ESPECIALIDADES
HUIXTLA
ESCUINTLA
AKISHINO2 USG
AKISHINO
Home
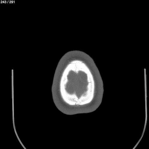
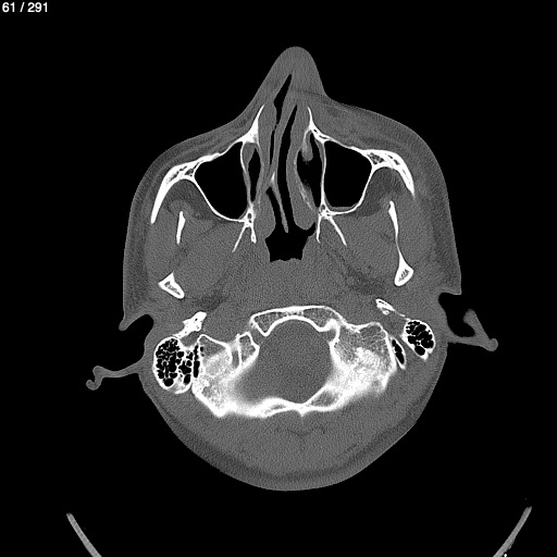
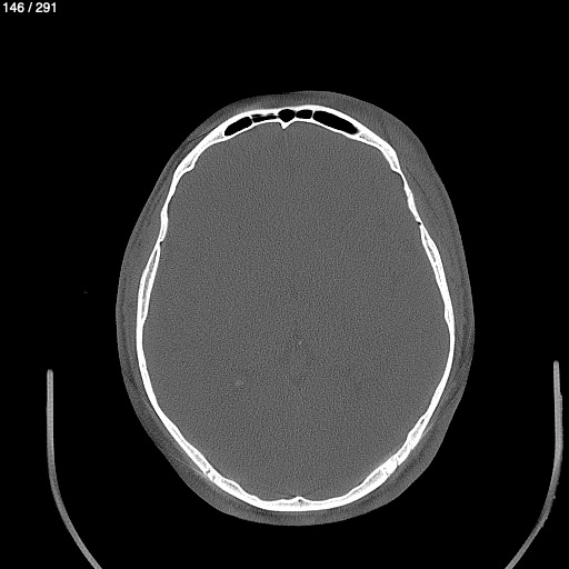
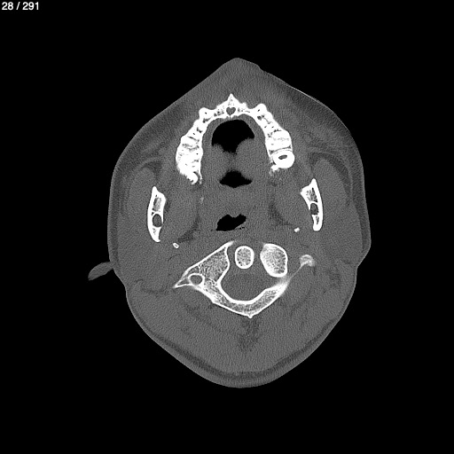
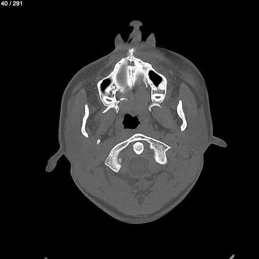
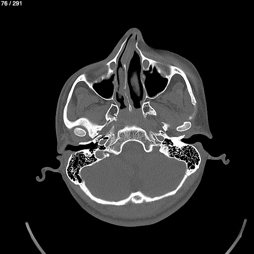
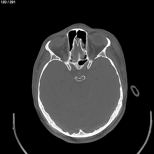
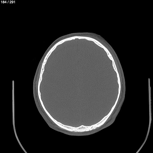
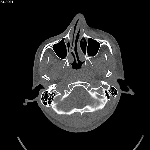
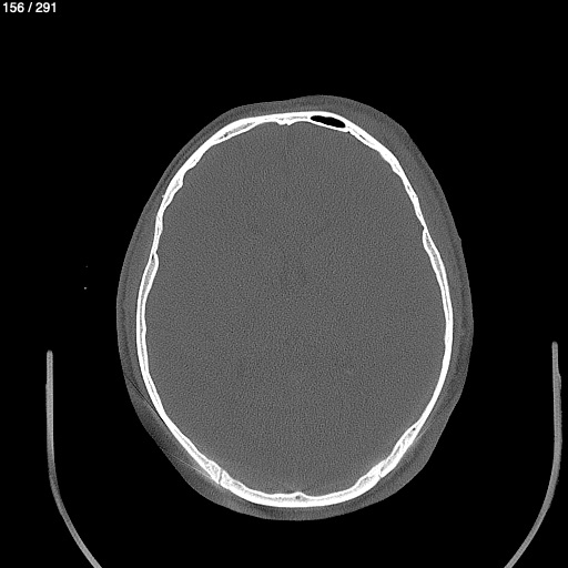
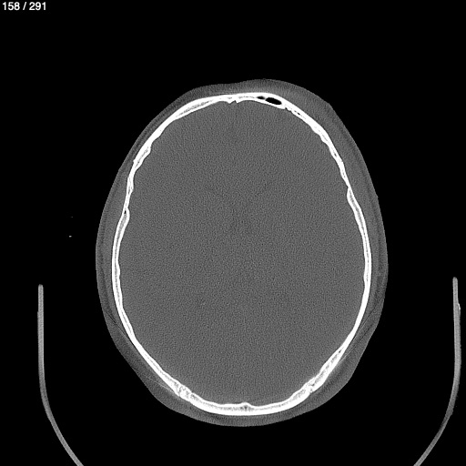
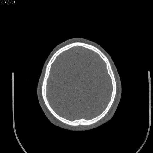
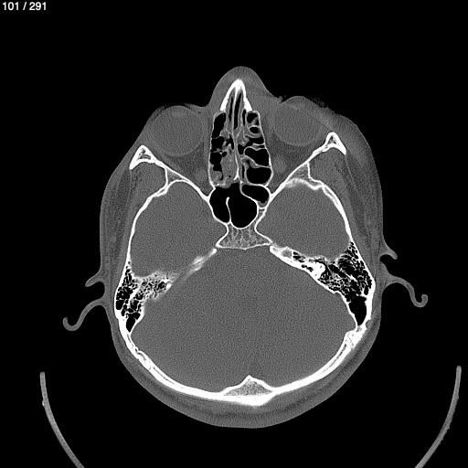
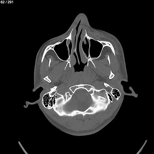
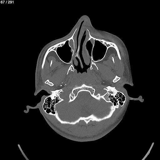
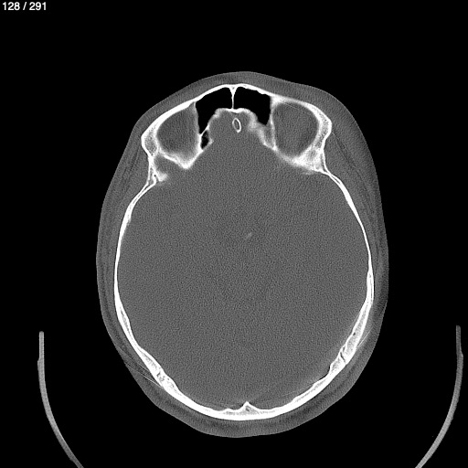
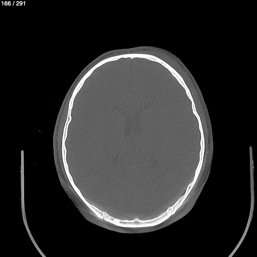
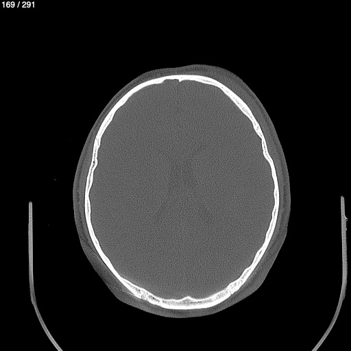
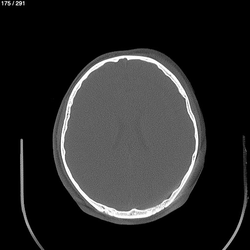
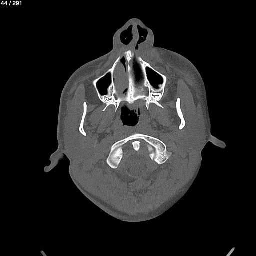
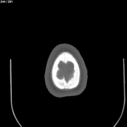
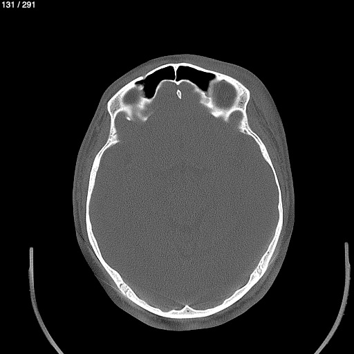
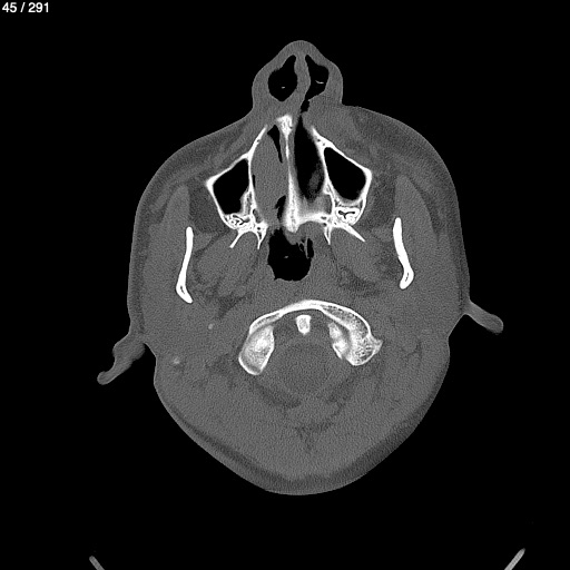
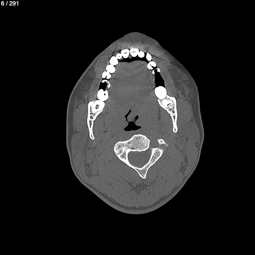
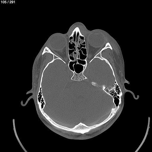
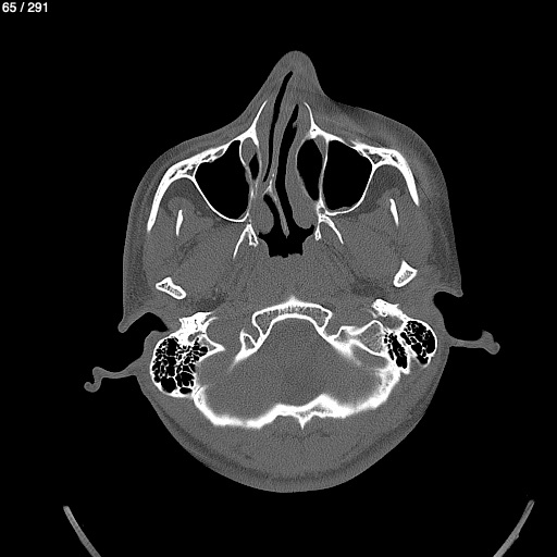
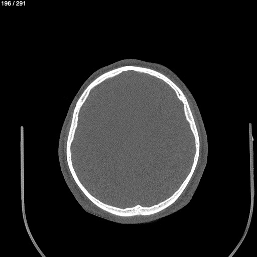
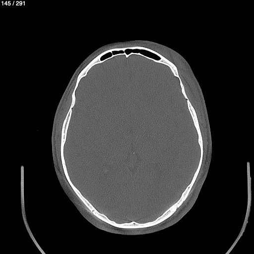
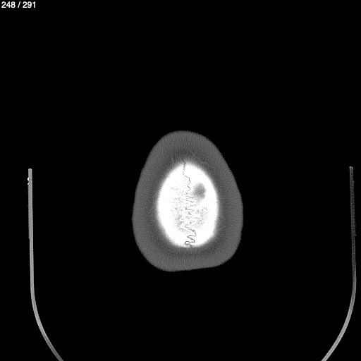
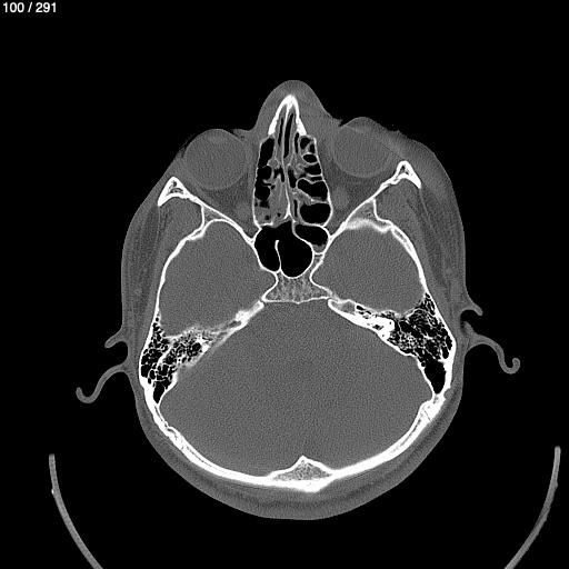
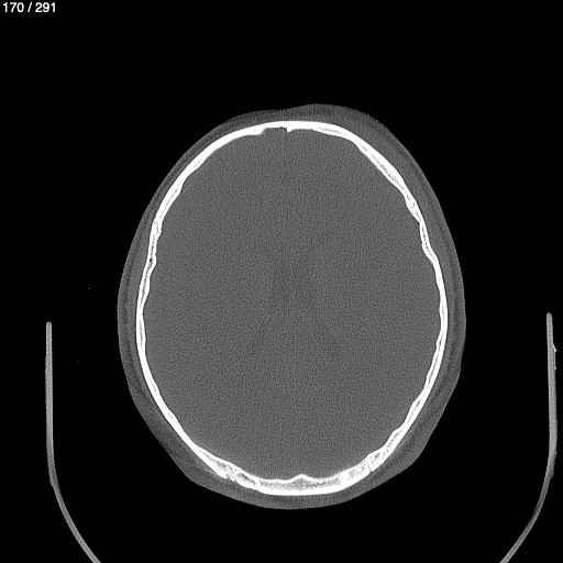
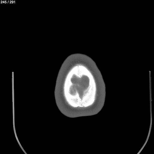
Alexander Daniel Ortiz - Cabeza Craneo_Trauma (Adulto)
Previous Series
Show as Sequence