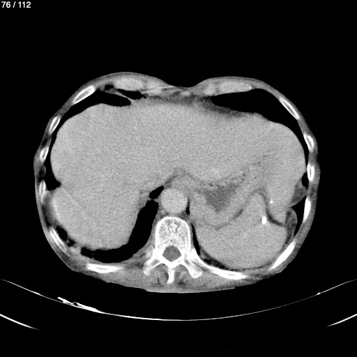
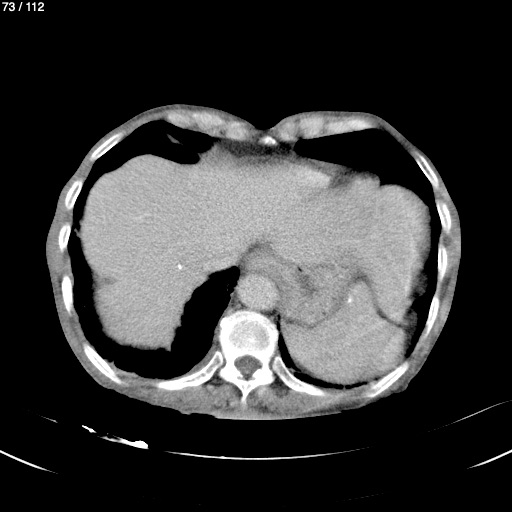
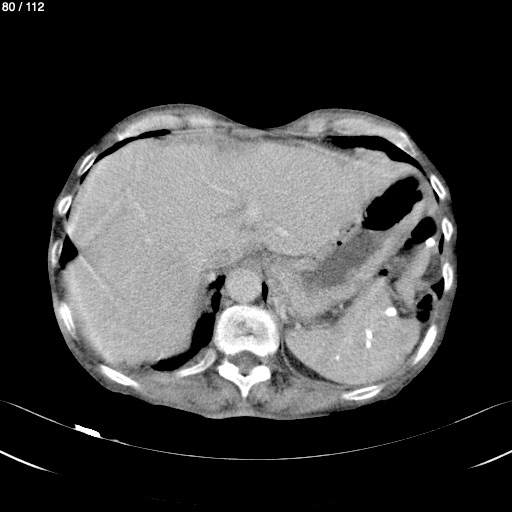
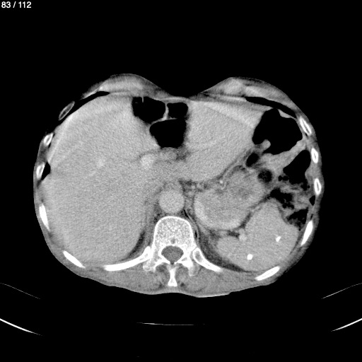
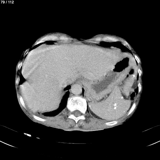
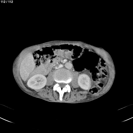
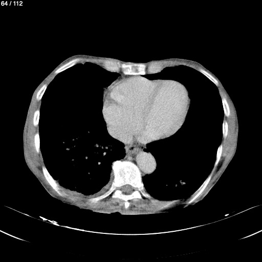
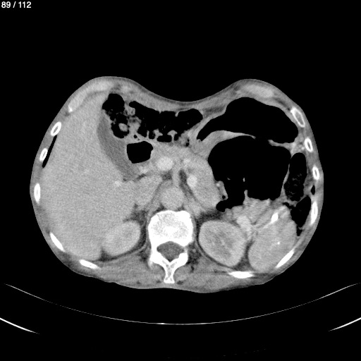
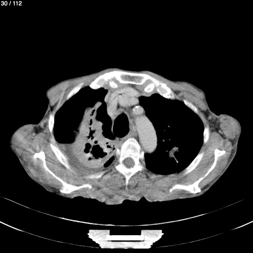
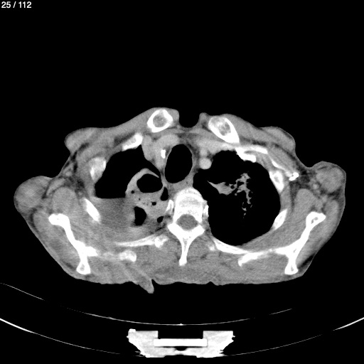
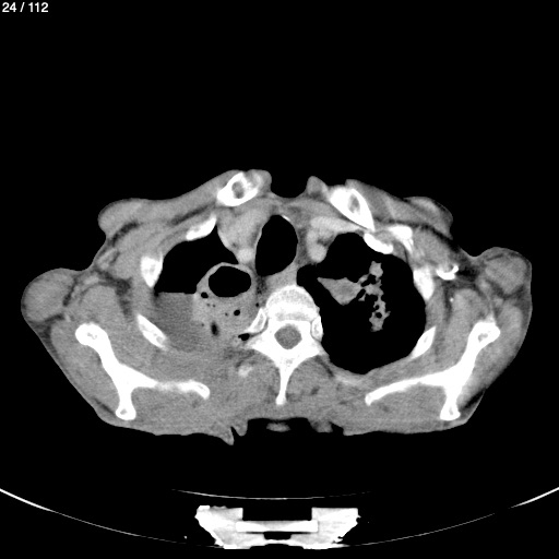
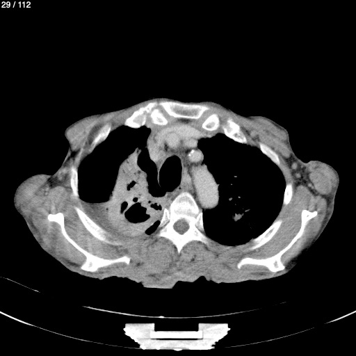
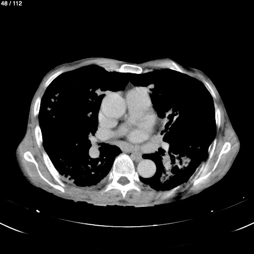
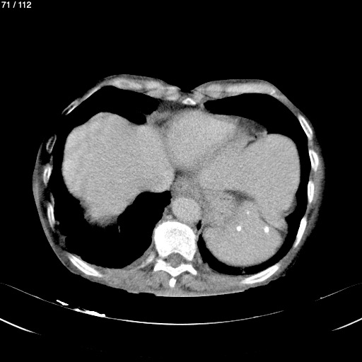
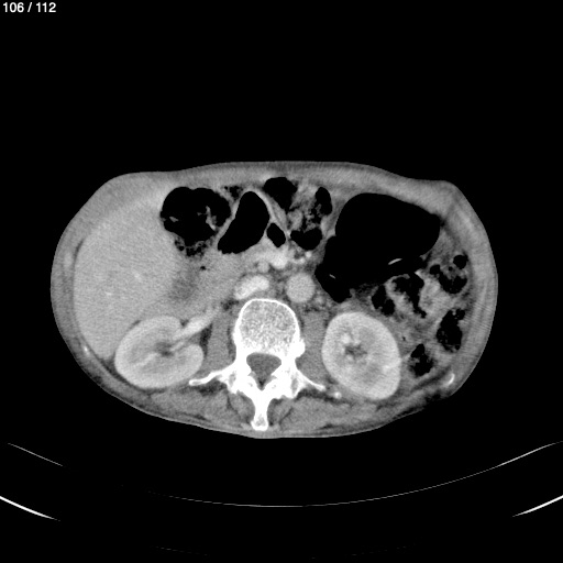
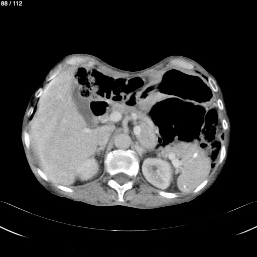
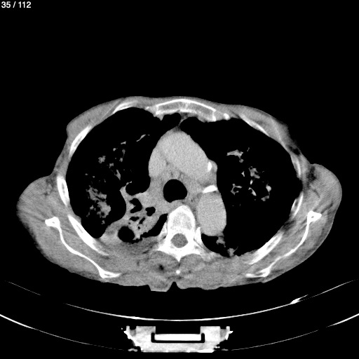
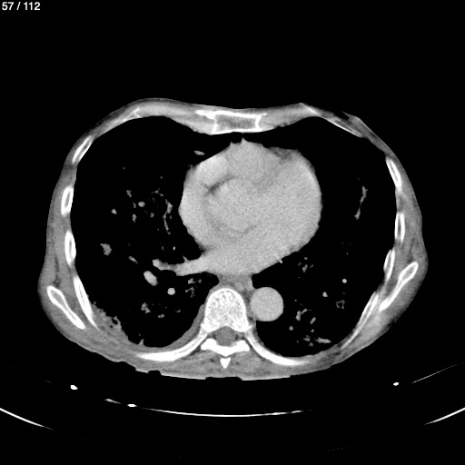
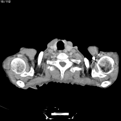
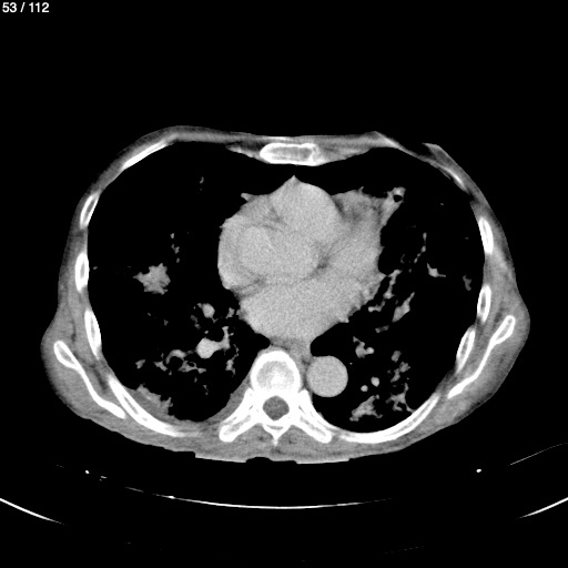
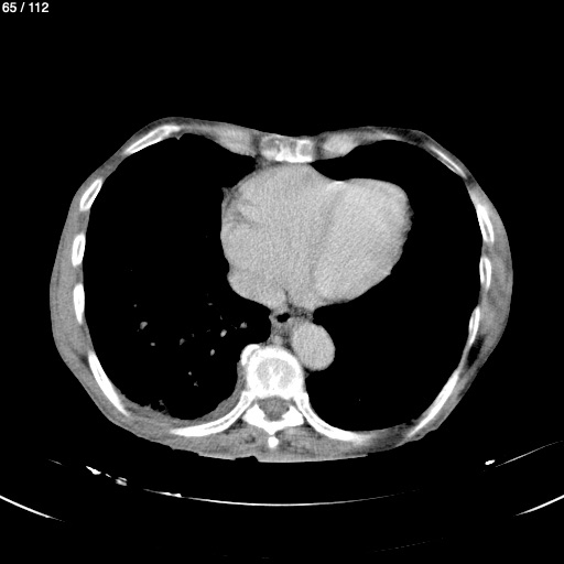
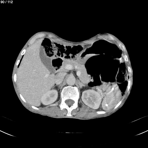
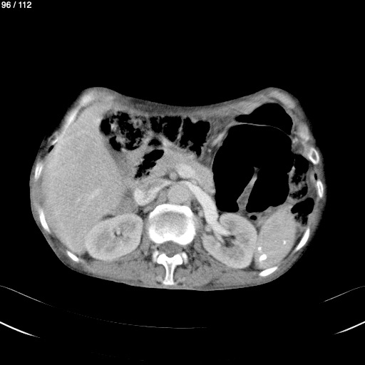
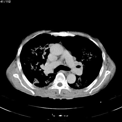
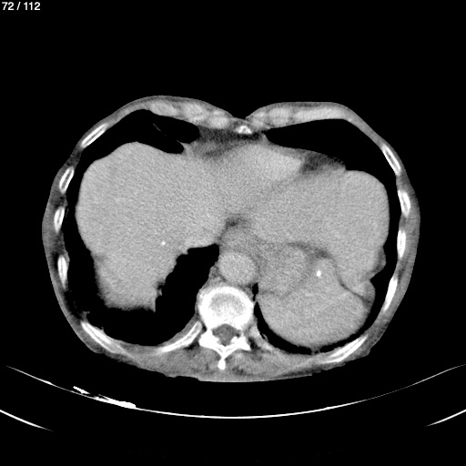
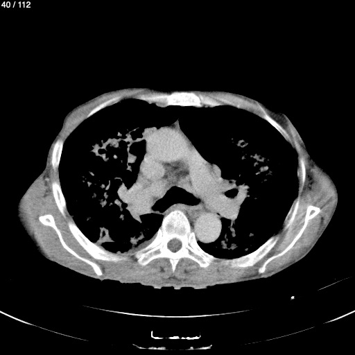
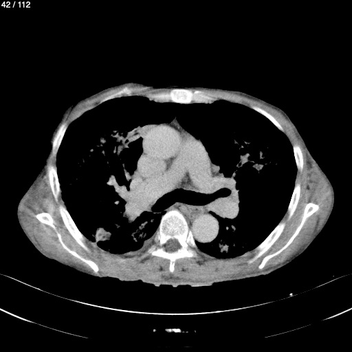
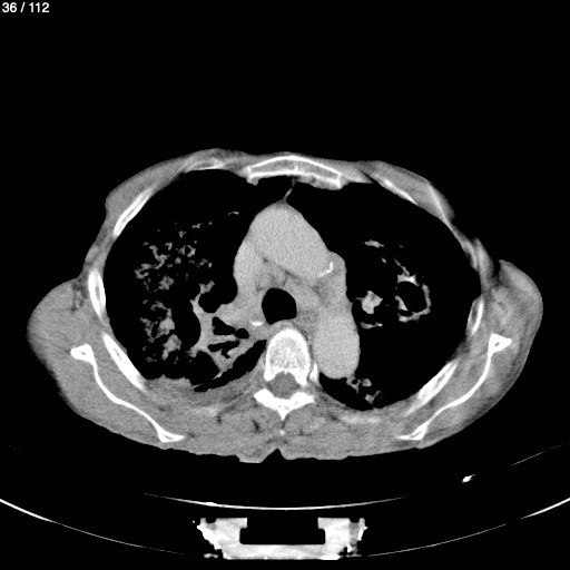
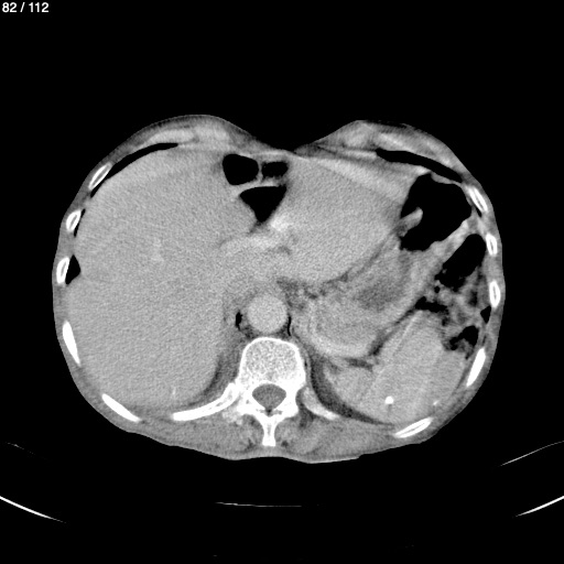
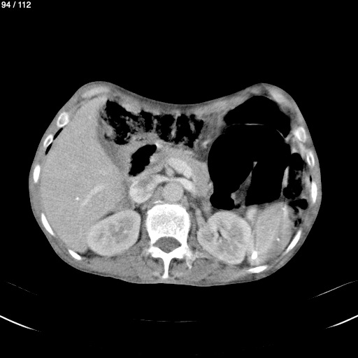
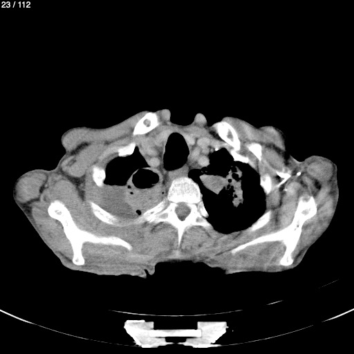
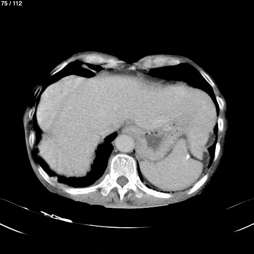
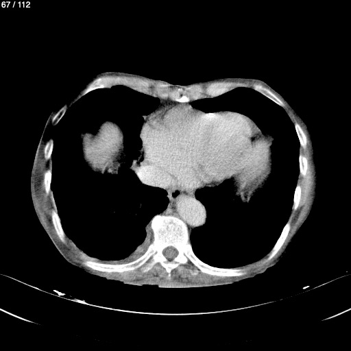
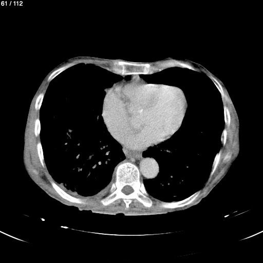
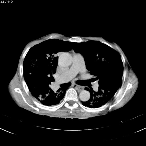
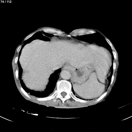
Home V​i​c​t​o​r​ ​M​a​n​u​e​l​ ​V​a​l​d​i​l​l​o​n​ ​A​r​r​i​a​g​a​ ​-​ ​T​ó​r​a​x​ ​T​o​r​a​x​_​S​y​c​l​u​i​ ​(​A​d​u​l​t​o​)