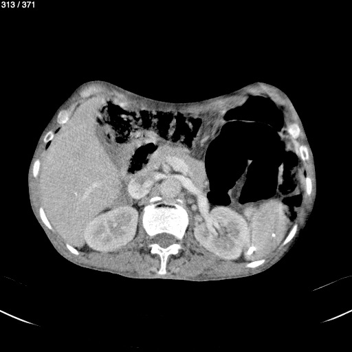
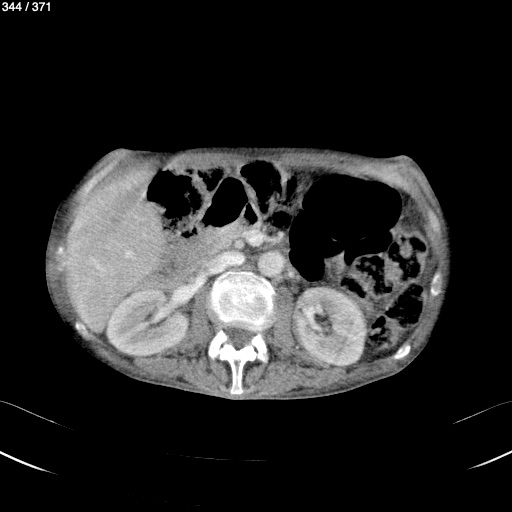
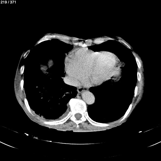
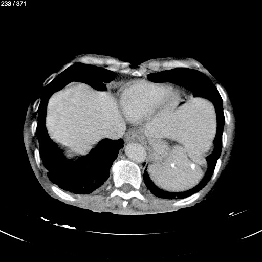
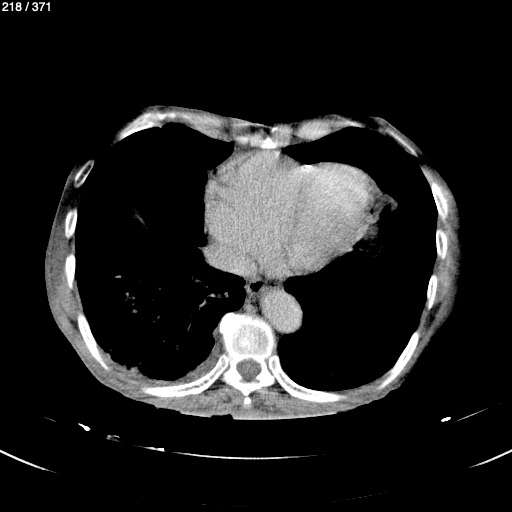
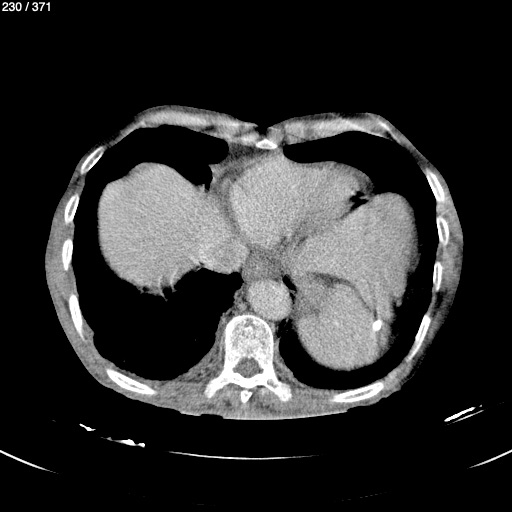
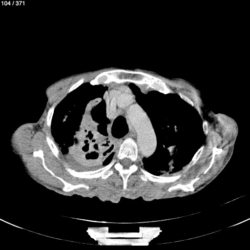
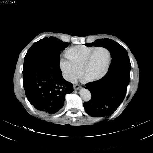
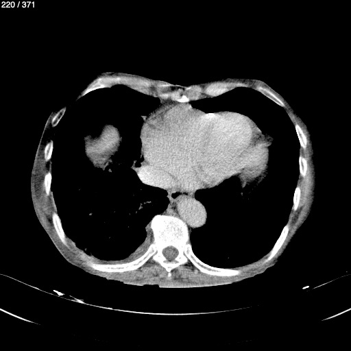
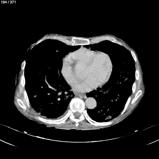
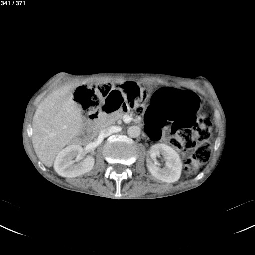
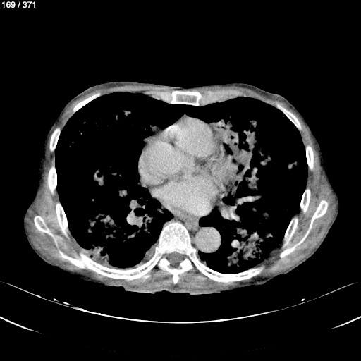
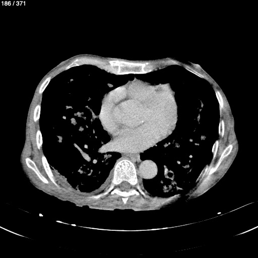
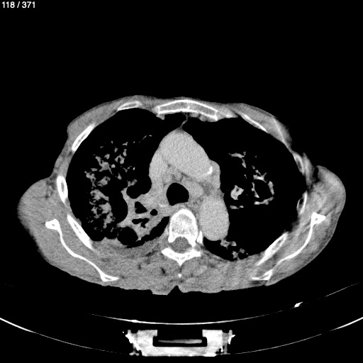
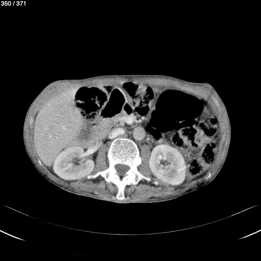
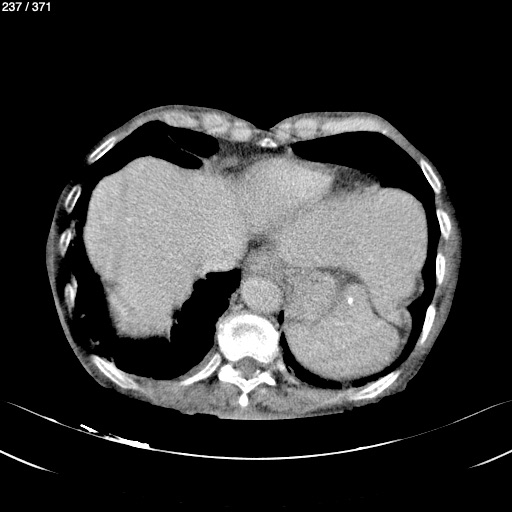
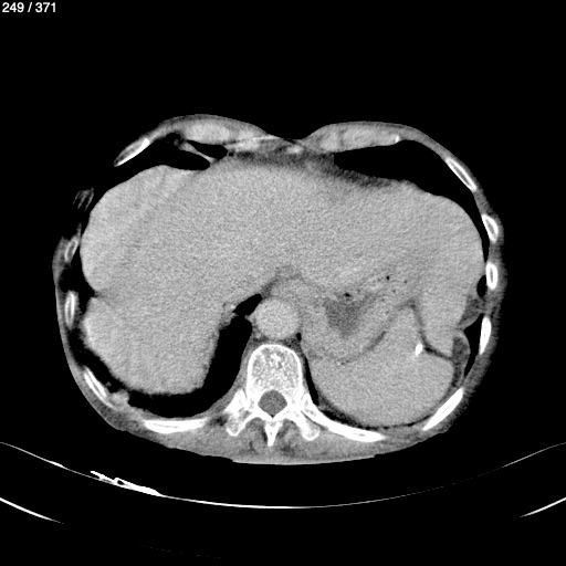
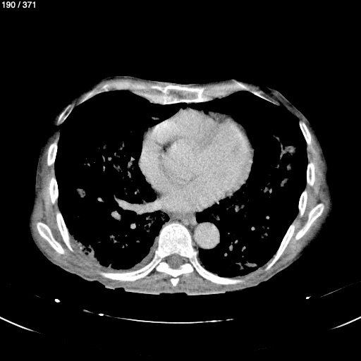
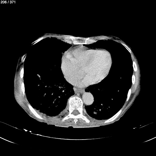
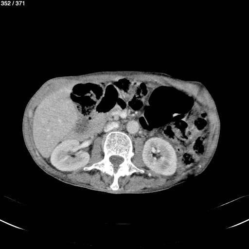
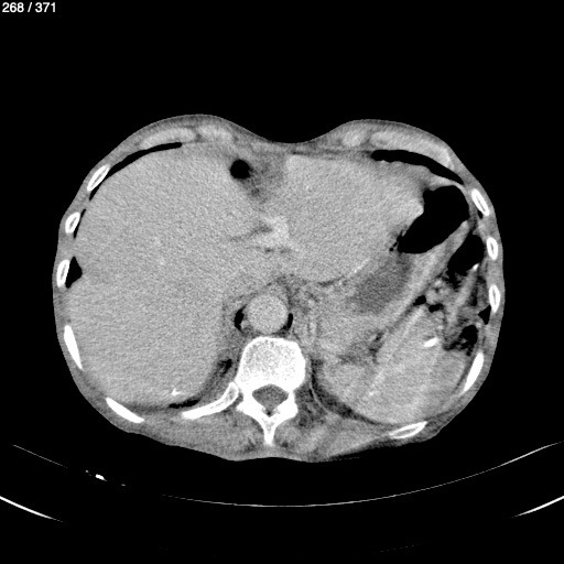
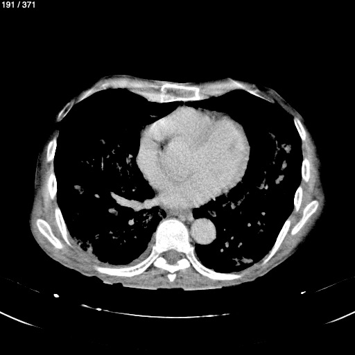
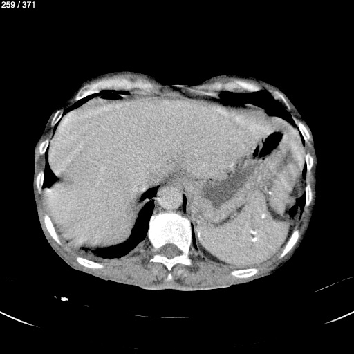
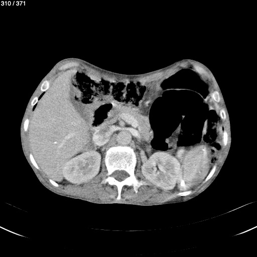
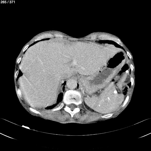
Victor Manuel Valdillon Arriaga - Tórax Torax_Syclui (Adulto)
Previous Series
Show as Sequence