ESPECIALIDADES
HUIXTLA
ESCUINTLA
AKISHINO2
AKISHINO
Home
Study list
Study Information
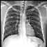
Patient's name:
Brian Alexis Cisneros Dominguez
Date of birth:
07/09/98
Patient ID:
PAT006528
Accession number:
ACCNO006656
Referring Physician:
Study date:
1
3
/
1
0
/
2
5
1
7
:
1
7
Modality:
CR
Description:
Unnamed
Other Studies for this patient:
1
3
/
1
0
/
2
5
1
7
:
1
7
:
Unnamed
, CR, 3 series, PAT006528, ACCNO006656
Series
1 - unnamed
1 image
2 - unnamed
1 image
4 - unnamed
1 image
All
None
DICOM Transfer
Destination:
This Computer [192.168.1.25:11112]
especialidades [especialidades.diagnolab.org:11112]
Description [192.168.1.76:11112]
ORTHACK [dicom.diagnolab.org:4242]
iMac-de-Dr [192.168.1.20:11112]
Send