ESPECIALIDADES
HUIXTLA
ESCUINTLA
AKISHINO2 USG
AKISHINO
Home
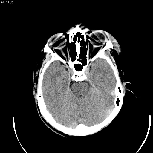
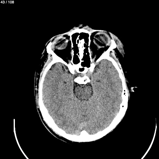
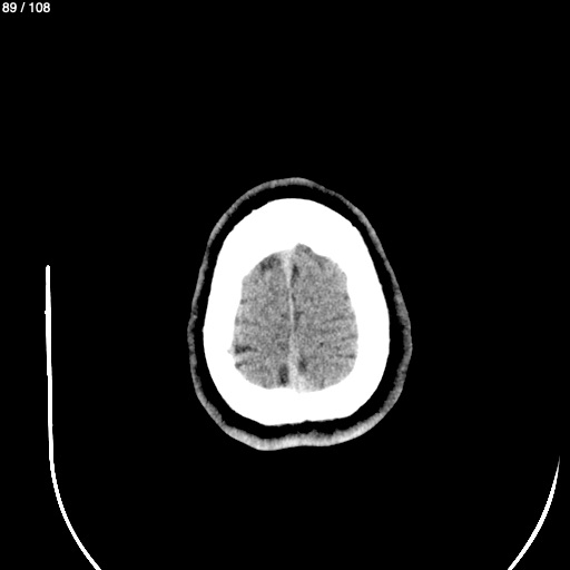
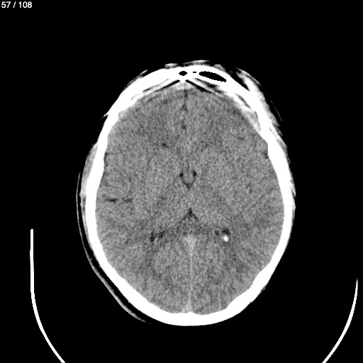
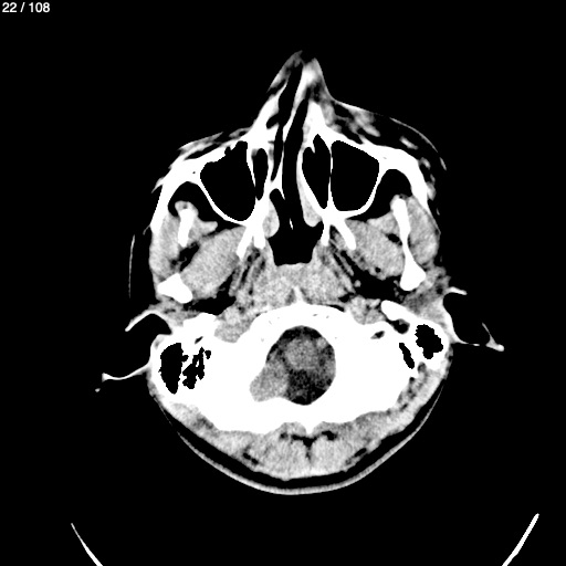
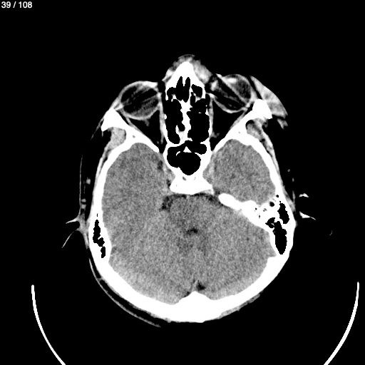
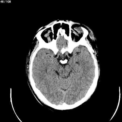
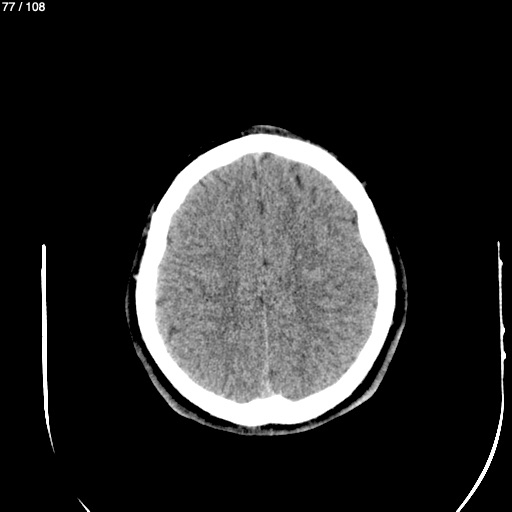
Alexander Daniel Ortiz - Cabeza Craneo_Trauma (Adulto)
Next Series
Show as Sequence