ESPECIALIDADES
HUIXTLA
ESCUINTLA
AKISHINO2
AKISHINO
Home
Study list
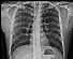
Study Information
Patient's name:
Edgar Eli Ramirez Carrillo
Date of birth:
25/04/99
Patient ID:
PAT006943
Accession number:
ACCNO007077
Referring Physician:
Study date:
1
2
/
0
1
/
2
6
8
:
0
1
Modality:
CR
Description:
Unnamed
Other Studies for this patient:
1
2
/
0
1
/
2
6
8
:
0
1
:
Unnamed
, CR, 1 series, PAT006943, ACCNO007077
Series
2 - unnamed
1 image
DICOM Transfer
Destination:
This Computer [192.168.1.25:11112]
especialidades [especialidades.diagnolab.org:11112]
Description [192.168.1.76:11112]
ORTHACK [dicom.diagnolab.org:4242]
iMac-de-Dr [192.168.1.20:11112]
Send