ESPECIALIDADES
HUIXTLA
ESCUINTLA
AKISHINO2 USG
AKISHINO
Home
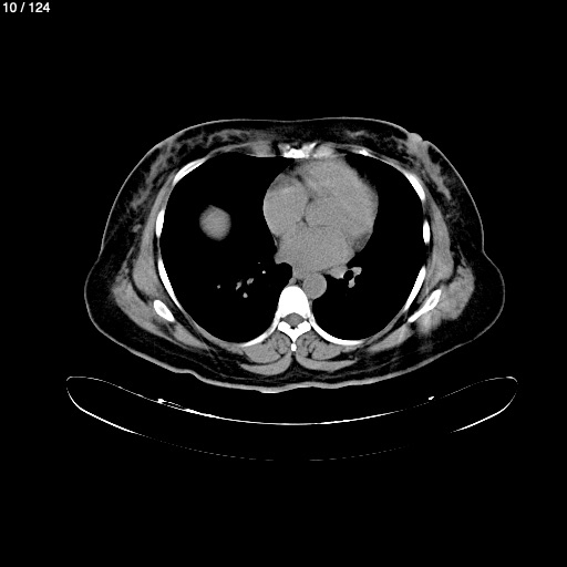
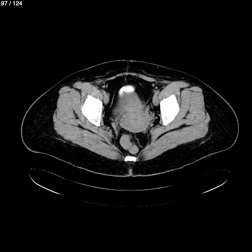
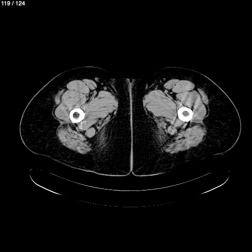
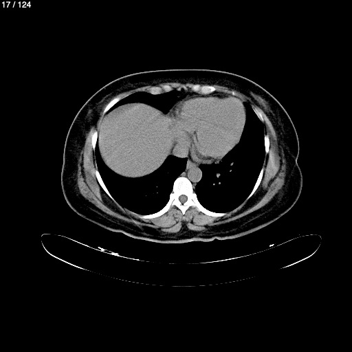
Angela Solis Damian - Abdomen Abdomen_Syc (Adulto)
Next Series
Show as Sequence